FAM3B
FAM3B,全稱為Cytokine-like protein 2-21,別名PANDER(Pancreatic-Derived Factor),是一種在胰腺胰島細胞中高表達的細胞因子。該蛋白參與糖脂代謝過程,其功能失調與二型糖尿病的發生發展密切相關。研究表明,FAM3B蛋白可能通過影響胰島素分泌和葡萄糖代謝,從而參與糖尿病的發生發展。此外,FAM3B蛋白還與多種疾病的發生發展相關,包括癌癥、心血管疾病等。目前,針對FAM3B蛋白的藥物研發尚處于起步階段,但已有研究表明,抑制FAM3B蛋白的表達或活性,可能有助于預防和治療糖尿病及其相關疾病。
熱銷產品
Recombinant Human Protein FAM3B (FAM3B) (CSB-EP008227HU)
驗證數據
(Tris-Glycine gel) Discontinuous SDS-PAGE (reduced) with 5% enrichment gel and 15% separation gel.
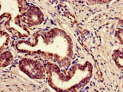
FAM3B Antibody (CSB-PA008227LA01HU)
驗證數據
Immunohistochemistry of paraffin-embedded human prostate cancer using CSB-PA008227LA01HU at dilution of 1:100
Western Blot
Positive WB detected in: Rat brain tissue, Mouse brain tissue
All lanes: FAM3B antibody at 3µg/ml
Secondary
Goat polyclonal to rabbit IgG at 1/50000 dilution
Predicted band size: 26, 31, 21 kDa
Observed band size: 26 kDa
FAM3B Antibodies
FAM3B for Homo sapiens (Human)
| 產品貨號 | 產品名稱 | 種屬反應性 | 應用類型 |
|---|---|---|---|
| CSB-PA008227GA01HU | FAM3B Antibody | Human,Mouse,Rat | ELISA,WB,IHC |
| CSB-PA828051 | FAM3B Antibody | Human,Mouse | ELISA,IHC |
| CSB-PA015538 | FAM3B Antibody | Human,Mouse | ELISA,IHC |
| CSB-PA008227LA01HU | FAM3B Antibody | Human, Mouse, Rat | ELISA, WB, IHC |
FAM3B Proteins
FAM3B Proteins for Homo sapiens (Human)
| 產品貨號 | 產品名稱 | 來源 |
|---|---|---|
| CSB-YP008227HU CSB-BP008227HU CSB-MP008227HU CSB-EP008227HU-B |
Recombinant Human Protein FAM3B (FAM3B) | Yeast Baculovirus Mammalian cell In Vivo Biotinylation in E.coli |
| CSB-EP008227HU | Recombinant Human Protein FAM3B (FAM3B) | E.coli |






