MEF2D
MEF2D,即肌細胞增強因子2D,別名Myocyte enhancer factor 2D。它是MADS盒家族的成員之一,參與多種細胞生命活動的調控。它通過與DNA上的MEF2結合位點相互作用,調控下游基因的轉錄,影響細胞增殖、分化、遷移和凋亡等過程。MEF2D在肌肉生成、神經系統發育、肝纖維化以及腫瘤發展中扮演重要角色。特別是在腫瘤生物學中,MEF2D的異常表達與多種腫瘤的侵襲性、轉移能力和患者預后密切相關,使其成為癌癥治療的潛在靶點。
熱銷產品
MEF2D Antibody (CSB-PA613522LA01HU)
驗證數據
Western Blot
Positive WB detected in: Hela whole cell lysate, HepG2 whole cell lysate, A549 whole cell lysate, Mouse heart tissue
All lanes: MEF2D antibody at 2.7µg/ml
Secondary
Goat polyclonal to rabbit IgG at 1/50000 dilution
Predicted band size: 56, 57, 51, 50 kDa
Observed band size: 56 kDa
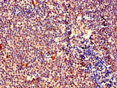
IHC image of CSB-PA613522LA01HU diluted at 1:400 and staining in paraffin-embedded human tonsil tissue performed on a Leica BondTM system. After dewaxing and hydration, antigen retrieval was mediated by high pressure in a citrate buffer (pH 6.0). Section was blocked with 10% normal goat serum 30min at RT. Then primary antibody (1% BSA) was incubated at 4°C overnight. The primary is detected by a biotinylated secondary antibody and visualized using an HRP conjugated SP system.
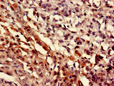
IHC image of CSB-PA613522LA01HU diluted at 1:400 and staining in paraffin-embedded human melanoma performed on a Leica BondTM system. After dewaxing and hydration, antigen retrieval was mediated by high pressure in a citrate buffer (pH 6.0). Section was blocked with 10% normal goat serum 30min at RT. Then primary antibody (1% BSA) was incubated at 4°C overnight. The primary is detected by a biotinylated secondary antibody and visualized using an HRP conjugated SP system.
MEF2D Antibodies
MEF2D for Homo sapiens (Human)
| 產品貨號 | 產品名稱 | 種屬反應性 | 應用類型 |
|---|---|---|---|
| CSB-PA010173 | Phospho-MEF2D (S444) Antibody | Human,Mouse,Rat | WB, IHC, ELISA |
| CSB-PA010174 | MEF2D Antibody | Human,Mouse,Rat | IHC, ELISA |
| CSB-PA613522LA01HU | MEF2D Antibody | Human, Mouse | ELISA, WB, IHC |
| CSB-PA613522LB01HU | MEF2D Antibody, HRP conjugated | Human | ELISA |
| CSB-PA613522LC01HU | MEF2D Antibody, FITC conjugated | Human | |
| CSB-PA613522LD01HU | MEF2D Antibody, Biotin conjugated | Human | ELISA |
MEF2D Proteins
MEF2D Proteins for Rattus norvegicus (Rat)
| 產品貨號 | 產品名稱 | 來源 |
|---|---|---|
| CSB-YP013674RA CSB-EP013674RA CSB-BP013674RA CSB-MP013674RA CSB-EP013674RA-B |
Recombinant Rat Myocyte-specific enhancer factor 2D (Mef2d) | Yeast E.coli Baculovirus Mammalian cell In Vivo Biotinylation in E.coli |
MEF2D Proteins for Homo sapiens (Human)
| 產品貨號 | 產品名稱 | 來源 |
|---|---|---|
| CSB-YP613522HU CSB-EP613522HU CSB-BP613522HU CSB-MP613522HU CSB-EP613522HU-B |
Recombinant Human Myocyte-specific enhancer factor 2D (MEF2D) | Yeast E.coli Baculovirus Mammalian cell In Vivo Biotinylation in E.coli |
MEF2D Proteins for Mus musculus (Mouse)
| 產品貨號 | 產品名稱 | 來源 |
|---|---|---|
| CSB-YP733979MO CSB-EP733979MO CSB-BP733979MO CSB-MP733979MO CSB-EP733979MO-B |
Recombinant Mouse Myocyte-specific enhancer factor 2D (Mef2d) | Yeast E.coli Baculovirus Mammalian cell In Vivo Biotinylation in E.coli |






