KIR3DL3
KIR3DL3,全稱是殺傷細胞免疫球蛋白樣受體3D樣3,也被稱為CD158k。該蛋白主要表達于自然殺傷細胞上,作為一種抑制性受體,能夠調節NK細胞的活性,防止細胞過度裂解。KIR3DL3通過與HLA-I類分子結合,觸發細胞內信號傳導,從而抑制NK細胞的殺傷功能。這一過程對于維持免疫系統的平衡至關重要。KIR3DL3與多種疾病相關,尤其是腫瘤免疫逃逸。研究表明,KIR3DL3的表達異常可能與某些癌癥的進展和耐藥性有關。在藥物研發方面,針對KIR3DL3的單克隆抗體和雙特異性抗體已被開發用于腫瘤治療,例如KIR3DL3-HHLA2新免疫檢查點抑制劑,旨在增強NK細胞的抗腫瘤活性。此外,還有研究探索KIR3DL3與其他免疫檢查點(如PD-1/PD-L1)的聯合治療策略,以提高療效。這些進展為KIR3DL3相關疾病的治療提供了新的希望。
熱銷產品
KIR3DL3 Antibody (CSB-PA850818ESR1HU)
驗證數據
Western blot
All lanes: KIR3DL3 antibody at 1.75µg/ml + Jurkat whole cell lysate
Secondary
Goat polyclonal to rabbit IgG at 1/10000 dilution
Predicted band size: 45 kDa
Observed band size: 45 kDa
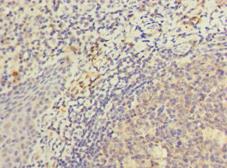
Immunohistochemistry of paraffin-embedded human tonsil tissue using CSB-PA850818ESR1HU at dilution of 1:100
KIR3DL3 Antibodies
KIR3DL3 for Homo sapiens (Human)
| 產品貨號 | 產品名稱 | 種屬反應性 | 應用類型 |
|---|---|---|---|
| CSB-PA005287 | KIR3DL3 Antibody | Human | WB, ELISA |
| CSB-PA850818ESR1HU | KIR3DL3 Antibody | Human | ELISA, WB, IHC |
| CSB-PA850818ESR2HU | KIR3DL3 Antibody | Human | ELISA, IHC |
KIR3DL3 Proteins
KIR3DL3 Proteins for Homo sapiens (Human)
| 產品貨號 | 產品名稱 | 來源 |
|---|---|---|
| CSB-YP850818HU CSB-EP850818HU CSB-BP850818HU CSB-MP850818HU CSB-EP850818HU-B |
Recombinant Human Killer cell immunoglobulin-like receptor 3DL3 (KIR3DL3), partial | Yeast E.coli Baculovirus Mammalian cell In Vivo Biotinylation in E.coli |






