EREG
表皮調節素(Epiregulin,簡稱EREG)是表皮生長因子家族成員之一,也被稱為ER或EPR。該蛋白通過與細胞表面受體結合,觸發胞內級聯反應,廣泛參與組織修復、胚胎發育及腫瘤微環境調控。研究發現,表皮調節素在多種實體瘤中異常高表達,例如結直腸癌、乳腺癌及非小細胞肺癌中,其過量分泌會加速惡性細胞增殖與侵襲,同時誘導血管生成,為腫瘤轉移提供條件。此外,該蛋白在炎癥性腸病、銀屑病等慢性炎癥疾病中同樣呈現活躍狀態,可能與免疫細胞異常激活有關。
目前針對表皮調節素的藥物研發聚焦于單克隆抗體和受體抑制劑領域。例如,西妥昔單抗等EGFR靶向藥物可間接干擾表皮調節素的功能,已在結直腸癌治療中取得臨床驗證。近期研究還發現,部分小分子化合物能選擇性阻斷表皮調節素與其受體的結合,在小鼠模型中顯著抑制腫瘤生長。此外,基于該蛋白與免疫檢查點的關聯,聯合免疫療法的探索也進入早期臨床試驗階段。
熱銷產品
Recombinant Human Proepiregulin (EREG), partial (CSB-EP007779HU)
驗證數據
(Tris-Glycine gel) Discontinuous SDS-PAGE (reduced) with 5% enrichment gel and 15% separation gel.
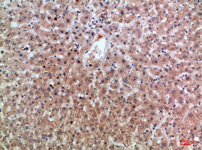
驗證數據
Immunohistochemical analysis of paraffin-embedded Human-liver, antibody was diluted at 1:100
Human epiregulin (EREG) ELISA kit (CSB-EL007779HU)
驗證數據
貨號:CSB-EL007779HU
規格:96T/48T
靈敏度:3.9 pg/mL
檢測范圍:15.6 pg/mL-1000 pg/mL
These standard curves are provided for demonstration only. A standard curve should be generated for each set of samples assayed.
EREG Antibodies
EREG for Homo sapiens (Human)
| 產品貨號 | 產品名稱 | 種屬反應性 | 應用類型 |
|---|---|---|---|
| CSB-PA189260 | EREG Antibody | Human,Mouse,Rat | IHC,ELISA |
| CSB-PA007779NA01HU | EREG Antibody | Human | ELISA, IF |
| CSB-PA007779PA01HU | EREG Antibody | Human | ELISA, IF |
| CSB-PA007779ND01HU | EREG Antibody, Biotin conjugated | Human | ELISA |
| CSB-PA007779PD01HU | EREG Antibody, Biotin conjugated | Human | ELISA |
| CSB-PA007779NC01HU | EREG Antibody, FITC conjugated | Human | |
| CSB-PA007779PC01HU | EREG Antibody, FITC conjugated | Human | |
| CSB-PA007779NB01HU | EREG Antibody, HRP conjugated | Human | ELISA |
| CSB-PA007779PB01HU | EREG Antibody, HRP conjugated | Human | ELISA |
EREG Proteins
EREG Proteins for Homo sapiens (Human)
| 產品貨號 | 產品名稱 | 來源 |
|---|---|---|
| CSB-YP007779HU CSB-BP007779HU CSB-MP007779HU CSB-EP007779HU-B |
Recombinant Human Proepiregulin (EREG), partial | Yeast Baculovirus Mammalian cell In Vivo Biotinylation in E.coli |
| CSB-AP002621HU | Recombinant?Human?Proepiregulin (EREG), partial? (Active) | E.Coli |
| CSB-EP007779HU | Recombinant Human Proepiregulin (EREG), partial | E.coli |
| CSB-CF007779HU | Recombinant Human Proepiregulin (EREG) | in vitro E.coli expression system |
EREG Proteins for Mus musculus (Mouse)
| 產品貨號 | 產品名稱 | 來源 |
|---|---|---|
| CSB-YP730741MO CSB-EP730741MO CSB-BP730741MO CSB-MP730741MO CSB-EP730741MO-B |
Recombinant Mouse Proepiregulin (Ereg), partial | Yeast E.coli Baculovirus Mammalian cell In Vivo Biotinylation in E.coli |
EREG ELISA Kit
EREG ELISA Kit for Homo sapiens (Human)
| 產品貨號 | 產品名稱 | 樣本類型 | 靈敏度 |
|---|---|---|---|
| CSB-EL007779HU | Human epiregulin (EREG) ELISA kit | serum, plasma, cell culture supernates, tissue homogenates | 3.9 pg/mL |






