MGAT1
MGAT1,全稱N-乙酰氨基葡萄糖轉移酶I,也被稱為α-1,3-甘露糖糖蛋白2-β-N-乙酰氨基葡萄糖轉移酶,是一種重要的糖基轉移酶。它參與了N-連接糖基化過程中復雜N-聚糖的合成,這一過程在細胞信號傳導、免疫反應和蛋白質穩定性等方面發揮著重要作用。MGAT1的表達和功能在多種生物學過程中得到體現,包括癌癥、生殖、脂肪代謝和早期發育等。在胰腺導管腺癌中,MGAT1的高表達與患者的預后相關,研究表明,MGAT1的高表達與PDAC患者更好的預后相關。進一步的功能實驗表明,MGAT1的過表達能夠顯著抑制PDAC細胞的增殖和遷移,并影響腫瘤微環境中的細胞間相互作用。MGAT1在精子發生中也起著關鍵作用,研究發現,在精子發生過程中,MGAT1的缺失會導致精子發生缺陷,從而引起不育。此外,MGAT1還參與了甘油三酯和磷脂的合成,研究發現,MGAT1的表達和活性在哺乳動物的胃、腎、白色和棕色脂肪組織以及肝臟中被檢測到。
目前,針對MGAT1的藥物研發正在進行中,例如,有研究開發了一種MGAT1抑制劑W-GTF01,該抑制劑能有效抑制MGAT1活性,增強TNBC腫瘤對免疫治療的敏感性,為TNBC的治療提供了新的潛在靶點和策略。
熱銷產品
MGAT1 Antibody (CSB-PA013773ESR1HU)
驗證數據
Western blot
All lanes: MGAT1 antibody at 1.18μg/ml + 293T whole cell lysate
Secondary
Goat polyclonal to rabbit IgG at 1/10000 dilution
Predicted band size: 75 kDa
Observed band size: 75 kDa
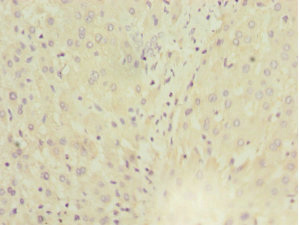
Immunohistochemistry of paraffin-embedded human liver tissue using CSB-PA013773ESR1HU at dilution of 1:100
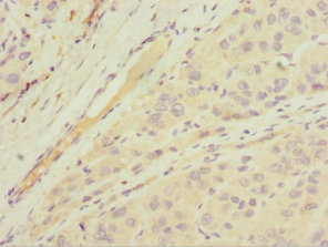
Immunohistochemistry of paraffin-embedded human liver cancer using CSB-PA013773ESR1HU at dilution of 1:100
MGAT1 Antibodies
MGAT1 for Homo sapiens (Human)
| 產品貨號 | 產品名稱 | 種屬反應性 | 應用類型 |
|---|---|---|---|
| CSB-PA013773GA01HU | MGAT1 Antibody | Human,Mouse,Rat | ELISA,IHC,IF |
| CSB-PA013773ESR1HU | MGAT1 Antibody | Human | ELISA, WB, IHC |
| CSB-PA013773ESR2HU | MGAT1 Antibody | Human | ELISA, IHC |
MGAT1 Proteins
MGAT1 Proteins for Homo sapiens (Human)
| 產品貨號 | 產品名稱 | 來源 |
|---|---|---|
| CSB-YP013773HU1 CSB-EP013773HU1 CSB-BP013773HU1 CSB-MP013773HU1 CSB-EP013773HU1-B |
Recombinant Human Alpha-1,3-mannosyl-glycoprotein 2-beta-N-acetylglucosaminyltransferase (MGAT1), partial | Yeast E.coli Baculovirus Mammalian cell In Vivo Biotinylation in E.coli |
| CSB-CF013773HU | Recombinant Human Alpha-1,3-mannosyl-glycoprotein 2-beta-N-acetylglucosaminyltransferase (MGAT1) | in vitro E.coli expression system |






