ECI2
ECI2,即烯酰輔酶Aδ-異構酶2,別名ACBD2、DRS1、HCA88、PECI。ECI2是一種關鍵的線粒體酶,參與不飽和脂肪酸的β-氧化過程。它能夠將3-順式和3-反式烯酰輔酶A酯轉化為2-反式烯酰輔酶A中間體。ECI2在脂質代謝中起著重要作用,尤其是在多不飽和脂肪酸的代謝過程中。此外,ECI2還參與過氧化物酶體脂質代謝,可能通過其作為潛在內源性抗氧化劑的能力調節細胞分化、影響細胞信號傳導并減少氧化應激。ECI2通過影響腫瘤免疫微環境并抑制結直腸癌的侵襲和轉移。ECI2能顯著抑制醚脂的產生和IL-8的表達,從而減少中性粒細胞外陷阱(NET)的形成,進而抑制結直腸癌的生長和轉移。
熱銷產品
ECI2 Antibody (CSB-PA527983LA01HU)
驗證數據
Western Blot
Positive WB detected in: Rat heart tissue, Mouse heart tissue, Mouse liver tissue
All lanes: ECI2 antibody at 2.7μg/ml
Secondary
Goat polyclonal to rabbit IgG at 1/50000 dilution
Predicted band size: 44, 40 kDa
Observed band size: 44 kDa
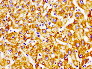
Immunohistochemistry of paraffin-embedded human liver tissue using CSB-PA527983LA01HU at dilution of 1:100
ECI2 Antibodies
ECI2 for Homo sapiens (Human)
| 產品貨號 | 產品名稱 | 種屬反應性 | 應用類型 |
|---|---|---|---|
| CSB-PA017768GA01HU | ECI2 Antibody | Human,Mouse | ELISA,WB,IHC |
| CSB-PA002204 | ECI2 Antibody | Human | WB, IHC, ELISA |
| CSB-PA527983LA01HU | ECI2 Antibody | Human, Rat, Mouse | ELISA, WB, IHC |
| CSB-PA527983LB01HU | ECI2 Antibody, HRP conjugated | Human | ELISA |
| CSB-PA527983LC01HU | ECI2 Antibody, FITC conjugated | Human | |
| CSB-PA527983LD01HU | ECI2 Antibody, Biotin conjugated | Human | ELISA |
ECI2 Proteins
ECI2 Proteins for Homo sapiens (Human)
| 產品貨號 | 產品名稱 | 來源 |
|---|---|---|
| CSB-YP527983HU CSB-EP527983HU CSB-BP527983HU CSB-MP527983HU CSB-EP527983HU-B |
Recombinant Human Enoyl-CoA delta isomerase 2, mitochondrial (ECI2) | Yeast E.coli Baculovirus Mammalian cell In Vivo Biotinylation in E.coli |






