LILRB1
LILRB1,即白細胞免疫球蛋白樣受體B1,別名ILT2(免疫球蛋白樣轉錄物2)、LIR1(白細胞免疫受體1)、CD85j。LILRB1是一種主要在髓系細胞上表達的抑制性受體,它通過與MHC I類分子等配體結合來調節免疫細胞的活性。LILRB1的作用機制涉及到其胞內結構域中的免疫受體酪氨酸抑制基序(ITIM),當LILRB1與其配體結合時,可以招募含有磷酸酶SHP-1(Src同源區域2結構域含有的磷酸酶1)的分子,從而抑制過度的免疫反應和促進免疫耐受。LILRB1在生物學上的意義主要體現在其對免疫應答的調節作用。它在樹突狀細胞的分化和功能中發揮關鍵作用,能夠影響樹突狀細胞分泌細胞因子的能力,如IL-10、IL-12p70和TGF-β,進而調節T細胞的激活和增殖。此外,LILRB1還在腫瘤免疫微環境中起到重要作用,其表達在腫瘤相關巨噬細胞(TAM)上被上調,通過與腫瘤細胞表面的MHC I類分子結合,可能幫助腫瘤細胞逃避免疫系統的攻擊。因此,LILRB1不僅在維持免疫平衡中發揮重要作用,也是癌癥免疫治療中的潛在靶點。
熱銷產品
Recombinant Human LIR-1 (LILRB1), partial, Biotinylated (CSB-MP5114HU-B)
驗證數據
(Tris-Glycine gel) Discontinuous SDS-PAGE (reduced) with 5% enrichment gel and 15% separation gel.
The purity of LILRB1 was greater than 90% as determined by SEC-HPLC
LILRB1 Antibody (CSB-PA847747LA01HU)
驗證數據
Western Blot
Positive WB detected in: THP-1 whole cell lysate, Rat brain tissue
All lanes: LILRB1 antibody at 3.5µg/ml
Secondary
Goat polyclonal to rabbit IgG at 1/50000 dilution
Predicted band size: 71, 72, 50 kDa
Observed band size: 71 kDa
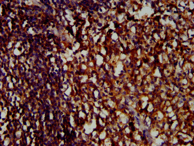
IHC image of CSB-PA847747LA01HU diluted at 1:400 and staining in paraffin-embedded human tonsil tissue performed on a Leica BondTM system. After dewaxing and hydration, antigen retrieval was mediated by high pressure in a citrate buffer (pH 6.0). Section was blocked with 10% normal goat serum 30min at RT. Then primary antibody (1% BSA) was incubated at 4°C overnight. The primary is detected by a biotinylated secondary antibody and visualized using an HRP conjugated SP system.
Immunofluorescence staining of 293 cells with CSB-PA847747LA01HU at 1:133, counter-stained with DAPI. The cells were fixed in 4% formaldehyde, permeabilized using 0.2% Triton X-100 and blocked in 10% normal Goat Serum. The cells were then incubated with the antibody overnight at 4°C. The secondary antibody was Alexa Fluor 488-congugated AffiniPure Goat Anti-Rabbit IgG(H+L).
LILRB1 Antibodies
LILRB1 for Homo sapiens (Human)
| 產品貨號 | 產品名稱 | 種屬反應性 | 應用類型 |
|---|---|---|---|
| CSB-PA006214 | LILRB1 Antibody | Human | WB, ELISA |
| CSB-PA184311 | LILRB1 Antibody | Human | ELISA,IHC |
| CSB-PA152513 | LILRB1 Antibody | Human | ELISA,IHC |
| CSB-PA847747LA01HU | LILRB1 Antibody | Human, Rat | ELISA, WB, IHC, IF |
| CSB-PA847747LB01HU | LILRB1 Antibody, HRP conjugated | Human | ELISA |
| CSB-PA847747LC01HU | LILRB1 Antibody, FITC conjugated | Human | |
| CSB-PA847747LD01HU | LILRB1 Antibody, Biotin conjugated | Human | ELISA |
LILRB1 Proteins
LILRB1 Proteins for Homo sapiens (Human)
| 產品貨號 | 產品名稱 | 來源 |
|---|---|---|
| CSB-YP847747HU CSB-EP847747HU CSB-BP847747HU CSB-EP847747HU-B |
Recombinant Human Leukocyte immunoglobulin-like receptor subfamily B member 1 (LILRB1), partial | Yeast E.coli Baculovirus In Vivo Biotinylation in E.coli |






