JAG1
JAG1,即Jagged1蛋白,別名AGS、AHD、AWS、HJ1、AGS1、DCHE、CD339、JAGL1、CMT2HH。
JAG1在成人和胎兒組織中廣泛表達,其表達在宮頸鱗狀細胞癌中上調,并在骨髓細胞系HS-27a中表達。
JAG1是多個Notch受體的配體,參與調節Notch信號傳導。JAG1在哺乳動物心血管發育的早期和晚期階段都有所涉及,它通過抑制成肌細胞分化和增強成纖維細胞生長因子誘導的血管生成來發揮作用。
JAG1與多種疾病相關,包括Alagille綜合征和某些類型的癌癥,如乳腺癌和腎上腺皮質癌。JAG1的突變與Alagille綜合征相關,這是一種主要影響肝臟、心臟、骨骼、眼睛、面部、腎臟和血管系統的多系統顯性障礙,表明JAG1的功能喪失是導致這些組織疾病的原因。
熱銷產品
Recombinant Human Protein jagged-1 (JAG1), partial (CSB-MP011927HUh6)
驗證數據
(Tris-Glycine gel) Discontinuous SDS-PAGE (reduced) with 5% enrichment gel and 15% separation gel.
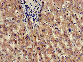
JAG1 Antibody (CSB-PA01949A0Rb)
驗證數據
Immunohistochemistry of paraffin-embedded human liver tissue using CSB-PA01949A0Rb at dilution of 1:100
Immunohistochemistry of paraffin-embedded human pancreatic cancer using CSB-PA01949A0Rb at dilution of 1:100
Immunofluorescent analysis of HepG2 cells using CSB-PA01949A0Rb at dilution of 1:100 and Alexa Fluor 488-congugated AffiniPure Goat Anti-Rabbit IgG(H+L)
Human Protein jagged-1(JAG1) ELISA kit (CSB-EL011927HU)
驗證數據
貨號:CSB-EL011927HU
規格:96T/48T
靈敏度:0.039 ng/mL
檢測范圍:0.156 ng/mL-10 ng/mL
These standard curves are provided for demonstration only. A standard curve should be generated for each set of samples assayed.
JAG1 Antibodies
JAG1 for Homo sapiens (Human)
| 產品貨號 | 產品名稱 | 種屬反應性 | 應用類型 |
|---|---|---|---|
| CSB-PA005638 | JAG1 Antibody | Human,Mouse,Rat | WB, ELISA |
| CSB-PA969766 | JAG1 Antibody | Human,Mouse,Rat | ELISA,IHC |
| CSB-PA234352 | JAG1 Antibody | Human,Mouse,Rat | ELISA,IHC |
| CSB-PA01949A0Rb | JAG1 Antibody | Human | ELISA, IHC, IF |
| CSB-PA01949B0Rb | JAG1 Antibody, HRP conjugated | Human | ELISA |
| CSB-PA01949C0Rb | JAG1 Antibody, FITC conjugated | Human | |
| CSB-PA01949D0Rb | JAG1 Antibody, Biotin conjugated | Human | ELISA |
JAG1 Proteins
JAG1 Proteins for Homo sapiens (Human)
| 產品貨號 | 產品名稱 | 來源 |
|---|---|---|
| CSB-YP011927HU CSB-EP011927HU CSB-BP011927HU CSB-MP011927HU CSB-EP011927HU-B |
Recombinant Human Protein jagged-1 (JAG1), partial | Yeast E.coli Baculovirus Mammalian cell In Vivo Biotinylation in E.coli |
| CSB-MP011927HUh6 | Recombinant Human Protein jagged-1 (JAG1), partial | Mammalian cell |
JAG1 Proteins for Rattus norvegicus (Rat)
| 產品貨號 | 產品名稱 | 來源 |
|---|---|---|
| CSB-YP730923RA CSB-EP730923RA CSB-BP730923RA CSB-MP730923RA CSB-EP730923RA-B |
Recombinant Rat Protein jagged-1 (Jag1), partial | Yeast E.coli Baculovirus Mammalian cell In Vivo Biotinylation in E.coli |
JAG1 Proteins for Mus musculus (Mouse)
| 產品貨號 | 產品名稱 | 來源 |
|---|---|---|
| CSB-YP870758MO CSB-BP870758MO CSB-MP870758MO CSB-EP870758MO-B |
Recombinant Mouse Protein jagged-1 (Jag1), partial | Yeast Baculovirus Mammalian cell In Vivo Biotinylation in E.coli |
| CSB-EP870758MO | Recombinant Mouse Protein jagged-1 (Jag1), partial | E.coli |
JAG1 ELISA Kit
JAG1 ELISA Kit for Homo sapiens (Human)
| 產品貨號 | 產品名稱 | 樣本類型 | 靈敏度 |
|---|---|---|---|
| CSB-EL011927HU | Human Protein jagged-1(JAG1) ELISA kit | serum, plasma, tissue homogenates | 0.039 ng/mL |






