HTT
HTT,全稱為亨廷頓蛋白,是一種廣泛表達于人體各器官的蛋白質,尤其在腦部中起重要作用。該蛋白的正常功能尚未完全明確,但研究表明其可能參與神經系統發育、細胞內吞和分泌以及抑制細胞凋亡等過程。HTT蛋白的異常變異會導致亨廷頓舞蹈癥,這是一種遺傳性神經退行性疾病,其特征是機體運動和認知功能的進行性障礙或紊亂。亨廷頓舞蹈癥由HTT基因第一個外顯子CAG序列的重復擴增引起,導致亨廷頓蛋白的多聚谷氨酰胺束延長,從而引發蛋白質聚集和神經變性。
針對亨廷頓舞蹈癥的藥物研發主要集中在抑制HTT蛋白的聚集和改善神經元功能等方面,例如輝大基因開發的基于Cas12Max的基因編輯療法,旨在降低HTT蛋白的表達水平,從而緩解疾病癥狀。此外,抗亨廷頓蛋白抗體和RNA干擾技術也被探索用于治療亨廷頓舞蹈癥。盡管目前尚無根治方法,但這些研究進展為未來治療提供了新的希望。
熱銷產品
HTT Recombinant Monoclonal Antibody (CSB-RA802195A0HU)
驗證數據
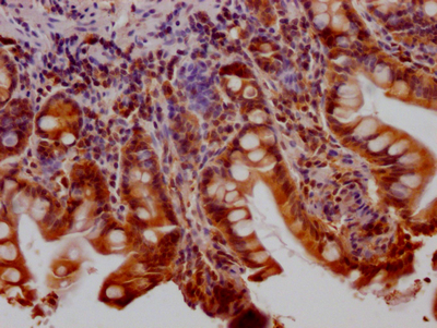
IHC image of CSB-RA802195A0HU diluted at 1:100 and staining in paraffin-embedded human small intestine tissue performed on a Leica BondTM system. After dewaxing and hydration, antigen retrieval was mediated by high pressure in a citrate buffer (pH 6.0). Section was blocked with 10% normal goat serum 30min at RT. Then primary antibody (1% BSA) was incubated at 4℃ overnight. The primary is detected by a Goat anti-rabbit IgG polymer labeled by HRP and visualized using 0.05% DAB.
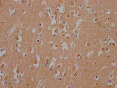
IHC image of CSB-RA802195A0HU diluted at 1:100 and staining in paraffin-embedded human brain tissue performed on a Leica BondTM system. After dewaxing and hydration, antigen retrieval was mediated by high pressure in a citrate buffer (pH 6.0). Section was blocked with 10% normal goat serum 30min at RT. Then primary antibody (1% BSA) was incubated at 4℃ overnight. The primary is detected by a Goat anti-rabbit IgG polymer labeled by HRP and visualized using 0.05% DAB.
Human Huntingtin(HTT) ELISA kit (CSB-EL010905HU)
驗證數據
貨號:CSB-EL010905HU
規格:96T/48T
靈敏度:3.125 pg/mL
檢測范圍:12.5 pg/mL-800 pg/mL
These standard curves are provided for demonstration only. A standard curve should be generated for each set of samples assayed.
HTT Antibodies
HTT for Homo sapiens (Human)
| 產品貨號 | 產品名稱 | 種屬反應性 | 應用類型 |
|---|---|---|---|
| CSB-PA009169 | Phospho-HTT (S421) Antibody | Human,Mouse,Rat | IHC, ELISA |
| CSB-PA009170 | HTT Antibody | Human,Mouse,Rat | IHC, ELISA |
| CSB-RA802195A0HU | HTT Recombinant Monoclonal Antibody | Human | ELISA, IHC |
HTT Proteins
HTT Proteins for Homo sapiens (Human)
| 產品貨號 | 產品名稱 | 來源 |
|---|---|---|
| CSB-YP010905HU CSB-EP010905HU CSB-BP010905HU CSB-MP010905HU CSB-EP010905HU-B |
Recombinant Human Huntingtin (HTT), partial | Yeast E.coli Baculovirus Mammalian cell In Vivo Biotinylation in E.coli |
HTT ELISA Kit
HTT ELISA Kit for Homo sapiens (Human)
| 產品貨號 | 產品名稱 | 樣本類型 | 靈敏度 |
|---|---|---|---|
| CSB-EL010905HU | Human Huntingtin(HTT) ELISA kit | serum, plasma, tissue homogenates | 3.125 pg/mL |






