IL12A
IL12A,即白介素12A,別名NKSF1、IL-12p35等。它是一種由IL12A基因編碼的細胞因子,是白介素12(IL-12)的α亞單位,與p40亞單位(由IL12B基因編碼)共同構成具有生物活性的IL-12異源二聚體。IL12A在多種細胞中表達,包括單核細胞、巨噬細胞和樹突狀細胞等。其作用機制主要是通過與IL-12受體結合,激活JAK-STAT信號通路,特別是通過促進STAT4的磷酸化,從而促進T細胞向Th1細胞分化,增強細胞介導的免疫反應。IL12A在生物學上的意義主要體現在其對免疫系統的調節作用。它能夠促進Th1細胞的發育和活化,提高NK細胞和T細胞的細胞毒性,從而在抵抗細胞內病原體和腫瘤細胞中發揮重要作用。此外,IL12A還參與調節炎癥反應和自身免疫疾病的過程。由于其在免疫應答中的關鍵作用,IL12A也被認為是開發免疫調節治療藥物的重要靶點。
熱銷產品
Recombinant Human Interleukin-12 subunit alpha (IL12A) (CSB-EP011586HU)
驗證數據
(Tris-Glycine gel) Discontinuous SDS-PAGE (reduced) with 5% enrichment gel and 15% separation gel.
IL12A Antibody (CSB-PA16819A0Rb)
驗證數據
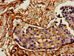
Immunohistochemistry of paraffin-embedded human breast cancer using CSB-PA16819A0Rb at dilution of 1:100
Immunohistochemistry of paraffin-embedded human endometrial cancer using CSB-PA16819A0Rb at dilution of 1:100
IL12A Antibodies
IL12A for Homo sapiens (Human)
| 產品貨號 | 產品名稱 | 種屬反應性 | 應用類型 |
|---|---|---|---|
| CSB-PA004736 | IL12A Antibody | Human | WB, ELISA |
| CSB-PA005776 | IL12A Antibody | Human | WB, ELISA |
| CSB-PA009581 | IL12A Antibody | Human, Mouse, Rat | WB, IHC, ICC, ELISA |
| CSB-PA877335 | IL12A Antibody | Human | ELISA,IHC |
| CSB-PA16819A0Rb | IL12A Antibody | Human | ELISA, IHC |
| CSB-PA16819B0Rb | IL12A Antibody, HRP conjugated | Human | ELISA |
| CSB-PA16819C0Rb | IL12A Antibody, FITC conjugated | Human | |
| CSB-PA16819D0Rb | IL12A Antibody, Biotin conjugated | Human | ELISA |
IL12A Proteins
IL12A Proteins for Mus musculus (Mouse)
| 產品貨號 | 產品名稱 | 來源 |
|---|---|---|
| CSB-YP011586MO CSB-EP011586MO CSB-BP011586MO CSB-MP011586MO CSB-EP011586MO-B |
Recombinant Mouse Interleukin-12 subunit alpha (Il12a) | Yeast E.coli Baculovirus Mammalian cell In Vivo Biotinylation in E.coli |
IL12A Proteins for Homo sapiens (Human)
| 產品貨號 | 產品名稱 | 來源 |
|---|---|---|
| CSB-YP011586HU CSB-BP011586HU CSB-MP011586HU CSB-EP011586HU-B |
Recombinant Human Interleukin-12 subunit alpha (IL12A) | Yeast Baculovirus Mammalian cell In Vivo Biotinylation in E.coli |
| CSB-AP001811HU | Recombinant Human IL12B&IL12A Heterodimer Protein (Active) | Baculovirus |
| CSB-EP011586HU | Recombinant Human Interleukin-12 subunit alpha (IL12A) | E.coli |
IL12A Proteins for Macaca mulatta (Rhesus macaque)
| 產品貨號 | 產品名稱 | 來源 |
|---|---|---|
| CSB-YP011586MOW CSB-EP011586MOW CSB-BP011586MOW CSB-MP011586MOW CSB-EP011586MOW-B |
Recombinant Macaca mulatta (Rhesus macaque) Interleukin-12 subunit alpha (IL12A) | Yeast E.coli Baculovirus Mammalian cell In Vivo Biotinylation in E.coli |
IL12A Proteins for Bos taurus (Bovine)
| 產品貨號 | 產品名稱 | 來源 |
|---|---|---|
| CSB-YP011586BO CSB-EP011586BO CSB-BP011586BO CSB-MP011586BO CSB-EP011586BO-B |
Recombinant Bovine Interleukin-12 subunit alpha (IL12A) | Yeast E.coli Baculovirus Mammalian cell In Vivo Biotinylation in E.coli |
IL12A Proteins for Capra hircus (Goat)
| 產品貨號 | 產品名稱 | 來源 |
|---|---|---|
| CSB-YP011586GO CSB-EP011586GO CSB-BP011586GO CSB-MP011586GO CSB-EP011586GO-B |
Recombinant Goat Interleukin-12 subunit alpha (IL12A) | Yeast E.coli Baculovirus Mammalian cell In Vivo Biotinylation in E.coli |
IL12A Proteins for Felis catus (Cat) (Felis silvestris catus)
| 產品貨號 | 產品名稱 | 來源 |
|---|---|---|
| CSB-YP011586CA CSB-EP011586CA CSB-BP011586CA CSB-MP011586CA CSB-EP011586CA-B |
Recombinant Cat Interleukin-12 subunit alpha (IL12A) | Yeast E.coli Baculovirus Mammalian cell In Vivo Biotinylation in E.coli |
IL12A Proteins for Cercocebus atys (Sooty mangabey) (Cercocebus torquatus atys)
| 產品貨號 | 產品名稱 | 來源 |
|---|---|---|
| CSB-YP011586DRI CSB-EP011586DRI CSB-BP011586DRI CSB-MP011586DRI CSB-EP011586DRI-B |
Recombinant Cercocebus atys Interleukin-12 subunit alpha (IL12A) | Yeast E.coli Baculovirus Mammalian cell In Vivo Biotinylation in E.coli |
IL12A Proteins for Canis familiaris (Dog) (Canis lupus familiaris)
| 產品貨號 | 產品名稱 | 來源 |
|---|---|---|
| CSB-YP634664DO CSB-EP634664DO CSB-BP634664DO CSB-MP634664DO CSB-EP634664DO-B |
Recombinant Dog Interleukin-12 subunit alpha (IL12A) | Yeast E.coli Baculovirus Mammalian cell In Vivo Biotinylation in E.coli |
IL12A Proteins for Cervus elaphus (Red deer)
| 產品貨號 | 產品名稱 | 來源 |
|---|---|---|
| CSB-YP637895DRN CSB-EP637895DRN CSB-BP637895DRN CSB-MP637895DRN CSB-EP637895DRN-B |
Recombinant Cervus elaphus Interleukin-12 subunit alpha (IL12A) | Yeast E.coli Baculovirus Mammalian cell In Vivo Biotinylation in E.coli |
IL12A Proteins for Sus scrofa (Pig)
| 產品貨號 | 產品名稱 | 來源 |
|---|---|---|
| CSB-YP641818PI CSB-EP641818PI CSB-BP641818PI CSB-MP641818PI CSB-EP641818PI-B |
Recombinant Pig Interleukin-12 subunit alpha (IL12A) | Yeast E.coli Baculovirus Mammalian cell In Vivo Biotinylation in E.coli |
IL12A Proteins for Bubalus carabanensis (Swamp type water buffalo) (Bubalus bubalis carabanensis)
| 產品貨號 | 產品名稱 | 來源 |
|---|---|---|
| CSB-YP647676BAAW CSB-EP647676BAAW CSB-BP647676BAAW CSB-MP647676BAAW CSB-EP647676BAAW-B |
Recombinant Bubalus carabanensis Interleukin-12 subunit alpha (IL12A) | Yeast E.coli Baculovirus Mammalian cell In Vivo Biotinylation in E.coli |
IL12A Proteins for Marmota monax (Woodchuck)
| 產品貨號 | 產品名稱 | 來源 |
|---|---|---|
| CSB-YP737042MQG CSB-EP737042MQG CSB-BP737042MQG CSB-MP737042MQG CSB-EP737042MQG-B |
Recombinant Marmota monax Interleukin-12 subunit alpha (IL12A) | Yeast E.coli Baculovirus Mammalian cell In Vivo Biotinylation in E.coli |
IL12A Proteins for Papio anubis (Olive baboon)
| 產品貨號 | 產品名稱 | 來源 |
|---|---|---|
| CSB-YP772950ERI CSB-EP772950ERI CSB-BP772950ERI CSB-MP772950ERI CSB-EP772950ERI-B |
Recombinant Papio anubis Interleukin-12 subunit alpha (IL12A) | Yeast E.coli Baculovirus Mammalian cell In Vivo Biotinylation in E.coli |
IL12A Proteins for Lama glama (Llama)
| 產品貨號 | 產品名稱 | 來源 |
|---|---|---|
| CSB-YP774724LBS CSB-EP774724LBS CSB-BP774724LBS CSB-MP774724LBS CSB-EP774724LBS-B |
Recombinant Lama glama Interleukin-12 subunit alpha (IL12A) | Yeast E.coli Baculovirus Mammalian cell In Vivo Biotinylation in E.coli |
IL12A Proteins for Sigmodon hispidus (Hispid cotton rat)
| 產品貨號 | 產品名稱 | 來源 |
|---|---|---|
| CSB-YP846014SZK CSB-EP846014SZK CSB-BP846014SZK CSB-MP846014SZK CSB-EP846014SZK-B |
Recombinant Sigmodon hispidus Interleukin-12 subunit alpha (IL12A) | Yeast E.coli Baculovirus Mammalian cell In Vivo Biotinylation in E.coli |
IL12A Proteins for Rattus norvegicus (Rat)
| 產品貨號 | 產品名稱 | 來源 |
|---|---|---|
| CSB-YP874169RA CSB-EP874169RA CSB-BP874169RA CSB-MP874169RA CSB-EP874169RA-B |
Recombinant Rat Interleukin-12 subunit alpha (Il12a) | Yeast E.coli Baculovirus Mammalian cell In Vivo Biotinylation in E.coli |
IL12A Proteins for Ovis aries (Sheep)
| 產品貨號 | 產品名稱 | 來源 |
|---|---|---|
| CSB-YP890596SH CSB-EP890596SH CSB-BP890596SH CSB-MP890596SH CSB-EP890596SH-B |
Recombinant Sheep Interleukin-12 subunit alpha (IL12A) | Yeast E.coli Baculovirus Mammalian cell In Vivo Biotinylation in E.coli |
IL12A Proteins for Equus caballus (Horse)
| 產品貨號 | 產品名稱 | 來源 |
|---|---|---|
| CSB-YP896427HO CSB-EP896427HO CSB-BP896427HO CSB-MP896427HO CSB-EP896427HO-B |
Recombinant Horse Interleukin-12 subunit alpha (IL12A) | Yeast E.coli Baculovirus Mammalian cell In Vivo Biotinylation in E.coli |
IL12A ELISA Kit
IL12A ELISA Kit for Bos taurus (Bovine)
| 產品貨號 | 產品名稱 | 樣本類型 | 靈敏度 |
|---|---|---|---|
| CSB-E14010B | Bovine Interleukin 12,IL-12 ELISA Kit | serum, plasma, tissue homogenates | 1.56 pg/mL |
IL12A ELISA Kit for Sus scrofa (Pig)
| 產品貨號 | 產品名稱 | 樣本類型 | 靈敏度 |
|---|---|---|---|
| CSB-E13288p | Pig Interleukin 12,IL-12/P70 ELISA Kit | serum, plasma, cell culture supernates, tissue homogenates | 0.11 ng/mL |






