KLRB1
KLRB1,全稱“殺傷細胞凝集素樣受體亞家族B成員1”,別名CD161,是一種II型膜蛋白,主要表達于自然殺傷(NK)細胞和部分T細胞表面。CD161蛋白具有C型凝集素特征的結構域,參與調節NK細胞和T細胞的免疫功能。在NK細胞中,CD161與其配體LLT1結合,抑制細胞毒性并調節細胞因子分泌。而在T細胞中,CD161可作為激活型受體,參與Th17細胞的分化和IL-17的分泌。CD161的表達受IL-12等細胞因子調控,并在免疫應答中發揮重要作用。相關研究表明,CD161在腫瘤微環境中可作為治療靶點,通過阻斷CD161-LLT1結合增強NK細胞活性,或激活T細胞殺傷腫瘤細胞。目前,針對CD161的抗體和免疫檢查點抑制劑等藥物研發正在進行中,有望為腫瘤治療提供新策略。
熱銷產品
驗證數據
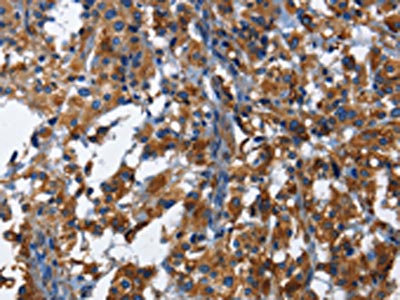
The image on the left is immunohistochemistry of paraffin-embedded Human thyroid cancer tissue using CSB-PA249906(KLRB1 Antibody) at dilution 1/40, on the right is treated with fusion protein. (Original magnification: ×200)
The image on the left is immunohistochemistry of paraffin-embedded Human cervical cancer tissue using CSB-PA249906(KLRB1 Antibody) at dilution 1/40, on the right is treated with fusion protein. (Original magnification: ×200)
Gel: 10%SDS-PAGE, Lysate: 40 μg, Lane 1-2: Mouse kidney tissue, human fetal liver tissue, Primary antibody: CSB-PA249906(KLRB1 Antibody) at dilution 1/300, Secondary antibody: Goat anti rabbit IgG at 1/8000 dilution, Exposure time: 1 minute
KLRB1 Antibodies
KLRB1 for Homo sapiens (Human)
| 產品貨號 | 產品名稱 | 種屬反應性 | 應用類型 |
|---|---|---|---|
| CSB-PA005290 | KLRB1 Antibody | Human | WB, ELISA |
| CSB-PA249906 | KLRB1 Antibody | Human,Mouse | ELISA,WB,IHC |
KLRB1 Proteins
KLRB1 Proteins for Homo sapiens (Human)
| 產品貨號 | 產品名稱 | 來源 |
|---|---|---|
| CSB-YP621524HU CSB-EP621524HU CSB-BP621524HU CSB-MP621524HU CSB-EP621524HU-B |
Recombinant Human Killer cell lectin-like receptor subfamily B member 1 (KLRB1), partial | Yeast E.coli Baculovirus Mammalian cell In Vivo Biotinylation in E.coli |






