NCR1
NCR1,即自然細胞毒性觸發受體1,別名NKp46、CD335、LY94。它是一種免疫球蛋白超家族成員,具有兩個細胞外免疫球蛋白樣域,屬于I型跨膜受體。NCR1由人類19號染色體上的基因編碼,位于Leukocyte Receptor Complex (LRC) 區域。NCR1的作用機制是通過與腫瘤細胞或病毒感染細胞表面的配體結合,激活NK細胞的細胞毒性和細胞因子分泌功能,從而參與機體的免疫監視和防御反應 。NCR1在生物學上的意義體現在其對自然殺傷(NK)細胞功能的重要調控作用。NK細胞通過NCR1識別腫瘤或病毒感染細胞,進而發揮殺傷作用。NCR1的表達和功能對于維持機體的免疫平衡和防御能力至關重要。此外,NCR1還可能在其他免疫細胞亞群中發揮作用,如某些類型的T細胞和固有淋巴細胞(ILCs),這為開發新的免疫治療策略提供了潛在靶點 。
熱銷產品
NCR1 Antibody (CSB-PA015549LA01HU)
驗證數據
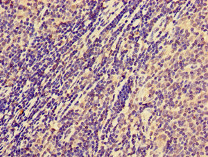
Immunohistochemistry of paraffin-embedded human lymph node tissue using CSB-PA015549LA01HU at dilution of 1:100
Immunofluorescent analysis of A549 cells using CSB-PA015549LA01HU at dilution of 1:100 and Alexa Fluor 488-congugated AffiniPure Goat Anti-Rabbit IgG(H+L)
NCR1 Antibodies
NCR1 for Homo sapiens (Human)
| 產品貨號 | 產品名稱 | 種屬反應性 | 應用類型 |
|---|---|---|---|
| CSB-PA003455 | NCR1 Antibody | Human | WB, ELISA |
| CSB-PA006281 | NCR1 Antibody | Human | WB, ELISA |
| CSB-PA923766 | NCR1 Antibody | Human | ELISA,IHC |
| CSB-PA553079 | NCR1 Antibody | Human,Mouse | ELISA,WB,IHC |
| CSB-PA015549LA01HU | NCR1 Antibody | Human | ELISA, IHC, IF |
| CSB-PA015549LB01HU | NCR1 Antibody, HRP conjugated | Human | ELISA |
| CSB-PA015549LC01HU | NCR1 Antibody, FITC conjugated | Human | |
| CSB-PA015549LD01HU | NCR1 Antibody, Biotin conjugated | Human | ELISA |
NCR1 Proteins
NCR1 Proteins for Homo sapiens (Human)
| 產品貨號 | 產品名稱 | 來源 |
|---|---|---|
| CSB-YP015549HU1 CSB-EP015549HU1 CSB-BP015549HU1 CSB-MP015549HU1 CSB-EP015549HU1-B |
Recombinant Human Natural cytotoxicity triggering receptor 1 (NCR1), partial | Yeast E.coli Baculovirus Mammalian cell In Vivo Biotinylation in E.coli |
| CSB-CF015549HU | Recombinant Human Natural cytotoxicity triggering receptor 1 (NCR1) | in vitro E.coli expression system |
NCR1 Proteins for Bos taurus (Bovine)
| 產品貨號 | 產品名稱 | 來源 |
|---|---|---|
| CSB-YP015549BO CSB-EP015549BO CSB-BP015549BO CSB-MP015549BO CSB-EP015549BO-B |
Recombinant Bovine Natural cytotoxicity triggering receptor 1 (NCR1), partial | Yeast E.coli Baculovirus Mammalian cell In Vivo Biotinylation in E.coli |
NCR1 Proteins for Mus musculus (Mouse)
| 產品貨號 | 產品名稱 | 來源 |
|---|---|---|
| CSB-YP015549MO CSB-EP015549MO CSB-BP015549MO CSB-MP015549MO CSB-EP015549MO-B |
Recombinant Mouse Natural cytotoxicity triggering receptor 1 (Ncr1), partial | Yeast E.coli Baculovirus Mammalian cell In Vivo Biotinylation in E.coli |
NCR1 Proteins for Macaca fascicularis (Crab-eating macaque) (Cynomolgus monkey)
| 產品貨號 | 產品名稱 | 來源 |
|---|---|---|
| CSB-YP015549MOV CSB-EP015549MOV CSB-BP015549MOV CSB-MP015549MOV CSB-EP015549MOV-B |
Recombinant Macaca fascicularis Natural cytotoxicity triggering receptor 1 (NCR1), partial | Yeast E.coli Baculovirus Mammalian cell In Vivo Biotinylation in E.coli |
NCR1 Proteins for Rattus norvegicus (Rat)
| 產品貨號 | 產品名稱 | 來源 |
|---|---|---|
| CSB-YP015549RA CSB-EP015549RA CSB-BP015549RA CSB-MP015549RA CSB-EP015549RA-B |
Recombinant Rat Natural cytotoxicity triggering receptor 1 (Ncr1), partial | Yeast E.coli Baculovirus Mammalian cell In Vivo Biotinylation in E.coli |
NCR1 Proteins for Saccharomyces cerevisiae (strain ATCC 204508 / S288c) (Baker's yeast)
| 產品貨號 | 產品名稱 | 來源 |
|---|---|---|
| CSB-YP619571SVG CSB-EP619571SVG CSB-BP619571SVG CSB-MP619571SVG CSB-EP619571SVG-B |
Recombinant Saccharomyces cerevisiae Niemann-Pick type C-related protein 1 (NCR1), partial | Yeast E.coli Baculovirus Mammalian cell In Vivo Biotinylation in E.coli |






