LRP1
LRP1,即低密度脂蛋白受體相關蛋白1,別名APOER、A2MR、APR、CD91。LRP1蛋白是一種大型內吞和信號轉導受體,屬于低密度脂蛋白受體家族成員之一,編碼的前蛋白由呋喃進行蛋白水解,產生515 kDa和85 kDa亞基,形成成熟受體。
LRP1的作用機制涉及多種細胞過程,包括細胞內信號傳遞、脂質穩態和凋亡細胞清除。它在阿爾茨海默病患者中發現的淀粉樣斑塊的主要成分--α2-巨球蛋白介導的分泌淀粉樣前體蛋白和β-淀粉樣蛋白的清除中也需要編碼蛋白。LRP1在維持血管內皮細胞功能、調節血腦屏障、參與脂質代謝和炎癥反應中有著關鍵作用,其異常表達與動脈粥樣硬化、腫瘤發展和神經退行性疾病等有關。
熱銷產品
驗證數據
(Tris-Glycine gel) Discontinuous SDS-PAGE (reduced) with 5% enrichment gel and 15% separation gel.
驗證數據
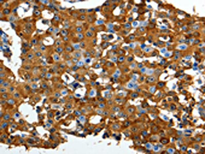
The image on the left is immunohistochemistry of paraffin-embedded Human breast cancer tissue using CSB-PA129534(LRP1 Antibody) at dilution 1/90, on the right is treated with synthetic peptide. (Original magnification: ×200)
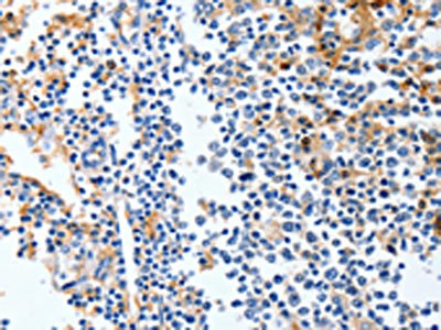
The image on the left is immunohistochemistry of paraffin-embedded Human tonsil tissue using CSB-PA129534(LRP1 Antibody) at dilution 1/90, on the right is treated with synthetic peptide. (Original magnification: ×200)
Gel: 12%SDS-PAGE, Lysate: 40 μg, Lane: Human liver cancer tissue, Primary antibody: CSB-PA129534(LRP1 Antibody) at dilution 1/1250, Secondary antibody: Goat anti rabbit IgG at 1/8000 dilution, Exposure time: 40 seconds
Human low-density lipoprotein-receptor-related protein 1,LRP-1 ELISA Kit (CSB-E13348h)
驗證數據
貨號:CSB-E13348h
規格:96T/48T
靈敏度:0.156 ng/mL
檢測范圍:0.625 ng/mL-40 ng/mL
These standard curves are provided for demonstration only. A standard curve should be generated for each set of samples assayed.
LRP1 Antibodies
LRP1 for Homo sapiens (Human)
| 產品貨號 | 產品名稱 | 種屬反應性 | 應用類型 |
|---|---|---|---|
| CSB-PA009877 | LRP1 Antibody | Human,Mouse | WB, IHC, ELISA |
| CSB-PA129534 | LRP1 Antibody | Human | ELISA,WB,IHC |
| CSB-PA249658 | LRP1 Antibody | Human | ELISA,WB,IHC |
| CSB-PA013091NA01HU | LRP1 Antibody | Human | ELISA, IHC, IF |
| CSB-PA013091NB01HU | LRP1 Antibody, HRP conjugated | Human | ELISA |
| CSB-PA013091NC01HU | LRP1 Antibody, FITC conjugated | Human | |
| CSB-PA013091ND01HU | LRP1 Antibody, Biotin conjugated | Human | ELISA |
| CSB-RA794688HU | LRP1 Recombinant Monoclonal Antibody | Human, Mouse, Rat | ELISA, WB, IHC |
LRP1 Proteins
LRP1 Proteins for Gallus gallus (Chicken)
| 產品貨號 | 產品名稱 | 來源 |
|---|---|---|
| CSB-YP013091CH CSB-BP013091CH CSB-EP013091CH-B |
Recombinant Chicken Low-density lipoprotein receptor-related protein 1 (LRP1), partial | Yeast Baculovirus In Vivo Biotinylation in E.coli |
LRP1 Proteins for Saccharomyces cerevisiae (strain ATCC 204508 / S288c) (Baker's yeast)
| 產品貨號 | 產品名稱 | 來源 |
|---|---|---|
| CSB-YP334479SVG CSB-EP334479SVG CSB-BP334479SVG CSB-MP334479SVG CSB-EP334479SVG-B |
Recombinant Saccharomyces cerevisiae Exosome complex protein LRP1 (LRP1) | Yeast E.coli Baculovirus Mammalian cell In Vivo Biotinylation in E.coli |
LRP1 Proteins for Mus musculus (Mouse)
| 產品貨號 | 產品名稱 | 來源 |
|---|---|---|
| CSB-YP846020MO CSB-EP846020MO CSB-BP846020MO CSB-MP846020MO CSB-EP846020MO-B |
Recombinant Mouse Prolow-density lipoprotein receptor-related protein 1 (Lrp1), partial | Yeast E.coli Baculovirus Mammalian cell In Vivo Biotinylation in E.coli |
LRP1 Proteins for Homo sapiens (Human)
| 產品貨號 | 產品名稱 | 來源 |
|---|---|---|
| CSB-EP013091HU1 | Recombinant Human Prolow-density lipoprotein receptor-related protein 1 (LRP1), partial | E.coli |
LRP1 ELISA Kit
LRP1 ELISA Kit for Homo sapiens (Human)
| 產品貨號 | 產品名稱 | 樣本類型 | 靈敏度 |
|---|---|---|---|
| CSB-E13348h | Human low-density lipoprotein-receptor-related protein 1,LRP-1 ELISA Kit | serum, plasma, tissue homogenates | 0.156 ng/mL |






