HBE1
HBE1,即ε-珠蛋白基因,是一種編碼血紅蛋白ε鏈的基因。它位于人類第11號染色體上,是血紅蛋白基因簇的一部分。HBE1基因表達的ε鏈在早期胚胎發育中形成特殊的血紅蛋白,如Hb Gower 1和Hb Gower 2,這些血紅蛋白對胚胎的氧氣運輸和代謝具有重要作用。隨著胎兒的成長,ε鏈的表達逐漸被γ鏈(由HBG1和HBG2基因編碼)所取代,形成胎兒血紅蛋白HbF。HBE1基因的突變或異常表達與某些類型的地中海貧血癥有關,這種遺傳性疾病影響血紅蛋白的合成和功能。因此,HBE1在胚胎發育、氧氣運輸以及相關血液疾病的發生中具有重要的生物學意義。
熱銷產品
驗證數據
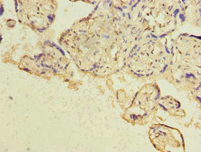
Immunohistochemistry of paraffin-embedded human placenta tissue using CSB-PA010153LA01HU at dilution of 1:100
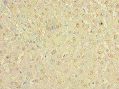
Immunohistochemistry of paraffin-embedded human liver tissue using CSB-PA010153LA01HU at dilution of 1:100
HBE1 Antibodies
HBE1 for Homo sapiens (Human)
| 產品貨號 | 產品名稱 | 種屬反應性 | 應用類型 |
|---|---|---|---|
| CSB-PA010153GA01HU | HBE1 Antibody | Human,Mouse,Rat | ELISA,WB |
| CSB-PA010153LA01HU | HBE1 Antibody | Human | ELISA, IHC |
| CSB-PA010153LD01HU | HBE1 Antibody, Biotin conjugated | Human | ELISA |
HBE1 Proteins
HBE1 Proteins for Homo sapiens (Human)
| 產品貨號 | 產品名稱 | 來源 |
|---|---|---|
| CSB-YP010153HU CSB-EP010153HU CSB-BP010153HU CSB-MP010153HU CSB-EP010153HU-B |
Recombinant Human Hemoglobin subunit epsilon (HBE1) | Yeast E.coli Baculovirus Mammalian cell In Vivo Biotinylation in E.coli |






