IL13
IL13,即白細胞介素-13(Interleukin-13),是一種由Th2型輔助T細胞產生的細胞因子。它在調節免疫反應中起著關鍵作用,特別是在過敏反應和抗寄生蟲免疫中。IL13通過與其特異性受體IL13Rα1和IL4Rα鏈結合,激活JAK-STAT信號通路,進而影響多種細胞類型的基因表達,包括B細胞、巨噬細胞和上皮細胞。這種信號傳導導致免疫細胞活化、增殖和分化,同時促進抗體的產生和炎癥反應的調節。IL13參與了多種生理和病理過程,包括過敏性疾病如哮喘和特應性皮炎的發展,以及抗寄生蟲感染的免疫應答。此外,IL13還可能在腫瘤微環境的調節和自身免疫性疾病中發揮作用,使其成為免疫學研究和治療策略開發的重要分子。
熱銷產品
Recombinant Human Interleukin-13 (IL13) (Active) (CSB-MP6408HU)
驗證數據
(Tris-Glycine gel) Discontinuous SDS-PAGE (reduced) with 5% enrichment gel and 15% separation gel.
Activity
The ED50 as determined by the dose-dependent stimulation of the proliferation of TF-1 cells is 2.045-6.215 ng/mL.
Recombinant?Dog Interleukin-13 (IL13) (Active) (CSB-MP868226DO)
驗證數據
(Tris-Glycine gel) Discontinuous SDS-PAGE (reduced) with 5% enrichment gel and 15% separation gel.
Activity
The ED50 as determined by the dose-dependent stimulation of the proliferation of TF-1 cells is 3.930-20.07 ng/mL.
IL13 Antibody (CSB-PA011590LA01HU)
驗證數據
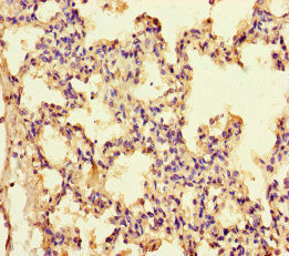
Immunohistochemistry of paraffin-embedded human lung tissue using CSB-PA011590LA01HU at dilution of 1:100
Immunofluorescent analysis of HepG2 cells using CSB-PA011590LA01HU at dilution of 1:100 and Alexa Fluor 488-congugated AffiniPure Goat Anti-Rabbit IgG(H+L)
Rat Interleukin 13,IL-13 ELISA KIT (CSB-E07454r)
驗證數據
貨號:CSB-E07454r
規格:96T/48T
靈敏度:1.95 pg/mL
檢測范圍:7.8 pg/mL-500 pg/mL
These standard curves are provided for demonstration only. A standard curve should be generated for each set of samples assayed.
IL13 Antibodies
IL13 for Homo sapiens (Human)
| 產品貨號 | 產品名稱 | 種屬反應性 | 應用類型 |
|---|---|---|---|
| CSB-PA011590KA01HU | IL13 Antibody | Human,Mouse,Rat | ELISA,WB,IHC |
| CSB-PA011590LA01HU | IL13 Antibody | Human | ELISA, IHC, IF |
| CSB-PA011590LB01HU | IL13 Antibody, HRP conjugated | Human | ELISA |
| CSB-PA011590LC01HU | IL13 Antibody, FITC conjugated | Human | |
| CSB-PA011590LD01HU | IL13 Antibody, Biotin conjugated | Human | ELISA |
IL13 Proteins
IL13 Proteins for Mus musculus (Mouse)
| 產品貨號 | 產品名稱 | 來源 |
|---|---|---|
| CSB-BP011590MO CSB-EP011590MO-B |
Recombinant Mouse Interleukin-13 (Il13) | Baculovirus In Vivo Biotinylation in E.coli |
| CSB-AP003371MO | Recombinant Mouse Interleukin-13 protein (Il13), partial (Active) | E.Coli |
| CSB-AP004741MO | Recombinant Mouse Interleukin-13 (Il13) (Active) | E.coli |
| CSB-AP004751MO | Recombinant Mouse Interleukin-13 (Il13), partial (Active) | Mammalian cell |
| CSB-AP004761MO | Recombinant Mouse Interleukin-13 (Il13), partial (Active) | Mammalian cell |
| CSB-AP004771MO | Recombinant Mouse Interleukin-13 (Il13), partial (Active) | E.coli |
IL13 Proteins for Rattus norvegicus (Rat)
| 產品貨號 | 產品名稱 | 來源 |
|---|---|---|
| CSB-YP011590RA CSB-EP011590RA CSB-BP011590RA CSB-MP011590RA CSB-EP011590RA-B |
Recombinant Rat Interleukin-13 (Il13) | Yeast E.coli Baculovirus Mammalian cell In Vivo Biotinylation in E.coli |
IL13 Proteins for Homo sapiens (Human)
| 產品貨號 | 產品名稱 | 來源 |
|---|---|---|
| CSB-BP011590HU CSB-EP011590HU-B |
Recombinant Human Interleukin-13 (IL13) | Baculovirus In Vivo Biotinylation in E.coli |
| CSB-AP001821HU | Recombinant Human Interleukin-13 protein (IL13)(R144Q), partial (Active) | E.Coli |
| CSB-AP001831HU | Recombinant Human Interleukin-13 protein (IL13), partial (Active) | E.Coli |
| CSB-AP004321HU | Recombinant Human Interleukin-13 (IL13) (Active) | Mammalian cell |
| CSB-MP011590HU1 | Recombinant Human Interleukin-13 (IL13), partial | Mammalian cell |
| CSB-MP011590HU | Recombinant Human Interleukin-13 (IL13) | Mammalian cell |
| CSB-EP011590HU | Recombinant Human Interleukin-13 (IL13) | E.coli |
| CSB-MP011590HU-WD | Recombinant Human Interleukin-13 (IL13),Partial (Active) | Mammalian cell |
| CSB-YP011590HU | Recombinant Human Interleukin-13 (IL13) | Yeast |
| CSB-EP011590HUc7 | Recombinant Human Interleukin-13 (IL13) | E.coli |
IL13 Proteins for Pan troglodytes (Chimpanzee)
| 產品貨號 | 產品名稱 | 來源 |
|---|---|---|
| CSB-YP011590EQV CSB-EP011590EQV CSB-BP011590EQV CSB-MP011590EQV CSB-EP011590EQV-B |
Recombinant Pan troglodytes Interleukin-13 (IL13) | Yeast E.coli Baculovirus Mammalian cell In Vivo Biotinylation in E.coli |
IL13 Proteins for Macaca thibetana (Pere David's macaque) (Tibetan macaque)
| 產品貨號 | 產品名稱 | 來源 |
|---|---|---|
| CSB-YP689267MDAO CSB-EP689267MDAO CSB-BP689267MDAO CSB-MP689267MDAO CSB-EP689267MDAO-B |
Recombinant Macaca thibetana Interleukin-13 (IL13) | Yeast E.coli Baculovirus Mammalian cell In Vivo Biotinylation in E.coli |
IL13 Proteins for Lama glama (Llama)
| 產品貨號 | 產品名稱 | 來源 |
|---|---|---|
| CSB-YP771278LBS CSB-EP771278LBS CSB-BP771278LBS CSB-MP771278LBS CSB-EP771278LBS-B |
Recombinant Lama glama Interleukin-13 (IL13) | Yeast E.coli Baculovirus Mammalian cell In Vivo Biotinylation in E.coli |
IL13 Proteins for Macaca mulatta (Rhesus macaque)
| 產品貨號 | 產品名稱 | 來源 |
|---|---|---|
| CSB-YP803033MOW CSB-EP803033MOW CSB-BP803033MOW CSB-MP803033MOW CSB-EP803033MOW-B |
Recombinant Macaca mulatta Interleukin-13 (IL13) | Yeast E.coli Baculovirus Mammalian cell In Vivo Biotinylation in E.coli |
| CSB-AP003181MOW | Recombinant Rhesus Macaque Interleukin-13 protein (IL13) | E.Coli |
IL13 Proteins for Camelus bactrianus (Bactrian camel)
| 產品貨號 | 產品名稱 | 來源 |
|---|---|---|
| CSB-YP803039CVZ CSB-EP803039CVZ CSB-BP803039CVZ CSB-MP803039CVZ CSB-EP803039CVZ-B |
Recombinant Camelus bactrianus Interleukin-13 (IL13) | Yeast E.coli Baculovirus Mammalian cell In Vivo Biotinylation in E.coli |
IL13 Proteins for Sus scrofa (Pig)
| 產品貨號 | 產品名稱 | 來源 |
|---|---|---|
| CSB-YP846485PI CSB-EP846485PI CSB-BP846485PI CSB-MP846485PI CSB-EP846485PI-B |
Recombinant Pig Interleukin-13 (IL13) | Yeast E.coli Baculovirus Mammalian cell In Vivo Biotinylation in E.coli |
IL13 Proteins for Canis familiaris (Dog) (Canis lupus familiaris)
| 產品貨號 | 產品名稱 | 來源 |
|---|---|---|
| CSB-BP868226DO CSB-EP868226DO-B |
Recombinant Dog Interleukin-13 (IL13) | Baculovirus In Vivo Biotinylation in E.coli |
IL13 Proteins for Bos taurus (Bovine)
| 產品貨號 | 產品名稱 | 來源 |
|---|---|---|
| CSB-YP893609BO CSB-EP893609BO CSB-BP893609BO CSB-MP893609BO CSB-EP893609BO-B |
Recombinant Bovine Interleukin-13 (IL13) | Yeast E.coli Baculovirus Mammalian cell In Vivo Biotinylation in E.coli |
IL13 ELISA Kit
IL13 ELISA Kit for Canis lupus familiaris (Dog) (Canis familiaris)
| 產品貨號 | 產品名稱 | 樣本類型 | 靈敏度 |
|---|---|---|---|
| CSB-EL011590DO | Dog Interleukin-13(IL13) ELISA kit | serum, plasma, tissue homogenates | 3.12 pg/mL |
IL13 ELISA Kit for Mus musculus (Mouse)
| 產品貨號 | 產品名稱 | 樣本類型 | 靈敏度 |
|---|---|---|---|
| CSB-E04602m | Mouse Interleukin 13,IL-13 ELISA Kit | serum, plasma, tissue homogenates | 19.5 pg/ml |
IL13 ELISA Kit for Rattus norvegicus (Rat)
| 產品貨號 | 產品名稱 | 樣本類型 | 靈敏度 |
|---|---|---|---|
| CSB-E07454r | Rat Interleukin 13,IL-13 ELISA KIT | serum, plasma, cell culture supernates, tissue homogenates | 1.95 pg/mL |
IL13 ELISA Kit for Homo sapiens (Human)
| 產品貨號 | 產品名稱 | 樣本類型 | 靈敏度 |
|---|---|---|---|
| CSB-E04601h | Human Interleukin 13,IL-13 ELISA KIT | serum, plasma, tissue homogenates | 0.09 ng/ml |
| CSB-E04601h-IS | Human Interleukin 13,IL-13 ELISA KIT | serum, plasma, tissue homogenates, cell culture supernates | 0.78 pg/mL |






