MAGEA1
MAGEA1,即黑色素瘤相關抗原家族A1,是一種在多種腫瘤中表達的蛋白,特別是在黑色素瘤、肺癌、胃癌等惡性腫瘤中。MAGEA1屬于MAGE(melanoma-associated antigen)家族成員,通常在睪丸組織中表達,而在其他正常組織中表達較低或不表達。MAGEA1的作用機制涉及調節細胞凋亡、影響腫瘤的發生發展,其在腫瘤細胞中的表達水平與腫瘤的侵襲性和預后密切相關。MAGEA1參與的信號通路包括Wnt/β-catenin信號通路,它通過激活該通路促進黑色素瘤細胞的上皮-間充質轉化(EMT),提高黑色素瘤細胞的侵襲與遷移能力。此外,MAGEA1還可能參與其他信號通路,如成纖維細胞生長因子受體2(FGFR2)信號通路,通過調節纖維連接蛋白控制細胞的增殖和遷移。在生物學意義上,MAGEA1的異常表達與腫瘤的增殖、侵襲、轉移等過程密切相關,是腫瘤治療和免疫治療的潛在靶點。MAGEA1的高表達通常與腫瘤的不良預后相關,其可作為腫瘤生物標志物用于診斷和治療監測。
熱銷產品
Recombinant Human Melanoma-associated antigen 1 (MAGEA1) (CSB-YP013323HU)
驗證數據
(Tris-Glycine gel) Discontinuous SDS-PAGE (reduced) with 5% enrichment gel and 15% separation gel.
Based on the SEQUEST from database of Yeast host and target protein, the LC-MS/MS Analysis result of CSB-YP013323HU could indicate that this peptide derived from Yeast-expressed Homo sapiens (Human) MAGEA1.
Based on the SEQUEST from database of Yeast host and target protein, the LC-MS/MS Analysis result of CSB-YP013323HU could indicate that this peptide derived from Yeast-expressed Homo sapiens (Human) MAGEA1.
MAGEA1 Antibody (CSB-PA013323ESR2HU)
驗證數據
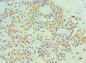
Immunohistochemistry of paraffin-embedded human breast cancer using CSB-PA013323ESR2HU at dilution of 1:100
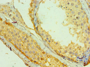
Immunohistochemistry of paraffin-embedded human testis tissue using CSB-PA013323ESR2HU at dilution of 1:100
Immunoprecipitating MAGEA1 in Hela whole cell lysate
Lane 1: Rabbit control IgG instead of CSB-PA013323ESR2HU in Hela whole cell lysate. For western blotting, a HRP-conjugated Protein G antibody was used as the secondary antibody (1/2000)
Lane 2: CSB-PA013323ESR2HU (8µg) + Hela whole cell lysate (500µg)
Lane 3: Hela whole cell lysate (10µg)
MAGEA1 Antibodies
MAGEA1 for Homo sapiens (Human)
| 產品貨號 | 產品名稱 | 種屬反應性 | 應用類型 |
|---|---|---|---|
| CSB-PA013323GA01HU | MAGEA1 Antibody | Human | ELISA,WB |
| CSB-PA013323ESR2HU | MAGEA1 Antibody | Human | ELISA, IHC, IP |
| CSB-PA003186 | MAGEA1 Antibody | Human | WB, IHC, ELISA |
MAGEA1 Proteins
MAGEA1 Proteins for Homo sapiens (Human)
| 產品貨號 | 產品名稱 | 來源 |
|---|---|---|
| CSB-YP013323HU | Recombinant Human Melanoma-associated antigen 1 (MAGEA1) | Yeast |
| CSB-MP013323HU | Recombinant Human Melanoma-associated antigen 1 (MAGEA1) | Mammalian cell |
| CSB-EP013323HU | Recombinant Human Melanoma-associated antigen 1 (MAGEA1) | E.coli |
| CSB-BP013323HU CSB-EP013323HU-B |
Recombinant Human Melanoma-associated antigen 1 (MAGEA1) | Baculovirus In Vivo Biotinylation in E.coli |
| CSB-MP013323HUd9 | Recombinant Human Melanoma-associated antigen 1 (MAGEA1) | Mammalian cell |
MAGEA1 ELISA Kit
MAGEA1 ELISA Kit for Homo sapiens (Human)
| 產品貨號 | 產品名稱 | 樣本類型 | 靈敏度 |
|---|---|---|---|
| CSB-EL013323HU | Human Melanoma-associated antigen 1(MAGEA1) ELISA kit | tissue homogenates, cell lysates | 0.039 ng/ml |






