FUCA1
FUCA1,全稱為Tissue alpha-L-fucosidase,常見別名為Alpha-L-fucosidase 1。該蛋白屬于糖基水解酶29家族,主要參與巖藻糖代謝,對腫瘤進展和免疫逃避有重要影響。FUCA1蛋白通過降解含巖藻糖的糖蛋白和糖脂,調節細胞表面分子的巖藻糖基化狀態,進而影響細胞粘附、信號傳導和免疫應答。研究表明,FUCA1蛋白的活性改變與癌癥和糖基化疾病密切相關。在藥物研發方面,FUCA1蛋白已成為研究熱點,相關抗體和抑制劑已被開發用于癌癥治療和免疫調節。例如,FUCA1單克隆抗體可用于檢測酶活性,而FUCA1抑制劑則可能成為新型抗癌藥物。此外,FUCA1蛋白的表達異常與多種疾病相關,如巖藻糖苷貯積癥和某些類型的癌癥,因此,針對FUCA1蛋白的藥物研發有望為這些疾病的治療提供新的策略。
熱銷產品
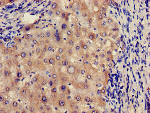
FUCA1 Antibody (CSB-PA009062LA01HU)
驗證數據
Immunohistochemistry of paraffin-embedded human liver tissue using CSB-PA009062LA01HU at dilution of 1:100
FUCA1 Antibodies
FUCA1 for Homo sapiens (Human)
| 產品貨號 | 產品名稱 | 種屬反應性 | 應用類型 |
|---|---|---|---|
| CSB-PA009062GA01HU | FUCA1 Antibody | Human,Mouse,Rat | ELISA,IHC |
| CSB-PA799040 | FUCA1 Antibody | Human,Mouse | ELISA,WB,IHC |
| CSB-PA009062LA01HU | FUCA1 Antibody | Human | ELISA, IHC |
| CSB-PA009062LB01HU | FUCA1 Antibody, HRP conjugated | Human | ELISA |
| CSB-PA009062LC01HU | FUCA1 Antibody, FITC conjugated | Human | |
| CSB-PA009062LD01HU | FUCA1 Antibody, Biotin conjugated | Human | ELISA |
FUCA1 Proteins
FUCA1 Proteins for Homo sapiens (Human)
| 產品貨號 | 產品名稱 | 來源 |
|---|---|---|
| CSB-YP009062HU CSB-EP009062HU CSB-BP009062HU CSB-MP009062HU CSB-EP009062HU-B |
Recombinant Human Tissue alpha-L-fucosidase (FUCA1) | Yeast E.coli Baculovirus Mammalian cell In Vivo Biotinylation in E.coli |






