IL7R
IL7R,即白細胞介素7受體,別名CD127。它是一種由IL7R基因編碼的蛋白質,屬于I型細胞因子受體家族,在多種免疫細胞表面表達,包括T細胞、B細胞和自然殺傷(NK)細胞。IL7R的作用機制涉及與其配體IL-7結合,激活JAK/STAT信號通路,促進免疫細胞的增殖、存活和分化。IL7R參與了免疫系統的發育和維持,特別是對T細胞亞群的調節作用。IL7R的表達水平在某些疾病中發生變化,如免疫缺陷病、癌癥和慢性感染,是免疫學研究和相關疾病治療中的一個潛在靶點。
熱銷產品
Recombinant Human Interleukin-7 receptor subunit alpha (IL7R), partial (CSB-EP011670HU1)
驗證數據
(Tris-Glycine gel) Discontinuous SDS-PAGE (reduced) with 5% enrichment gel and 15% separation gel.
IL7R Antibody (CSB-PA011670ESR1HU)
驗證數據
Western blot
All lanes: IL7R antibody at 4µg/ml
Lane 1: K562 whole cell lysate
Lane 2: Jurkat whole cell lysate
Secondary
Goat polyclonal to rabbit IgG at 1/10000 dilution
Predicted band size: 52, 35, 30, 29 kDa
Observed band size: 52 kDa
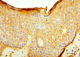
Immunohistochemistry of paraffin-embedded human skin tissue using CSB-PA011670ESR1HU at dilution of 1:100
Immunohistochemistry of paraffin-embedded human colon cancer using CSB-PA011670ESR1HU at dilution of 1:100
IL7R Antibodies
IL7R for Homo sapiens (Human)
| 產品貨號 | 產品名稱 | 種屬反應性 | 應用類型 |
|---|---|---|---|
| CSB-PA011670GA01HU | IL7R Antibody | Human,Mouse | ELISA,WB |
| CSB-PA011670ESR1HU | IL7R Antibody | Human | ELISA, WB, IHC |
| CSB-PA011670ESR2HU | IL7R Antibody | Human | ELISA, IHC |
| CSB-PA003034 | IL7R Antibody | Human,Mouse,Monkey | WB, ELISA |
| CSB-PA006261 | IL7R Antibody | Human | WB, ELISA |
| CSB-PA009561 | Phospho-IL7R (Y449) Antibody | Human,Mouse | WB, IF, ELISA |
| CSB-PA011670EA01HU | IL7R Antibody | Human | ELISA, IHC, IF |
| CSB-PA011670EB01HU | IL7R Antibody, HRP conjugated | Human | ELISA |
| CSB-PA011670EC01HU | IL7R Antibody, FITC conjugated | Human | |
| CSB-PA011670ED01HU | IL7R Antibody, Biotin conjugated | Human | ELISA |
IL7R Proteins
IL7R Proteins for Homo sapiens (Human)
| 產品貨號 | 產品名稱 | 來源 |
|---|---|---|
| CSB-YP011670HU1 CSB-BP011670HU1 CSB-MP011670HU1 CSB-EP011670HU1-B |
Recombinant Human Interleukin-7 receptor subunit alpha (IL7R), partial | Yeast Baculovirus Mammalian cell In Vivo Biotinylation in E.coli |
| CSB-CF011670HU | Recombinant Human Interleukin-7 receptor subunit alpha (IL7R) | in vitro E.coli expression system |
| CSB-EP011670HU1 | Recombinant Human Interleukin-7 receptor subunit alpha (IL7R), partial | E.coli |
IL7R Proteins for Mus musculus (Mouse)
| 產品貨號 | 產品名稱 | 來源 |
|---|---|---|
| CSB-YP011670MO | Recombinant Mouse Interleukin-7 receptor subunit alpha (Il7r), partial | Yeast |
| CSB-EP011670MO | Recombinant Mouse Interleukin-7 receptor subunit alpha (Il7r), partial | E.coli |
| CSB-BP011670MO | Recombinant Mouse Interleukin-7 receptor subunit alpha (Il7r), partial | Baculovirus |
| CSB-MP011670MO CSB-EP011670MO-B |
Recombinant Mouse Interleukin-7 receptor subunit alpha (Il7r), partial | Mammalian cell In Vivo Biotinylation in E.coli |
IL7R Proteins for Equus caballus (Horse)
| 產品貨號 | 產品名稱 | 來源 |
|---|---|---|
| CSB-YP011670HO1 CSB-EP011670HO1 CSB-BP011670HO1 CSB-MP011670HO1 CSB-EP011670HO1-B |
Recombinant Horse Interleukin-7 receptor subunit alpha (IL7R), partial | Yeast E.coli Baculovirus Mammalian cell In Vivo Biotinylation in E.coli |
| CSB-CF011670HO | Recombinant Horse Interleukin-7 receptor subunit alpha (IL7R) | in vitro E.coli expression system |
IL7R Proteins for Callithrix jacchus (White-tufted-ear marmoset)
| 產品貨號 | 產品名稱 | 來源 |
|---|---|---|
| CSB-YP011670CYL1 CSB-EP011670CYL1 CSB-BP011670CYL1 CSB-MP011670CYL1 CSB-EP011670CYL1-B |
Recombinant Callithrix jacchus Interleukin-7 receptor subunit alpha (IL7R), partial | Yeast E.coli Baculovirus Mammalian cell In Vivo Biotinylation in E.coli |
| CSB-CF011670CYL | Recombinant Callithrix jacchus Interleukin-7 receptor subunit alpha (IL7R) | in vitro E.coli expression system |
IL7R Proteins for Macaca fascicularis (Crab-eating macaque) (Cynomolgus monkey)
| 產品貨號 | 產品名稱 | 來源 |
|---|---|---|
| CSB-YP657827MOV CSB-EP657827MOV CSB-BP657827MOV CSB-MP657827MOV CSB-EP657827MOV-B |
Recombinant Macaca fascicularis Interleukin-7 receptor subunit alpha (IL7R), partial | Yeast E.coli Baculovirus Mammalian cell In Vivo Biotinylation in E.coli |
IL7R ELISA Kit
IL7R ELISA Kit for Homo sapiens (Human)
| 產品貨號 | 產品名稱 | 樣本類型 | 靈敏度 |
|---|---|---|---|
| CSB-E14020h | Human Soluble Interleukin-7 Receptor,sIL-7R ELISA Kit | serum, plasma, tissue homogenates | 0.195 ng/mL |
IL7R ELISA Kit for Mus musculus (Mouse)
| 產品貨號 | 產品名稱 | 樣本類型 | 靈敏度 |
|---|---|---|---|
| CSB-EL011670MO | Mouse Interleukin-7 receptor subunit alpha(IL7R) ELISA kit | serum, plasma, tissue homogenates | 19.5 pg/ml |






