GIP
GIP,即葡萄糖依賴性促胰島素釋放多肽(Glucose-dependent Insulinotropic Polypeptide),別名Incretin hormone。它是一種由腸道K細胞分泌的腸促胰素,主要分布在十二指腸和近端空腸,對食物攝取后胰島素的分泌起到重要的調節作用。GIP的作用機制包括與GIP受體結合,激活信號通路,刺激胰島β細胞以葡萄糖依賴的方式分泌胰島素,同時在胰島α細胞中促進胰高血糖素的分泌,從而在血糖調節中發揮智能調節作用。GIP不僅參與血糖的穩定,還可能通過中樞神經系統對攝食行為和認知進行調節,并對心血管系統具有保護作用 。然而,在2型糖尿病患者中,GIP的促胰島素作用可能會受損,但通過改善血糖控制,GIP的調節作用有可能得到恢復。
熱銷產品
Recombinant Human Gastric inhibitory polypeptide (GIP) (CSB-EP009434HU)
驗證數據
(Tris-Glycine gel) Discontinuous SDS-PAGE (reduced) with 5% enrichment gel and 15% separation gel.
驗證數據
The image on the left is immunohistochemistry of paraffin-embedded Human colon cancer tissue using CSB-PA827246(GIP Antibody) at dilution 1/13, on the right is treated with fusion protein. (Original magnification: ×200)
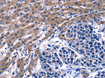
The image on the left is immunohistochemistry of paraffin-embedded Human liver cancer tissue using CSB-PA827246(GIP Antibody) at dilution 1/13, on the right is treated with fusion protein. (Original magnification: ×200)
Gel: 12%SDS-PAGE, Lysate: 40 μg, Lane: 293T cells, Primary antibody: CSB-PA827246(GIP Antibody) at dilution 1/250, Secondary antibody: Goat anti rabbit IgG at 1/8000 dilution, Exposure time: 10 minutes
Human Glucose dependent insulin releasing polypeptide,GIP ELISA Kit (CSB-E08484h)
驗證數據
貨號:CSB-E08484h
規格:96T/48T
靈敏度:2.5 ng/ml.
檢測范圍:12.5 ng/ml-200 ng/ml.
These standard curves are provided for demonstration only. A standard curve should be generated for each set of samples assayed.
GIP Antibodies
GIP for Homo sapiens (Human)
| 產品貨號 | 產品名稱 | 種屬反應性 | 應用類型 |
|---|---|---|---|
| CSB-PA095417 | GIP Antibody | Human | ELISA,IHC |
| CSB-PA827246 | GIP Antibody | Human | ELISA,WB,IHC |
| CSB-PA009434PA01HU | GIP Antibody | Human | ELISA, IHC |
| CSB-PA009434PB01HU | GIP Antibody, HRP conjugated | Human | ELISA |
| CSB-PA009434PC01HU | GIP Antibody, FITC conjugated | Human | |
| CSB-PA009434PD01HU | GIP Antibody, Biotin conjugated | Human | ELISA |
GIP Proteins
GIP Proteins for Homo sapiens (Human)
| 產品貨號 | 產品名稱 | 來源 |
|---|---|---|
| CSB-YP009434HU CSB-BP009434HU CSB-MP009434HU CSB-EP009434HU-B |
Recombinant Human Gastric inhibitory polypeptide (GIP) | Yeast Baculovirus Mammalian cell In Vivo Biotinylation in E.coli |
| CSB-EP009434HU | Recombinant Human Gastric inhibitory polypeptide (GIP) | E.coli |
GIP ELISA Kit
GIP ELISA Kit for Homo sapiens (Human)
| 產品貨號 | 產品名稱 | 樣本類型 | 靈敏度 |
|---|---|---|---|
| CSB-E08484h | Human Glucose dependent insulin releasing polypeptide,GIP ELISA Kit | serum, plasma, tissue homogenates | 2.5 ng/ml. |






