EPHA4
EPHA4全稱為促紅細胞生成素肝細胞受體A4,屬于Eph受體酪氨酸激酶家族成員,常被稱為EPH受體A4或酪氨酸蛋白激酶受體Tyro3。EPHA4通過與其配體ephrin相互作用,在神經系統發育中發揮關鍵作用,尤其參與調控軸突導向和神經元連接的形成。EPHA4異常表達與肌萎縮側索硬化癥(ALS)密切相關,其活性降低可能加速運動神經元退化進程,相關基因療法已在動物模型中顯示出延長生存期的效果。在腫瘤領域,EPHA4在結直腸癌、膠質母細胞瘤等惡性腫瘤中呈現高表達特征,通過影響腫瘤細胞侵襲轉移能力促進疾病進展。針對該靶點的藥物開發聚焦于小分子抑制劑和單克隆抗體,其中選擇性抑制劑ALW-II-41-27在臨床前研究中展現出抑制腫瘤轉移的潛力,而基于CRISPR技術的基因編輯療法正探索其在神經退行性疾病中的應用。
熱銷產品
Recombinant Human Ephrin type-A receptor 4 (EPHA4), partial (Active) (CSB-AP005681HU)
驗證數據
(Tris-Glycine gel) Discontinuous SDS-PAGE (reduced) with 5% enrichment gel and 15% separation gel.
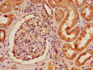
EPHA4 Antibody (CSB-PA007724LA01HU)
驗證數據
Immunohistochemistry of paraffin-embedded human spleen tissue using CSB-PA007724LA01HU at dilution of 1:100
Immunohistochemistry of paraffin-embedded human kidney tissue using CSB-PA007724LA01HU at dilution of 1:100
Immunofluorescent analysis of Hela cells using CSB-PA007724LA01HU at dilution of 1:100 and Alexa Fluor 488-congugated AffiniPure Goat Anti-Rabbit IgG(H+L)
Human Ephrin type-A receptor 4(EPHA4) ELISA kit (CSB-EL007724HU)
驗證數據
貨號:CSB-EL007724HU
規格:96T/48T
靈敏度:6.25 pg/mL
檢測范圍:25 pg/mL-1600 pg/mL
These standard curves are provided for demonstration only. A standard curve should be generated for each set of samples assayed.
EPHA4 Antibodies
EPHA4 for Homo sapiens (Human)
| 產品貨號 | 產品名稱 | 種屬反應性 | 應用類型 |
|---|---|---|---|
| CSB-PA959570 | Phospho-EPHA4 (Tyr596) Antibody | Human,Mouse | ELISA,WB |
| CSB-PA008062 | Phospho-EPHA4 (Y596) Antibody | Human,Mouse | WB, ELISA |
| CSB-PA830643 | EPHA4 Antibody | Human,Mouse | ELISA,IHC |
| CSB-PA007724LA01HU | EPHA4 Antibody | Human | ELISA, IHC, IF |
| CSB-PA007724LB01HU | EPHA4 Antibody, HRP conjugated | Human | ELISA |
| CSB-PA007724LC01HU | EPHA4 Antibody, FITC conjugated | Human | |
| CSB-PA007724LD01HU | EPHA4 Antibody, Biotin conjugated | Human | ELISA |
EPHA4 Proteins
EPHA4 Proteins for Homo sapiens (Human)
| 產品貨號 | 產品名稱 | 來源 |
|---|---|---|
| CSB-YP007724HU CSB-EP007724HU CSB-BP007724HU CSB-MP007724HU CSB-EP007724HU-B |
Recombinant Human Ephrin type-A receptor 4 (EPHA4), partial | Yeast E.coli Baculovirus Mammalian cell In Vivo Biotinylation in E.coli |
| CSB-AP005681HU | Recombinant Human Ephrin type-A receptor 4 (EPHA4), partial (Active) | Mammalian cell |
EPHA4 ELISA Kit
EPHA4 ELISA Kit for Homo sapiens (Human)
| 產品貨號 | 產品名稱 | 樣本類型 | 靈敏度 |
|---|---|---|---|
| CSB-EL007724HU | Human Ephrin type-A receptor 4(EPHA4) ELISA kit | serum, plasma, tissue homogenates, cell lysates | 6.25 pg/mL |






