FDXR
FDXR,全稱為鐵氧還蛋白還原酶,是一種線粒體黃素蛋白。它從NADPH接收電子,啟動細胞色素P450酶系統的電子傳遞。FDXR蛋白與多種疾病相關,如聽覺神經病變和視神經萎縮等。目前,針對FDXR的研究主要集中在藥物研發上,旨在開發針對相關疾病的藥物。
熱銷產品
Recombinant Human NADPH:adrenodoxin oxidoreductase, mitochondrial (FDXR) (CSB-EP008575HU)
驗證數據
(Tris-Glycine gel) Discontinuous SDS-PAGE (reduced) with 5% enrichment gel and 15% separation gel.
Based on the SEQUEST from database of E.coli host and target protein, the LC-MS/MS Analysis result of CSB-EP008575HU could indicate that this peptide derived from E.coli-expressed Homo sapiens (Human) FDXR.
Based on the SEQUEST from database of E.coli host and target protein, the LC-MS/MS Analysis result of CSB-EP008575HU could indicate that this peptide derived from E.coli-expressed Homo sapiens (Human) FDXR.
FDXR Antibody (CSB-PA008575LA01HU)
驗證數據
Western blot
All lanes: FDXR antibody at 6µg/ml
Lane 1: A549 whole cell lysate
Lane 2: Mouse liver tissue
Lane 3: HepG2 whole cell lysate
Lane 4: U251 whole cell lysate
Secondary
Goat polyclonal to rabbit IgG at 1/10000 dilution
Predicted band size: 54, 55, 59, 49, 53, 50, 58 kDa
Observed band size: 54 kDa
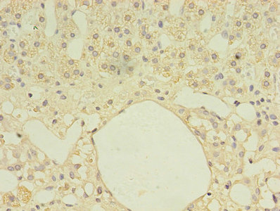
Immunohistochemistry of paraffin-embedded human adrenal gland tissue using CSB-PA008575LA01HU at dilution of 1:100
FDXR Antibodies
FDXR for Homo sapiens (Human)
| 產品貨號 | 產品名稱 | 種屬反應性 | 應用類型 |
|---|---|---|---|
| CSB-PA008575GA01HU | FDXR Antibody | Human,Mouse,Rat | ELISA,WB,IHC |
| CSB-PA008575LA01HU | FDXR Antibody | Human, Mouse | ELISA, WB, IHC |
| CSB-PA008575LC01HU | FDXR Antibody, FITC conjugated | Human |
FDXR Proteins
FDXR Proteins for Homo sapiens (Human)
| 產品貨號 | 產品名稱 | 來源 |
|---|---|---|
| CSB-YP008575HU CSB-BP008575HU CSB-MP008575HU CSB-EP008575HU-B |
Recombinant Human NADPH:adrenodoxin oxidoreductase, mitochondrial (FDXR) | Yeast Baculovirus Mammalian cell In Vivo Biotinylation in E.coli |
| CSB-EP008575HU | Recombinant Human NADPH:adrenodoxin oxidoreductase, mitochondrial (FDXR) | E.coli |






