ENHO
ENHO,也稱為Adropin,是一種與能量穩態相關的蛋白。它在人體內扮演著調節能量代謝的重要角色。ENHO蛋白的常見別名包括Adropin和Energy Homeostasis Associated。近年來,ENHO蛋白的研究引起了廣泛關注,因為它與多種代謝性疾病如糖尿病和肥胖有關。在藥物研發方面,針對ENHO蛋白的藥物正在研發中,旨在通過調節能量代謝來改善這些疾病的治療效果。
熱銷產品
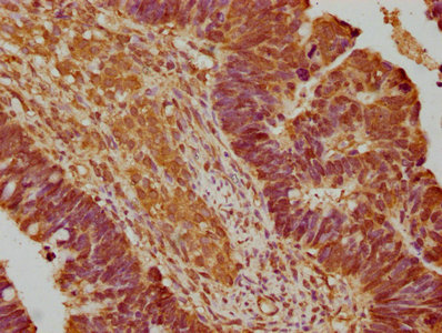
ENHO Antibody (CSB-PA744265OA01HU)
驗證數據
IHC image of CSB-PA744265OA01HU diluted at 1:200 and staining in paraffin-embedded human ovarian cancer performed on a Leica BondTM system. After dewaxing and hydration, antigen retrieval was mediated by high pressure in a citrate buffer (pH 6.0). Section was blocked with 10% normal goat serum 30min at RT. Then primary antibody (1% BSA) was incubated at 4°C overnight. The primary is detected by a biotinylated secondary antibody and visualized using an HRP conjugated SP system.
Human Adropin(ENHO) ELISA kit (CSB-EL007669HU)
驗證數據
貨號:CSB-EL007669HU
規格:96T/48T
靈敏度:0.39 pg/mL
檢測范圍:1.56 pg/mL-100 pg/mL
These standard curves are provided for demonstration only. A standard curve should be generated for each set of samples assayed.
ENHO Antibodies
ENHO for Homo sapiens (Human)
| 產品貨號 | 產品名稱 | 種屬反應性 | 應用類型 |
|---|---|---|---|
| CSB-PA744265OA01HU | ENHO Antibody | Human | ELISA, IHC |
| CSB-PA744265OB01HU | ENHO Antibody, HRP conjugated | Human | ELISA |
| CSB-PA744265OC01HU | ENHO Antibody, FITC conjugated | Human | |
| CSB-PA744265OD01HU | ENHO Antibody, Biotin conjugated | Human | ELISA |
ENHO Proteins
ENHO Proteins for Homo sapiens (Human)
| 產品貨號 | 產品名稱 | 來源 |
|---|---|---|
| CSB-YP744265HU CSB-EP744265HU CSB-BP744265HU CSB-MP744265HU CSB-EP744265HU-B |
Recombinant Human Adropin (ENHO) | Yeast E.coli Baculovirus Mammalian cell In Vivo Biotinylation in E.coli |
ENHO ELISA Kit
ENHO ELISA Kit for Homo sapiens (Human)
| 產品貨號 | 產品名稱 | 樣本類型 | 靈敏度 |
|---|---|---|---|
| CSB-EL007669HU | Human Adropin(ENHO) ELISA kit | serum, plasma, tissue homogenates | 0.39 pg/mL |






