ITGA1
整合素α1(ITGA1)蛋白,全稱為整合素α1亞基,常被稱為CD49a或VLA-1,與β1亞基結合形成α1β1整合素受體。這一受體廣泛分布于成纖維細胞、免疫細胞及內皮細胞表面,通過識別細胞外基質中的膠原和層粘連蛋白,介導細胞與周圍環境的動態交互,調控組織重塑、炎癥反應和血管生成。在病理狀態下,α1β1整合素活性異常與多種纖維化疾病密切相關,例如特發性肺纖維化和肝纖維化中,其過度激活會加速膠原沉積,導致器官功能衰竭。此外,ITGA1在腫瘤微環境中通過增強癌細胞黏附和侵襲能力,與乳腺癌、黑色素瘤的轉移潛能相關聯。藥物研發領域,早期針對整合素家族的廣譜抑制劑因脫靶效應受限,近年轉向開發亞基特異性靶點。針對α1的小分子拮抗劑已在動物模型中顯示抑制纖維化進展的潛力,而單克隆抗體類藥物處于臨床前優化階段,未來或為抗纖維化及抗癌治療提供新策略。
熱銷產品
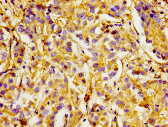
ITGA1 Antibody (CSB-PA011861LA01HU)
驗證數據
Immunohistochemistry of paraffin-embedded human liver cancer using CSB-PA011861LA01HU at dilution of 1:100
Immunofluorescence staining of HepG2 cells with CSB-PA011861LA01HU at 1:200, counter-stained with DAPI. The cells were fixed in 4% formaldehyde, permeabilized using 0.2% Triton X-100 and blocked in 10% normal Goat Serum. The cells were then incubated with the antibody overnight at 4°C. The secondary antibody was Alexa Fluor 488-congugated AffiniPure Goat Anti-Rabbit IgG(H+L).
Human Integrin alpha-1(ITGA1) ELISA kit (CSB-EL011861HU)
驗證數據
貨號:CSB-EL011861HU
規格:96T/48T
靈敏度:0.078 ng/mL
檢測范圍:0.312 ng/mL-20 ng/mL
These standard curves are provided for demonstration only. A standard curve should be generated for each set of samples assayed.
ITGA1 Antibodies
ITGA1 for Homo sapiens (Human)
| 產品貨號 | 產品名稱 | 種屬反應性 | 應用類型 |
|---|---|---|---|
| CSB-PA345531 | ITGA1 Antibody | Human | IHC,ELISA |
| CSB-PA011861LA01HU | ITGA1 Antibody | Human | ELISA, IHC, IF |
| CSB-PA011861LB01HU | ITGA1 Antibody, HRP conjugated | Human | ELISA |
| CSB-PA011861LC01HU | ITGA1 Antibody, FITC conjugated | Human | |
| CSB-PA011861LD01HU | ITGA1 Antibody, Biotin conjugated | Human | ELISA |
ITGA1 Proteins
ITGA1 Proteins for Rattus norvegicus (Rat)
| 產品貨號 | 產品名稱 | 來源 |
|---|---|---|
| CSB-YP011861RA CSB-EP011861RA CSB-BP011861RA CSB-MP011861RA CSB-EP011861RA-B |
Recombinant Rat Integrin alpha-1 (Itga1), partial | Yeast E.coli Baculovirus Mammalian cell In Vivo Biotinylation in E.coli |
ITGA1 Proteins for Homo sapiens (Human)
| 產品貨號 | 產品名稱 | 來源 |
|---|---|---|
| CSB-YP011861HU CSB-EP011861HU CSB-BP011861HU CSB-MP011861HU CSB-EP011861HU-B |
Recombinant Human Integrin alpha-1 (ITGA1), partial | Yeast E.coli Baculovirus Mammalian cell In Vivo Biotinylation in E.coli |
ITGA1 Proteins for Mus musculus (Mouse)
| 產品貨號 | 產品名稱 | 來源 |
|---|---|---|
| CSB-YP666304MO CSB-EP666304MO CSB-BP666304MO CSB-MP666304MO CSB-EP666304MO-B |
Recombinant Mouse Integrin alpha-1 (Itga1), partial | Yeast E.coli Baculovirus Mammalian cell In Vivo Biotinylation in E.coli |
ITGA1 Proteins for Gallus gallus (Chicken)
| 產品貨號 | 產品名稱 | 來源 |
|---|---|---|
| CSB-YP835455CH CSB-EP835455CH CSB-BP835455CH CSB-MP835455CH CSB-EP835455CH-B |
Recombinant Chicken Integrin alpha-1 (ITGA1) | Yeast E.coli Baculovirus Mammalian cell In Vivo Biotinylation in E.coli |
ITGA1 ELISA Kit
ITGA1 ELISA Kit for Homo sapiens (Human)
| 產品貨號 | 產品名稱 | 樣本類型 | 靈敏度 |
|---|---|---|---|
| CSB-EL011861HU | Human Integrin alpha-1(ITGA1) ELISA kit | serum, plasma, tissue homogenates | 0.078 ng/mL |






