ITGB1
整合素β1(Integrin β1,又稱CD29)是整合素家族的重要成員,常與不同α亞基結合形成跨膜受體,例如與α4形成VLA-4、與α5形成纖維連接蛋白受體。這類復合物通過識別細胞外基質中的層粘連蛋白、膠原等成分,參與細胞黏附、遷移和微環境感知,ITGB1功能異常常導致細胞極性喪失和異常增殖。在病理層面,ITGB1在乳腺癌、胃癌等實體瘤中過度激活,通過調控上皮間質轉化過程促進腫瘤侵襲;其異常表達還與特發性肺纖維化、肝硬化等器官纖維化進程密切相關。目前針對該靶點的藥物開發聚焦于抗腫瘤領域,例如抗體藥物偶聯物(ADC)LXY30通過特異性阻斷整合素β1抑制三陰性乳腺癌轉移,已進入Ⅰ期臨床試驗。小分子抑制劑ATN-161在動物實驗中顯示出阻斷腫瘤血管生成潛力,但其臨床轉化仍受限于組織選擇性不足的挑戰。
熱銷產品
ITGB1 Recombinant Monoclonal Antibody (CSB-RA011880A0HU)
驗證數據
Western Blot
Positive WB detected in: Hela whole cell lysate, MCF-7 whole cell lysate, SH-SY5Y whole cell lysate, U251 whole cell lysate
All lanes: Integrin beta-1/CD29 antibody at 1.9μg/ml
Secondary
Goat polyclonal to rabbit IgG at 1/50000 dilution
Predicted band size: 89, 88, 92 KDa
Observed band size: 130 KDa
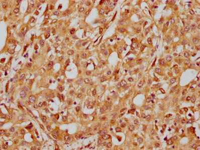
IHC image of CSB-RA011880A0HU diluted at 1:185 and staining in paraffin-embedded human liver cancer performed on a Leica BondTM system. After dewaxing and hydration, antigen retrieval was mediated by high pressure in a citrate buffer (pH 6.0). Section was blocked with 10% normal goat serum 30min at RT. Then primary antibody (1% BSA) was incubated at 4℃ overnight. The primary is detected by a biotinylated secondary antibody and visualized using an HRP conjugated SP system.
Immunofluorescence staining of Hela cells with CSB-RA011880A0HU at 1:61, counter-stained with DAPI. The cells were fixed in 4% formaldehyde, permeabilized using 0.2% Triton X-100 and blocked in 10% normal Goat Serum. The cells were then incubated with the antibody overnight at 4℃. The secondary antibody was Alexa Fluor 488-congugated AffiniPure Goat Anti-Rabbit IgG (H+L).
Overlay histogram showing MCF-7 cells stained with CSB-RA011880A0HU (red line) at 1:50. The cells were fixed with 70% Ethylalcohol (18h) and then permeabilized with 0.3% Triton X-100 for 2 min. The cells were then incubated in 1x PBS /10% normal goat serum to block non-specific protein-protein interactions followed by primary antibody for 1 h at 4℃. The secondary antibody used was FITC goat anti-rabbit IgG (H+L) at 1/200 dilution for 1 h at 4℃. Control antibody (green line) was used under the same conditions. Acquisition of >10,000 events was performed.
Human Integrin beta-1(ITGB1) ELISA kit (CSB-EL011880HU)
驗證數據
貨號:CSB-EL011880HU
規格:96T/48T
靈敏度:15.6 pg/mL
檢測范圍:62.5 pg/mL-4000 pg/mL
These standard curves are provided for demonstration only. A standard curve should be generated for each set of samples assayed.
ITGB1 Antibodies
ITGB1 for Rattus norvegicus (Rat)
| 產品貨號 | 產品名稱 | 種屬反應性 | 應用類型 |
|---|---|---|---|
| CSB-PA011880LD01RA | Itgb1 Antibody, Biotin conjugated | Rat | ELISA |
| CSB-PA011880LC01RA | Itgb1 Antibody, FITC conjugated | Rat | |
| CSB-PA011880LA01RA | Itgb1 Antibody | Rat | ELISA |
ITGB1 for Homo sapiens (Human)
| 產品貨號 | 產品名稱 | 種屬反應性 | 應用類型 |
|---|---|---|---|
| CSB-PA011880GA01HU | ITGB1 Antibody | Human,Mouse,Rat | ELISA,WB |
| CSB-PA034125 | ITGB1 Antibody | Human,Mouse,Rat | ELISA,WB |
| CSB-PA115704 | Phospho-ITGB1 (Thr789) Antibody | Human,Mouse,Rat | ELISA,WB,IHC |
| CSB-PA192338 | Phospho-ITGB1 (Tyr795) Antibody | Human,Mouse,Rat | ELISA,WB |
| CSB-PA136121 | ITGB1 (Ab-789) Antibody | Human,Mouse,Rat | ELISA,WB |
| CSB-PA000552 | Phospho-ITGB1 (T788) Antibody | Human,Mouse,Rat | WB, IHC, ELISA |
| CSB-PA006170 | ITGB1 Antibody | Human,Mouse,Rat | WB, ELISA |
| CSB-PA011263 | Phospho-ITGB1 (Y795) Antibody | Human,Mouse,Rat | WB, ELISA |
| CSB-PA011264 | Phospho-ITGB1 (T789) Antibody | Human,Mouse,Rat | WB, IHC, IF, ELISA |
| CSB-PA011265 | ITGB1 Antibody | Human,Mouse,Rat | WB, ELISA |
| CSB-PA011266 | ITGB1 Antibody | Human,Mouse,Rat | WB, IHC, IF, ELISA |
| CSB-PA011267 | ITGB1 Antibody | Human,Mouse,Rat,Monkey | WB, ELISA |
| CSB-PA245433 | ITGB1 Antibody | Human,Mouse,Rat | ELISA,WB,IHC |
| CSB-PA173238 | ITGB1 Antibody | Human,Mouse,Rat | ELISA,WB,IHC |
| CSB-RA011880A0HU | ITGB1 Recombinant Monoclonal Antibody | Human | ELISA, WB, IHC, IF, FC |
ITGB1 for Mus musculus (Mouse)
| 產品貨號 | 產品名稱 | 種屬反應性 | 應用類型 |
|---|---|---|---|
| CSB-PA011880LA01MO | Itgb1 Antibody | Mouse, Human | ELISA, WB, IF |
ITGB1 Proteins
ITGB1 Proteins for Rattus norvegicus (Rat)
| 產品貨號 | 產品名稱 | 來源 |
|---|---|---|
| CSB-YP011880RA CSB-BP011880RA CSB-MP011880RA CSB-EP011880RA-B |
Recombinant Rat Integrin beta-1 (Itgb1), partial | Yeast Baculovirus Mammalian cell In Vivo Biotinylation in E.coli |
| CSB-EP011880RA | Recombinant Rat Integrin beta-1 (Itgb1), partial | E.coli |
| CSB-CF011880RA(A4) | Recombinant Rat Integrin beta-1 (Itgb1) | in vitro E.coli expression system |
ITGB1 Proteins for Felis catus (Cat) (Felis silvestris catus)
| 產品貨號 | 產品名稱 | 來源 |
|---|---|---|
| CSB-YP011880CA1 CSB-EP011880CA1 CSB-BP011880CA1 CSB-MP011880CA1 CSB-EP011880CA1-B |
Recombinant Cat Integrin beta-1 (ITGB1), partial | Yeast E.coli Baculovirus Mammalian cell In Vivo Biotinylation in E.coli |
| CSB-CF011880CA | Recombinant Cat Integrin beta-1 (ITGB1) | in vitro E.coli expression system |
ITGB1 Proteins for Bos taurus (Bovine)
| 產品貨號 | 產品名稱 | 來源 |
|---|---|---|
| CSB-YP011880BO1 CSB-EP011880BO1 CSB-BP011880BO1 CSB-MP011880BO1 CSB-EP011880BO1-B |
Recombinant Bovine Integrin beta-1 (ITGB1), partial | Yeast E.coli Baculovirus Mammalian cell In Vivo Biotinylation in E.coli |
| CSB-CF011880BO | Recombinant Bovine Integrin beta-1 (ITGB1) | in vitro E.coli expression system |
ITGB1 Proteins for Homo sapiens (Human)
| 產品貨號 | 產品名稱 | 來源 |
|---|---|---|
| CSB-YP011880HU1 CSB-EP011880HU1 CSB-BP011880HU1 CSB-MP011880HU1 CSB-EP011880HU1-B |
Recombinant Human Integrin beta-1 (ITGB1), partial | Yeast E.coli Baculovirus Mammalian cell In Vivo Biotinylation in E.coli |
| CSB-CF011880HU | Recombinant Human Integrin beta-1 (ITGB1) | in vitro E.coli expression system |
ITGB1 Proteins for Gallus gallus (Chicken)
| 產品貨號 | 產品名稱 | 來源 |
|---|---|---|
| CSB-YP011880CH1 CSB-EP011880CH1 CSB-BP011880CH1 CSB-MP011880CH1 CSB-EP011880CH1-B |
Recombinant Chicken Integrin beta-1 (ITGB1), partial | Yeast E.coli Baculovirus Mammalian cell In Vivo Biotinylation in E.coli |
| CSB-CF011880CH | Recombinant Chicken Integrin beta-1 (ITGB1) | in vitro E.coli expression system |
ITGB1 Proteins for Mus musculus (Mouse)
| 產品貨號 | 產品名稱 | 來源 |
|---|---|---|
| CSB-YP011880MO CSB-BP011880MO CSB-MP011880MO CSB-EP011880MO-B |
Recombinant Mouse Integrin beta-1 (Itgb1), partial | Yeast Baculovirus Mammalian cell In Vivo Biotinylation in E.coli |
| CSB-EP011880MO | Recombinant Mouse Integrin beta-1 (Itgb1), partial | E.coli |
| CSB-CF011880MO(A4) | Recombinant Mouse Integrin beta-1 (Itgb1) | in vitro E.coli expression system |
ITGB1 Proteins for Ovis aries (Sheep)
| 產品貨號 | 產品名稱 | 來源 |
|---|---|---|
| CSB-YP011880SH1 CSB-EP011880SH1 CSB-BP011880SH1 CSB-MP011880SH1 CSB-EP011880SH1-B |
Recombinant Sheep Integrin beta-1 (ITGB1), partial | Yeast E.coli Baculovirus Mammalian cell In Vivo Biotinylation in E.coli |
| CSB-CF011880SH | Recombinant Sheep Integrin beta-1 (ITGB1) | in vitro E.coli expression system |
ITGB1 Proteins for Camelus bactrianus (Bactrian camel)
| 產品貨號 | 產品名稱 | 來源 |
|---|---|---|
| CSB-YP011880CVZ1 CSB-EP011880CVZ1 CSB-BP011880CVZ1 CSB-MP011880CVZ1 CSB-EP011880CVZ1-B |
Recombinant Camelus bactrianus Integrin beta-1 (ITGB1), partial | Yeast E.coli Baculovirus Mammalian cell In Vivo Biotinylation in E.coli |
| CSB-CF011880CVZ | Recombinant Camelus bactrianus Integrin beta-1 (ITGB1) | in vitro E.coli expression system |
ITGB1 Proteins for Pongo abelii (Sumatran orangutan)
| 產品貨號 | 產品名稱 | 來源 |
|---|---|---|
| CSB-YP725405PYX1 CSB-EP725405PYX1 CSB-BP725405PYX1 CSB-MP725405PYX1 CSB-EP725405PYX1-B |
Recombinant Pongo abelii Integrin beta-1 (ITGB1), partial | Yeast E.coli Baculovirus Mammalian cell In Vivo Biotinylation in E.coli |
| CSB-CF725405PYX | Recombinant Pongo abelii Integrin beta-1 (ITGB1) | in vitro E.coli expression system |
ITGB1 Proteins for Sus scrofa (Pig)
| 產品貨號 | 產品名稱 | 來源 |
|---|---|---|
| CSB-YP884398PI CSB-BP884398PI CSB-MP884398PI CSB-EP884398PI-B |
Recombinant Pig Integrin beta-1 (ITGB1), partial | Yeast Baculovirus Mammalian cell In Vivo Biotinylation in E.coli |
| CSB-EP884398PI | Recombinant Pig Integrin beta-1 (ITGB1), partial | E.coli |
ITGB1 ELISA Kit
ITGB1 ELISA Kit for Homo sapiens (Human)
| 產品貨號 | 產品名稱 | 樣本類型 | 靈敏度 |
|---|---|---|---|
| CSB-EL011880HU | Human Integrin beta-1(ITGB1) ELISA kit | serum, plasma, tissue homogenates | 15.6 pg/mL |






