HSPA1L
HSPA1L,全稱為熱休克蛋白家族A (Hsp70) 成員1 樣,是一種在人體內由染色體6上的HSPA1L基因編碼的蛋白質。該蛋白與HSPA1A和HSPA1B具有高度的同源性,但它們在調節功能上存在差異,且不具備可熱誘導的特性。HSPA1L蛋白在細胞內發揮著重要的分子伴侶作用,它能夠穩定其他蛋白質的結構,防止其聚集,并促進新合成的蛋白質在細胞質溶膠和細胞器中的正確折疊。這種功能對于維持細胞的正常生理活動至關重要,尤其是在細胞受到壓力或損傷時。研究表明,HSPA1L蛋白的表達水平在多種疾病中發生改變,包括癌癥、神經退行性疾病和感染性疾病。因此,HSPA1L蛋白成為了疾病診斷和治療的重要靶點。目前,針對HSPA1L蛋白的藥物研發主要集中在癌癥治療領域,例如,開發能夠特異性結合HSPA1L蛋白的小分子抑制劑或抗體,以抑制其功能或調節其表達水平,從而達到抑制腫瘤生長或增強腫瘤免疫反應的目的。此外,HSPA1L蛋白也被研究用于其他疾病的治療,例如,神經退行性疾病和感染性疾病。
熱銷產品
HSPA1L Antibody (CSB-PA010823HA01HU)
驗證數據
Western Blot
Positive WB detected in: HepG2 whole cell lysate, Jurkat whole cell lysate, L02 whole cell lysate, 293 whole cell lysate, Raji whole cell lysate
All lanes: HSPA1L antibody at 1:2000
Secondary
Goat polyclonal to rabbit IgG at 1/50000 dilution
Predicted band size: 71 kDa
Observed band size: 71 kDa
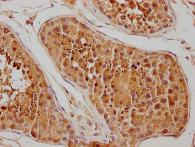
IHC image of CSB-PA010823HA01HU diluted at 1:100 and staining in paraffin-embedded human testis tissue performed on a Leica BondTM system. After dewaxing and hydration, antigen retrieval was mediated by high pressure in a citrate buffer (pH 6.0). Section was blocked with 10% normal goat serum 30min at RT. Then primary antibody (1% BSA) was incubated at 4°C overnight. The primary is detected by a biotinylated secondary antibody and visualized using an HRP conjugated SP system.
Immunofluorescence staining of HepG2 cells with CSB-PA010823HA01HU at 1:100, counter-stained with DAPI. The cells were fixed in 4% formaldehyde, permeabilized using 0.2% Triton X-100 and blocked in 10% normal Goat Serum. The cells were then incubated with the antibody overnight at 4°C. The secondary antibody was Alexa Fluor 488-congugated AffiniPure Goat Anti-Rabbit IgG(H+L).
HSPA1L Antibodies
HSPA1L for Homo sapiens (Human)
| 產品貨號 | 產品名稱 | 種屬反應性 | 應用類型 |
|---|---|---|---|
| CSB-PA010823GA01HU | HSPA1L Antibody | Human,Mouse,Rat | ELISA,WB,IHC,IF |
| CSB-PA010823HA01HU | HSPA1L Antibody | Human | ELISA, WB, IHC, IF |
| CSB-PA010823HB01HU | HSPA1L Antibody, HRP conjugated | Human | ELISA |
| CSB-PA010823HC01HU | HSPA1L Antibody, FITC conjugated | Human | |
| CSB-PA010823HD01HU | HSPA1L Antibody, Biotin conjugated | Human | ELISA |
HSPA1L Proteins
HSPA1L Proteins for Bos taurus (Bovine)
| 產品貨號 | 產品名稱 | 來源 |
|---|---|---|
| CSB-YP010823BO CSB-EP010823BO CSB-BP010823BO CSB-MP010823BO CSB-EP010823BO-B |
Recombinant Bovine Heat shock 70 kDa protein 1-like (HSPA1L), partial | Yeast E.coli Baculovirus Mammalian cell In Vivo Biotinylation in E.coli |
HSPA1L Proteins for Mus musculus (Mouse)
| 產品貨號 | 產品名稱 | 來源 |
|---|---|---|
| CSB-BP010823MO CSB-MP010823MO CSB-EP010823MO-B |
Recombinant Mouse Heat shock 70 kDa protein 1-like (Hspa1l) | Baculovirus Mammalian cell In Vivo Biotinylation in E.coli |
HSPA1L Proteins for Homo sapiens (Human)
| 產品貨號 | 產品名稱 | 來源 |
|---|---|---|
| CSB-YP010823HU CSB-EP010823HU CSB-BP010823HU CSB-MP010823HU CSB-EP010823HU-B |
Recombinant Human Heat shock 70 kDa protein 1-like (HSPA1L) | Yeast E.coli Baculovirus Mammalian cell In Vivo Biotinylation in E.coli |
HSPA1L Proteins for Rattus norvegicus (Rat)
| 產品貨號 | 產品名稱 | 來源 |
|---|---|---|
| CSB-YP010823RA CSB-EP010823RA CSB-BP010823RA CSB-MP010823RA CSB-EP010823RA-B |
Recombinant Rat Heat shock 70 kDa protein 1-like (Hspa1l) | Yeast E.coli Baculovirus Mammalian cell In Vivo Biotinylation in E.coli |
HSPA1L Proteins for Sus scrofa (Pig)
| 產品貨號 | 產品名稱 | 來源 |
|---|---|---|
| CSB-YP010823PI CSB-EP010823PI CSB-BP010823PI CSB-MP010823PI CSB-EP010823PI-B |
Recombinant Pig Heat shock 70 kDa protein 1-like (HSPA1L), partial | Yeast E.coli Baculovirus Mammalian cell In Vivo Biotinylation in E.coli |
HSPA1L Proteins for Mesocricetus auratus (Golden hamster)
| 產品貨號 | 產品名稱 | 來源 |
|---|---|---|
| CSB-YP010823MRG CSB-EP010823MRG CSB-BP010823MRG CSB-MP010823MRG CSB-EP010823MRG-B |
Recombinant Mesocricetus auratus Heat shock 70 kDa protein 1-like (HSPA1L) | Yeast E.coli Baculovirus Mammalian cell In Vivo Biotinylation in E.coli |
HSPA1L Proteins for Macaca fascicularis (Crab-eating macaque) (Cynomolgus monkey)
| 產品貨號 | 產品名稱 | 來源 |
|---|---|---|
| CSB-YP703139MOV CSB-EP703139MOV CSB-BP703139MOV CSB-MP703139MOV CSB-EP703139MOV-B |
Recombinant Macaca fascicularis Heat shock 70 kDa protein 1-like (HSPA1L), partial | Yeast E.coli Baculovirus Mammalian cell In Vivo Biotinylation in E.coli |






