HOXD9
HOXD9,全稱為Homeobox D9,常見別名包括Hoxd9、hox4c。該蛋白參與多種生物學過程,包括細胞分化、增殖和遷移,對肢體發育、骨骼形成和神經系統發育至關重要。研究表明,HOXD9的異常表達與多種疾病相關,如癌癥。在白血病和實體瘤中,HOXD9的過表達可能促進腫瘤生長和轉移。此外,HOXD9的表達降低可能影響正常發育過程,導致發育缺陷。HOXD9與其他HOX蛋白的相互作用復雜,共同調控細胞命運和組織穩態。目前,針對HOXD9的藥物研發正在積極進行中,旨在開發針對相關疾病的治療藥物。
熱銷產品
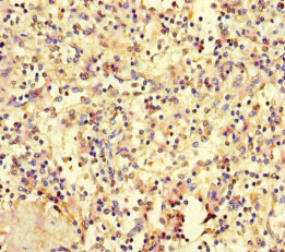
HOXD9 Antibody (CSB-PA010689LA01HU)
驗證數據
Immunohistochemistry of paraffin-embedded human spleen tissue using CSB-PA010689LA01HU at dilution of 1:100
Western Blot
Positive WB detected in: Mouse lung tissue
All lanes: HOXD9 antibody at 3.2μg/ml
Secondary
Goat polyclonal to rabbit IgG at 1/50000 dilution
Predicted band size: 37 kDa
Observed band size: 37 kDa
HOXD9 Antibodies
HOXD9 for Homo sapiens (Human)
| 產品貨號 | 產品名稱 | 種屬反應性 | 應用類型 |
|---|---|---|---|
| CSB-PA010689LA01HU | HOXD9 Antibody | Human, Mouse | ELISA, WB, IHC |
| CSB-PA010689LB01HU | HOXD9 Antibody, HRP conjugated | Human | ELISA |
| CSB-PA010689LC01HU | HOXD9 Antibody, FITC conjugated | Human | |
| CSB-PA010689LD01HU | HOXD9 Antibody, Biotin conjugated | Human | ELISA |
HOXD9 Proteins
HOXD9 Proteins for Homo sapiens (Human)
| 產品貨號 | 產品名稱 | 來源 |
|---|---|---|
| CSB-YP010689HU CSB-EP010689HU CSB-BP010689HU CSB-MP010689HU CSB-EP010689HU-B |
Recombinant Human Homeobox protein Hox-D9 (HOXD9) | Yeast E.coli Baculovirus Mammalian cell In Vivo Biotinylation in E.coli |






