GABRA2
GABRA2,即γ-氨基丁酸(A)受體α2亞單位,別名Gamma-aminobutyric acid receptor subunit alpha-2。GABRA2是一種在中樞神經系統中高度表達的跨膜蛋白,由人體細胞自身的基因編碼。GABRA2的作用機制主要是通過與其他GABA-A受體亞單位組裝形成功能性的五聚體受體復合物,調控氯離子通道的開啟,從而在神經抑制中發揮作用。GABRA2的活性受到多種配體的調控,包括GABA、苯二氮卓類藥物等。GABRA2的功能異常與多種神經系統疾病有關,例如癲癇、焦慮、抑郁等。此外,GABRA2基因的變異與酒精依賴、精神分裂癥等行為障礙有關。GABRA2在神經發育中的作用尤為重要,它通過影響神經干細胞的維持和更新,參與調節胚胎發育過程中的增殖和分化。因此,GABRA2是神經科學研究和相關疾病治療中的一個潛在靶點 。
熱銷產品
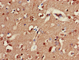
GABRA2 Antibody (CSB-PA009141LA01HU)
驗證數據
Immunohistochemistry of paraffin-embedded human brain tissue using CSB-PA009141LA01HU at dilution of 1:100
Immunofluorescent analysis of A549 cells using CSB-PA009141LA01HU at dilution of 1:100 and Alexa Fluor 488-congugated AffiniPure Goat Anti-Rabbit IgG(H+L)
GABRA2 Antibodies
GABRA2 for Homo sapiens (Human)
| 產品貨號 | 產品名稱 | 種屬反應性 | 應用類型 |
|---|---|---|---|
| CSB-PA360005 | GABRA2 Antibody | Human,Mouse,Rat | WB, IHC, ELISA |
| CSB-PA009141LA01HU | GABRA2 Antibody | Human | ELISA, IHC, IF |
| CSB-PA009141LB01HU | GABRA2 Antibody, HRP conjugated | Human | ELISA |
| CSB-PA009141LC01HU | GABRA2 Antibody, FITC conjugated | Human | |
| CSB-PA009141LD01HU | GABRA2 Antibody, Biotin conjugated | Human | ELISA |
GABRA2 Proteins
GABRA2 Proteins for Homo sapiens (Human)
| 產品貨號 | 產品名稱 | 來源 |
|---|---|---|
| CSB-YP009141HU CSB-BP009141HU CSB-MP009141HU CSB-EP009141HU-B |
Recombinant Human Gamma-aminobutyric acid receptor subunit alpha-2 (GABRA2), partial | Yeast Baculovirus Mammalian cell In Vivo Biotinylation in E.coli |






