MIA2
MIA2,全稱為黑色素瘤抑制活性蛋白2,是一種在肝臟中高表達的分泌性蛋白,在睪丸中的表達較弱。該蛋白也被稱為天然α1微球蛋白或白介素10等。MIA2蛋白屬于MIA/OTOR家族,與MIA、OTOR和TANGO等蛋白共享一個Src同源性3 (SH3) 類結構域。在臨床應用中,MIA2蛋白的水平可作為診斷肝病活動性和嚴重程度的實用標記,尤其在患有嚴重纖維化或炎癥以及慢性肝炎的患者中,MIA2水平顯著高于其他患者。近年來,隨著對MIA2蛋白研究的深入,其在腫瘤抑制和免疫調節方面的作用也逐漸被關注。目前,針對MIA2蛋白的藥物研發正在積極推進中,旨在開發更有效的腫瘤治療和免疫調節藥物。
熱銷產品
MIA2 Antibody (CSB-PA822278LA01HU)
驗證數據
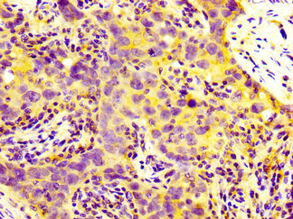
IHC image of CSB-PA822278LA01HU diluted at 1:300 and staining in paraffin-embedded human pancreatic cancer performed on a Leica BondTM system. After dewaxing and hydration, antigen retrieval was mediated by high pressure in a citrate buffer (pH 6.0). Section was blocked with 10% normal goat serum 30min at RT. Then primary antibody (1% BSA) was incubated at 4°C overnight. The primary is detected by a biotinylated secondary antibody and visualized using an HRP conjugated SP system.
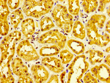
IHC image of CSB-PA822278LA01HU diluted at 1:300 and staining in paraffin-embedded human kidney tissue performed on a Leica BondTM system. After dewaxing and hydration, antigen retrieval was mediated by high pressure in a citrate buffer (pH 6.0). Section was blocked with 10% normal goat serum 30min at RT. Then primary antibody (1% BSA) was incubated at 4°C overnight. The primary is detected by a biotinylated secondary antibody and visualized using an HRP conjugated SP system.
MIA2 Antibodies
MIA2 for Homo sapiens (Human)
| 產品貨號 | 產品名稱 | 種屬反應性 | 應用類型 |
|---|---|---|---|
| CSB-PA056159 | MIA2 Antibody | Human | ELISA,WB |
| CSB-PA006882 | MIA2 Antibody | Human | WB, ELISA |
| CSB-PA512374 | MIA2 Antibody | Human | WB,ELISA |
| CSB-PA822278LA01HU | MIA2 Antibody | Human | ELISA, IHC |
| CSB-PA822278LB01HU | MIA2 Antibody, HRP conjugated | Human | ELISA |
| CSB-PA822278LC01HU | MIA2 Antibody, FITC conjugated | Human | |
| CSB-PA822278LD01HU | MIA2 Antibody, Biotin conjugated | Human | ELISA |
MIA2 Proteins
MIA2 Proteins for Homo sapiens (Human)
| 產品貨號 | 產品名稱 | 來源 |
|---|---|---|
| CSB-YP822278HU CSB-EP822278HU CSB-BP822278HU CSB-MP822278HU CSB-EP822278HU-B |
Recombinant Human Melanoma inhibitory activity protein 2 (MIA2) | Yeast E.coli Baculovirus Mammalian cell In Vivo Biotinylation in E.coli |






