GUSB
GUSB全稱為β-葡糖苷酸酶(Beta-glucuronidase),又稱溶酶體β-葡糖醛酸酶,在糖胺聚糖代謝中起關鍵作用。GUSB通過水解硫酸乙酰肝素、硫酸皮膚素等糖鏈末端的葡糖醛酸殘基,維持細胞外基質穩態。若GUSB活性缺失,未降解的糖胺聚糖在溶酶體內異常蓄積,引發黏多糖貯積癥VII型(MPS VII,Sly綜合征),臨床表現為骨骼畸形、智力障礙及多器官損傷。GUSB異常表達與某些癌癥進展相關,其降解產物可能影響腫瘤微環境。目前針對MPS VII的酶替代療法藥物Vestronidase alfa(Mepsevii)已獲FDA批準,通過靜脈注射補充功能性β-葡糖苷酸酶。基因治療領域正探索利用腺相關病毒載體遞送正常GUSB基因,動物實驗顯示可改善代謝缺陷。近年研究還發現該酶在藥物前體激活中的潛在應用,例如化療藥物伊立替康需經β-葡糖苷酸酶活化后發揮療效。
熱銷產品
GUSB Antibody (CSB-PA010064ESR1HU)
驗證數據
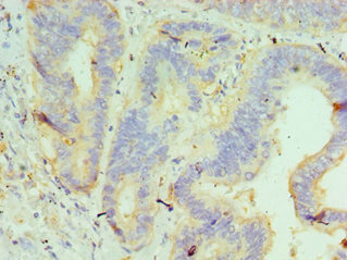
Immunohistochemistry of paraffin-embedded human colon cancer using CSB-PA010064ESR1HU at dilution of 1:100
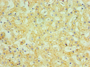
Immunohistochemistry of paraffin-embedded human liver tissue using CSB-PA010064ESR1HU at dilution of 1:100
GUSB Antibodies
GUSB for Homo sapiens (Human)
| 產品貨號 | 產品名稱 | 種屬反應性 | 應用類型 |
|---|---|---|---|
| CSB-PA010064GA01HU | GUSB Antibody | Human,Mouse,Rat | ELISA,WB,IHC |
| CSB-PA010064ESR1HU | GUSB Antibody | Human | ELISA, IHC |
| CSB-PA831075 | GUSB Antibody | Human | ELISA,WB |
| CSB-PA010064ESR2HU | GUSB Antibody | Human | ELISA, WB, IHC |
| CSB-PA009051 | GUSB Antibody | Human,Mouse,Rat | WB, ELISA |
GUSB Proteins
GUSB Proteins for Homo sapiens (Human)
| 產品貨號 | 產品名稱 | 來源 |
|---|---|---|
| CSB-YP010064HU CSB-EP010064HU CSB-BP010064HU CSB-MP010064HU CSB-EP010064HU-B |
Recombinant Human Beta-glucuronidase (GUSB) | Yeast E.coli Baculovirus Mammalian cell In Vivo Biotinylation in E.coli |






