KLK4
KLK4,全稱為激肽釋放酶相關肽酶4(Kallikrein-related peptidase 4),是一種具有多種生理功能的絲氨酸蛋白酶。該蛋白在牙釉質形成和前列腺組織中高度表達,參與細胞外基質的降解與再生。KLK4通過水解蛋白質,促進釉質礦化,其表達產物在牙齒發育中起著關鍵作用。此外,KLK4在前列腺癌中常出現過表達,可能通過激活蛋白酶激活受體或生長因子通路促進腫瘤侵襲和轉移,因此被視為前列腺癌的潛在生物標志物。
KLK4的表達降低可能導致釉質礦化障礙,而過表達則可能加速腫瘤進展或引發異常組織纖維化。KLK4與家族其他成員的協同作用,如與KLK2在前列腺中的共表達,提示其在特定組織中的功能網絡。目前,針對KLK4的研究主要集中在口腔疾病和癌癥領域,探索其作為生物標志物和治療靶點的潛力。
熱銷產品
KLK4 Antibody (CSB-PA238099ESR2HU)
驗證數據
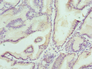
Immunohistochemistry of paraffin-embedded human prostate cancer using CSB-PA238099ESR2HU at dilution of 1:100
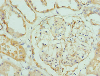
Immunohistochemistry of paraffin-embedded human kidney tissue using CSB-PA238099ESR2HU at dilution of 1:100
KLK4 Antibodies
KLK4 for Homo sapiens (Human)
| 產品貨號 | 產品名稱 | 種屬反應性 | 應用類型 |
|---|---|---|---|
| CSB-PA211882 | KLK4 Antibody | Human | ELISA,IHC |
| CSB-PA214768 | KLK4 Antibody | Human | ELISA,IHC |
| CSB-PA238099ESR2HU | KLK4 Antibody | Human | ELISA, IHC |
KLK4 ELISA Kit
KLK4 ELISA Kit for Homo sapiens (Human)
| 產品貨號 | 產品名稱 | 樣本類型 | 靈敏度 |
|---|---|---|---|
| CSB-EL012455HU | Human Kallikrein-4(KLK4) ELISA kit | serum, plasma, tissue homogenates | 0.039 ng/mL |






