GJA1
GJA1,即間隙連接蛋白Alpha 1,別名CX43,源自人類基因表達。作為關鍵的間隙連接蛋白,GJA1在細胞間通訊中扮演核心角色,通過形成通道促進小分子和離子在相鄰細胞間的直接交換。這一過程對于維持心臟、神經系統等器官的正常功能至關重要。GJA1的異常表達或功能障礙與多種疾病相關,包括聽力損失、心律不齊及某些腫瘤的發展。因此,GJA1不僅是生物學研究的熱點,也是疾病診斷、治療和預防的重要靶點。
熱銷產品
Recombinant Human Gap junction alpha-1 protein (GJA1), partial (CSB-MP009443HU1)
驗證數據
(Tris-Glycine gel) Discontinuous SDS-PAGE (reduced) with 5% enrichment gel and 15% separation gel.
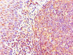
GJA1 Antibody (CSB-PA009443ESR2HU)
驗證數據
Immunohistochemistry of paraffin-embedded human tonsil tissue using CSB-PA009443ESR2HU at dilution of 1:100
Immunohistochemistry of paraffin-embedded human placenta tissue using CSB-PA009443ESR2HU at dilution of 1:100
GJA1 Antibodies
GJA1 for Homo sapiens (Human)
| 產品貨號 | 產品名稱 | 種屬反應性 | 應用類型 |
|---|---|---|---|
| CSB-PA009443GA01HU | GJA1 Antibody | Human,Mouse,Rat | ELISA,WB,IHC |
| CSB-PA009443ESR1HU | GJA1 Antibody | Human | ELISA, IHC |
| CSB-PA009443ESR2HU | GJA1 Antibody | Human | ELISA, IHC |
| CSB-PA224098 | Phospho-GJA1 (Ser368) Antibody | Human,Mouse,Rat | ELISA,WB,IHC |
| CSB-PA870043 | GJA1 (Ab-367) Antibody | Human,Mouse,Rat | ELISA,WB,IHC |
| CSB-PA069474 | Phospho-GJA1 (Ser265) Antibody | Human,Mouse,Rat | ELISA,WB |
| CSB-PA000504 | Phospho-GJA1 (S368) Antibody | Human,Mouse,Rat | WB, IHC, ELISA |
| CSB-PA001755 | GJA1 Antibody | Human,Mouse,Rat | WB, IHC, IF, ELISA |
| CSB-PA008818 | Phospho-GJA1 (S265) Antibody | Human,Mouse,Rat | WB, ELISA |
| CSB-PA008819 | Phospho-GJA1 (S261) Antibody | Human | IHC, ELISA |
| CSB-PA008821 | GJA1 Antibody | Human | IHC, IF, ELISA |
| CSB-PA008822 | GJA1 Antibody | Human,Mouse,Rat,Monkey | WB, IHC, ELISA |
| CSB-PA938769 | GJA1 Antibody | Human,Mouse,Rat | ELISA,WB |
GJA1 Proteins
GJA1 Proteins for Gallus gallus (Chicken)
| 產品貨號 | 產品名稱 | 來源 |
|---|---|---|
| CSB-YP009443CH1 CSB-EP009443CH1 CSB-BP009443CH1 CSB-MP009443CH1 CSB-EP009443CH1-B |
Recombinant Chicken Gap junction alpha-1 protein (GJA1), partial | Yeast E.coli Baculovirus Mammalian cell In Vivo Biotinylation in E.coli |
| CSB-CF009443CH | Recombinant Chicken Gap junction alpha-1 protein (GJA1) | in vitro E.coli expression system |
GJA1 Proteins for Bos taurus (Bovine)
| 產品貨號 | 產品名稱 | 來源 |
|---|---|---|
| CSB-YP009443BO1 CSB-EP009443BO1 CSB-BP009443BO1 CSB-MP009443BO1 CSB-EP009443BO1-B |
Recombinant Bovine Gap junction alpha-1 protein (GJA1), partial | Yeast E.coli Baculovirus Mammalian cell In Vivo Biotinylation in E.coli |
GJA1 Proteins for Homo sapiens (Human)
| 產品貨號 | 產品名稱 | 來源 |
|---|---|---|
| CSB-YP009443HU1 CSB-EP009443HU1-B |
Recombinant Human Gap junction alpha-1 protein (GJA1), partial | Yeast In Vivo Biotinylation in E.coli |
| CSB-EP009443HU1 | Recombinant Human Gap junction alpha-1 protein (GJA1), partial | E.coli |
| CSB-CF009443HU | Recombinant Human Gap junction alpha-1 protein (GJA1) | in vitro E.coli expression system |
| CSB-BP009443HU1 | Recombinant Human Gap junction alpha-1 protein (GJA1), partial | Baculovirus |
| CSB-MP009443HU1 | Recombinant Human Gap junction alpha-1 protein (GJA1), partial | Mammalian cell |
| CSB-MP009443HU(A4) | Recombinant Human Gap junction alpha-1 protein (GJA1)-VLPs | Mammalian cell |
GJA1 Proteins for Mus musculus (Mouse)
| 產品貨號 | 產品名稱 | 來源 |
|---|---|---|
| CSB-YP009443MO1 | Recombinant Mouse Gap junction alpha-1 protein (Gja1), partial | Yeast |
| CSB-CF009443MO | Recombinant Mouse Gap junction alpha-1 protein (Gja1) | in vitro E.coli expression system |
| CSB-EP009443MO1 CSB-EP009443MO1-B |
Recombinant Mouse Gap junction alpha-1 protein (Gja1), partial | E.coli In Vivo Biotinylation in E.coli |
| CSB-BP009443MO1 | Recombinant Mouse Gap junction alpha-1 protein (Gja1), partial | Baculovirus |
| CSB-MP009443MO1 | Recombinant Mouse Gap junction alpha-1 protein (Gja1), partial | Mammalian cell |
GJA1 Proteins for Rattus norvegicus (Rat)
| 產品貨號 | 產品名稱 | 來源 |
|---|---|---|
| CSB-YP009443RA1 CSB-EP009443RA1 CSB-BP009443RA1 CSB-MP009443RA1 CSB-EP009443RA1-B |
Recombinant Rat Gap junction alpha-1 protein (Gja1), partial | Yeast E.coli Baculovirus Mammalian cell In Vivo Biotinylation in E.coli |
| CSB-CF009443RA | Recombinant Rat Gap junction alpha-1 protein (Gja1) | in vitro E.coli expression system |
GJA1 Proteins for Xenopus laevis (African clawed frog)
| 產品貨號 | 產品名稱 | 來源 |
|---|---|---|
| CSB-YP009443XBE1 CSB-EP009443XBE1 CSB-BP009443XBE1 CSB-MP009443XBE1 CSB-EP009443XBE1-B |
Recombinant Xenopus laevis Gap junction alpha-1 protein (gja1), partial | Yeast E.coli Baculovirus Mammalian cell In Vivo Biotinylation in E.coli |
| CSB-CF009443XBE | Recombinant Xenopus laevis Gap junction alpha-1 protein (gja1) | in vitro E.coli expression system |
GJA1 Proteins for Ursus americanus (American black bear) (Euarctos americanus)
| 產品貨號 | 產品名稱 | 來源 |
|---|---|---|
| CSB-YP009443UBG1 CSB-EP009443UBG1 CSB-BP009443UBG1 CSB-MP009443UBG1 CSB-EP009443UBG1-B |
Recombinant Ursus americanus Gap junction alpha-1 protein (GJA1), partial | Yeast E.coli Baculovirus Mammalian cell In Vivo Biotinylation in E.coli |
| CSB-CF009443UBG | Recombinant Ursus americanus Gap junction alpha-1 protein (GJA1) | in vitro E.coli expression system |
GJA1 Proteins for Danio rerio (Zebrafish) (Brachydanio rerio)
| 產品貨號 | 產品名稱 | 來源 |
|---|---|---|
| CSB-YP009443DIL1 CSB-EP009443DIL1 CSB-BP009443DIL1 CSB-MP009443DIL1 CSB-EP009443DIL1-B |
Recombinant Danio rerio Gap junction alpha-1 protein (gja1), partial | Yeast E.coli Baculovirus Mammalian cell In Vivo Biotinylation in E.coli |
| CSB-CF009443DIL | Recombinant Danio rerio Gap junction alpha-1 protein (gja1) | in vitro E.coli expression system |
GJA1 Proteins for Sus scrofa (Pig)
| 產品貨號 | 產品名稱 | 來源 |
|---|---|---|
| CSB-YP641822PI1 CSB-EP641822PI1 CSB-BP641822PI1 CSB-MP641822PI1 CSB-EP641822PI1-B |
Recombinant Pig Gap junction alpha-1 protein (GJA1), partial | Yeast E.coli Baculovirus Mammalian cell In Vivo Biotinylation in E.coli |
| CSB-CF641822PI | Recombinant Pig Gap junction alpha-1 protein (GJA1) | in vitro E.coli expression system |
GJA1 Proteins for Macaca fascicularis (Crab-eating macaque) (Cynomolgus monkey)
| 產品貨號 | 產品名稱 | 來源 |
|---|---|---|
| CSB-YP700140MOV1 CSB-EP700140MOV1 CSB-BP700140MOV1 CSB-MP700140MOV1 CSB-EP700140MOV1-B |
Recombinant Macaca fascicularis Gap junction alpha-1 protein (GJA1), partial | Yeast E.coli Baculovirus Mammalian cell In Vivo Biotinylation in E.coli |
| CSB-CF700140MOV | Recombinant Macaca fascicularis Gap junction alpha-1 protein (GJA1) | in vitro E.coli expression system |
GJA1 Proteins for Erinaceus europaeus (Western European hedgehog)
| 產品貨號 | 產品名稱 | 來源 |
|---|---|---|
| CSB-YP750991EMQ1 CSB-EP750991EMQ1 CSB-BP750991EMQ1 CSB-MP750991EMQ1 CSB-EP750991EMQ1-B |
Recombinant Erinaceus europaeus Gap junction alpha-1 protein (GJA1), partial | Yeast E.coli Baculovirus Mammalian cell In Vivo Biotinylation in E.coli |
| CSB-CF750991EMQ | Recombinant Erinaceus europaeus Gap junction alpha-1 protein (GJA1) | in vitro E.coli expression system |
GJA1 Proteins for Canis familiaris (Dog) (Canis lupus familiaris)
| 產品貨號 | 產品名稱 | 來源 |
|---|---|---|
| CSB-YP754349DO1 CSB-EP754349DO1 CSB-BP754349DO1 CSB-MP754349DO1 CSB-EP754349DO1-B |
Recombinant Dog Gap junction alpha-1 protein (GJA1), partial | Yeast E.coli Baculovirus Mammalian cell In Vivo Biotinylation in E.coli |
| CSB-CF754349DO | Recombinant Dog Gap junction alpha-1 protein (GJA1) | in vitro E.coli expression system |
GJA1 Proteins for Oryctolagus cuniculus (Rabbit)
| 產品貨號 | 產品名稱 | 來源 |
|---|---|---|
| CSB-YP754384RB1 CSB-EP754384RB1 CSB-BP754384RB1 CSB-MP754384RB1 CSB-EP754384RB1-B |
Recombinant Rabbit Gap junction alpha-1 protein (GJA1), partial | Yeast E.coli Baculovirus Mammalian cell In Vivo Biotinylation in E.coli |
| CSB-CF754384RB | Recombinant Rabbit Gap junction alpha-1 protein (GJA1) | in vitro E.coli expression system |
GJA1 Proteins for Chlorocebus aethiops (Green monkey) (Cercopithecus aethiops)
| 產品貨號 | 產品名稱 | 來源 |
|---|---|---|
| CSB-YP764909DSU1 CSB-EP764909DSU1 CSB-BP764909DSU1 CSB-MP764909DSU1 CSB-EP764909DSU1-B |
Recombinant Chlorocebus aethiops Gap junction alpha-1 protein (GJA1), partial | Yeast E.coli Baculovirus Mammalian cell In Vivo Biotinylation in E.coli |
| CSB-CF764909DSU | Recombinant Chlorocebus aethiops Gap junction alpha-1 protein (GJA1) | in vitro E.coli expression system |
GJA1 Proteins for Bos taurus (Bovine)
| 產品貨號 | 產品名稱 | 來源 |
|---|---|---|
| CSB-CF009443BO | Recombinant Bovine Gap junction alpha-1 protein(GJA1) | in vitro E.coli expression system |




