GRIN2A
GRIN2A,全名為N-甲基-D-天冬氨酸受體亞單位2A,也被稱為NMDA受體亞單位2A。該蛋白是NMDA受體的組成部分,在中樞神經系統中發揮重要作用。它介導興奮性突觸傳遞過程中的慢鈣電流,對學習和記憶形成至關重要。GRIN2A蛋白與多種疾病相關,包括癲癇、帕金森病等。在藥物研發方面,針對GRIN2A蛋白的藥物正在研發中,旨在治療相關疾病。
熱銷產品
Recombinant Human Glutamate receptor ionotropic, NMDA 2A (GRIN2A), partial (CSB-EP618634HU1)
驗證數據
(Tris-Glycine gel) Discontinuous SDS-PAGE (reduced) with 5% enrichment gel and 15% separation gel.
GRIN2A Antibody (CSB-PA14129A0Rb)
驗證數據
Western Blot
Positive WB detected in: U87 whole cell lysate, Rat heart tissue, Mouse liver tissue
All lanes: GRIN2A antibody at 3.2µg/ml
Secondary
Goat polyclonal to rabbit IgG at 1/50000 dilution
Predicted band size: 166, 145 kDa
Observed band size: 166 kDa
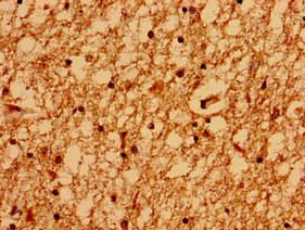
Immunohistochemistry of paraffin-embedded human brain tissue using CSB-PA14129A0Rb at dilution of 1:100
Immunofluorescent analysis of HepG2 cells using CSB-PA14129A0Rb at dilution of 1:100 and Alexa Fluor 488-congugated AffiniPure Goat Anti-Rabbit IgG(H+L)
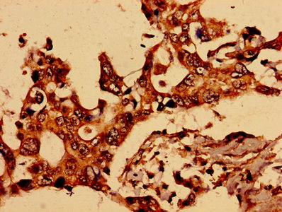
Immunohistochemistry of paraffin-embedded human pancreatic cancer using CSB-PA14129A0Rb at dilution of 1:100
GRIN2A Antibodies
GRIN2A for Homo sapiens (Human)
| 產品貨號 | 產品名稱 | 種屬反應性 | 應用類型 |
|---|---|---|---|
| CSB-PA009912GA01HU | GRIN2A Antibody | Human,Mouse | ELISA,WB,IF |
| CSB-PA14129A0Rb | GRIN2A Antibody | Human, Mouse, Rat | ELISA, WB, IHC, IF |
| CSB-PA14129B0Rb | GRIN2A Antibody, HRP conjugated | Human | ELISA |
| CSB-PA545861 | GRIN2A Antibody | Human,Mouse,Rat | ELISA,IHC |
| CSB-PA240091 | GRIN2A Antibody | Human,Mouse,Rat | ELISA,IHC |
GRIN2A Proteins
GRIN2A Proteins for Mus musculus (Mouse)
| 產品貨號 | 產品名稱 | 來源 |
|---|---|---|
| CSB-YP009912MO CSB-EP009912MO CSB-BP009912MO CSB-MP009912MO CSB-EP009912MO-B |
Recombinant Mouse Glutamate receptor ionotropic, NMDA 2A (Grin2a), partial | Yeast E.coli Baculovirus Mammalian cell In Vivo Biotinylation in E.coli |
GRIN2A Proteins for Homo sapiens (Human)
| 產品貨號 | 產品名稱 | 來源 |
|---|---|---|
| CSB-YP618634HU CSB-EP618634HU CSB-BP618634HU CSB-MP618634HU CSB-EP618634HU-B |
Recombinant Human Glutamate receptor ionotropic, NMDA 2A (GRIN2A), partial | Yeast E.coli Baculovirus Mammalian cell In Vivo Biotinylation in E.coli |
| CSB-EP618634HU1 | Recombinant Human Glutamate receptor ionotropic, NMDA 2A (GRIN2A), partial | E.coli |
GRIN2A Proteins for Pan troglodytes (Chimpanzee)
| 產品貨號 | 產品名稱 | 來源 |
|---|---|---|
| CSB-YP705444EQV CSB-EP705444EQV CSB-BP705444EQV CSB-MP705444EQV CSB-EP705444EQV-B |
Recombinant Pan troglodytes Glutamate [NMDA] receptor subunit epsilon-1 (GRIN2A), partial | Yeast E.coli Baculovirus Mammalian cell In Vivo Biotinylation in E.coli |






