GPR4
GPR4,全稱為G蛋白偶聯受體4,是一種廣泛存在于人體細胞表面的受體蛋白。該蛋白具有多種別名,包括GPCR GPR4、G protein coupled receptor 19、G protein coupled receptor 4等。GPR4蛋白主要參與細胞外pH值變化的感知,并觸發細胞內信號傳導,從而影響多種生理過程。例如,GPR4蛋白在炎癥性疾病的發病和進展、神經性疼痛、腫瘤細胞代謝和侵襲等方面發揮重要作用。近年來,GPR4蛋白成為新的治療靶點,相關藥物研發取得顯著進展。例如,針對GPR4蛋白的激動劑和拮抗劑被用于治療炎癥性疾病、神經性疼痛和腫瘤等疾病。此外,GPR4蛋白在心血管疾病、肥胖和衰老等疾病中也具有潛在的治療價值。相關藥物的研發為這些疾病的治療提供了新的思路和方法。
熱銷產品
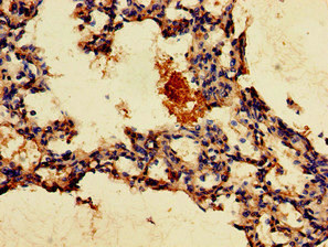
GPR4 Antibody (CSB-PA009813LA01HU)
驗證數據
Immunohistochemistry of paraffin-embedded human lung tissue using CSB-PA009813LA01HU at dilution of 1:100
Immunofluorescent analysis of A549 cells using CSB-PA009813LA01HU at dilution of 1:100 and Alexa Fluor 488-congugated AffiniPure Goat Anti-Rabbit IgG(H+L)
GPR4 Antibodies
GPR4 for Homo sapiens (Human)
| 產品貨號 | 產品名稱 | 種屬反應性 | 應用類型 |
|---|---|---|---|
| CSB-PA009813LA01HU | GPR4 Antibody | Human | ELISA, IHC, IF |
| CSB-PA009813LB01HU | GPR4 Antibody, HRP conjugated | Human | ELISA |
| CSB-PA009813LC01HU | GPR4 Antibody, FITC conjugated | Human | |
| CSB-PA009813LD01HU | GPR4 Antibody, Biotin conjugated | Human | ELISA |
GPR4 Proteins
GPR4 Proteins for Homo sapiens (Human)
| 產品貨號 | 產品名稱 | 來源 |
|---|---|---|
| CSB-YP009813HU1 CSB-EP009813HU1 CSB-BP009813HU1 CSB-MP009813HU1 CSB-EP009813HU1-B |
Recombinant Human G-protein coupled receptor 4 (GPR4), partial | Yeast E.coli Baculovirus Mammalian cell In Vivo Biotinylation in E.coli |
| CSB-CF009813HU | Recombinant Human G-protein coupled receptor 4 (GPR4) | in vitro E.coli expression system |
GPR4 Proteins for Sus scrofa (Pig)
| 產品貨號 | 產品名稱 | 來源 |
|---|---|---|
| CSB-YP009813PI1 CSB-EP009813PI1 CSB-BP009813PI1 CSB-MP009813PI1 CSB-EP009813PI1-B |
Recombinant Pig G-protein coupled receptor 4 (GPR4), partial | Yeast E.coli Baculovirus Mammalian cell In Vivo Biotinylation in E.coli |
| CSB-CF009813PI | Recombinant Pig G-protein coupled receptor 4 (GPR4) | in vitro E.coli expression system |
GPR4 Proteins for Bos taurus (Bovine)
| 產品貨號 | 產品名稱 | 來源 |
|---|---|---|
| CSB-YP629692BO1 CSB-EP629692BO1 CSB-BP629692BO1 CSB-MP629692BO1 CSB-EP629692BO1-B |
Recombinant Bovine G-protein coupled receptor 4 (GPR4), partial | Yeast E.coli Baculovirus Mammalian cell In Vivo Biotinylation in E.coli |
| CSB-CF629692BO | Recombinant Bovine G-protein coupled receptor 4 (GPR4) | in vitro E.coli expression system |
GPR4 Proteins for Mus musculus (Mouse)
| 產品貨號 | 產品名稱 | 來源 |
|---|---|---|
| CSB-YP807408MO1 CSB-EP807408MO1 CSB-BP807408MO1 CSB-MP807408MO1 CSB-EP807408MO1-B |
Recombinant Mouse G-protein coupled receptor 4 (Gpr4), partial | Yeast E.coli Baculovirus Mammalian cell In Vivo Biotinylation in E.coli |
| CSB-CF807408MO | Recombinant Mouse G-protein coupled receptor 4 (Gpr4) | in vitro E.coli expression system |






