MAT2A
MAT2A,即甲硫氨酸腺苷轉移酶2A,別名AdoMet合成酶2、Methionine adenosyltransferase 2、S-adenosylmethionine synthase isoform type-2等。它是一種在人體內催化甲硫氨酸轉化為S-腺苷甲硫氨酸(SAM)的關鍵酶,SAM是細胞內最重要的甲基供體,參與多種生物分子的甲基化過程。MAT2A由人體細胞自身的基因編碼,在多種組織中都有表達,尤其在睪丸組織中表達量較高。其作用機制涉及到將ATP和甲硫氨酸作為底物,通過轉移磷酸腺苷基團至甲硫氨酸,生成SAM,這一過程對維持細胞內的甲基化水平至關重要。MAT2A在生物學上的意義非常廣泛,它不僅參與了一碳單位代謝和轉硫途徑,還與葉酸循環緊密相連。作為甲基化反應的關鍵輔助因子,MAT2A對DNA、RNA、蛋白質和脂質的甲基化修飾具有重要影響,這些甲基化修飾對基因表達調控、細胞信號傳導、細胞增殖和分化等過程至關重要。MAT2A的功能異常與多種疾病相關,包括某些類型的癌癥,例如在H3K27M突變的膠質瘤中,MAT2A的活性與腫瘤的生長和存活密切相關。因此,MAT2A不僅在細胞生理過程中發揮著核心作用,也是藥物開發和疾病治療中的潛在靶點。
熱銷產品
Recombinant Human S-adenosylmethionine synthase isoform type-2 (MAT2A) (CSB-YP013517HU)
驗證數據
(Tris-Glycine gel) Discontinuous SDS-PAGE (reduced) with 5% enrichment gel and 15% separation gel.
MAT2A Antibody (CSB-PA013517LA01HU)
驗證數據
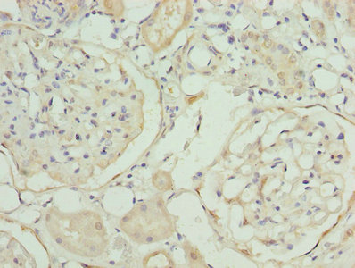
Immunohistochemistry of paraffin-embedded human kidney tissue using CSB-PA013517LA01HU at dilution of 1:100
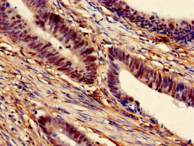
Immunohistochemistry of paraffin-embedded human colon cancer using CSB-PA013517LA01HU at dilution of 1:100
Immunofluorescent analysis of PC-3 cells using CSB-PA013517LA01HU at dilution of 1:100 and Alexa Fluor 488-congugated AffiniPure Goat Anti-Rabbit IgG(H+L)
MAT2A Antibodies
MAT2A for Homo sapiens (Human)
| 產品貨號 | 產品名稱 | 種屬反應性 | 應用類型 |
|---|---|---|---|
| CSB-PA013517LA01HU | MAT2A Antibody | Human | ELISA, IHC, IF |
| CSB-PA013517LB01HU | MAT2A Antibody, HRP conjugated | Human | ELISA |
| CSB-PA013517LC01HU | MAT2A Antibody, FITC conjugated | Human | |
| CSB-PA013517LD01HU | MAT2A Antibody, Biotin conjugated | Human | ELISA |
MAT2A Proteins
MAT2A Proteins for Homo sapiens (Human)
| 產品貨號 | 產品名稱 | 來源 |
|---|---|---|
| CSB-MP013517HU CSB-EP013517HU-B |
Recombinant Human S-adenosylmethionine synthase isoform type-2 (MAT2A) | Mammalian cell In Vivo Biotinylation in E.coli |
| CSB-BP013517HU | Recombinant Human S-adenosylmethionine synthase isoform type-2 (MAT2A) | Baculovirus |
| CSB-EP013517HUc7 | Recombinant Human S-adenosylmethionine synthase isoform type-2 (MAT2A) | E.coli |
| CSB-YP013517HU | Recombinant Human S-adenosylmethionine synthase isoform type-2 (MAT2A) | Yeast |
| CSB-EP013517HU | Recombinant Human S-adenosylmethionine synthase isoform type-2 (MAT2A) | E.coli |
| CSB-BP013517HUa0 | Recombinant Human S-adenosylmethionine synthase isoform type-2 (MAT2A) | Baculovirus |






