DPP4
DPP4,即二肽基肽酶4,別名DPP-4抑制劑。它是一種細胞表面的絲氨酸蛋白酶,主要在腸道中表達,也在肝臟、胰腺、胎盤、胸腺等部位表達。DPP4的作用機制主要是滅活多種生物活性肽,包括胰高血糖素樣肽-1(GLP-1)和葡萄糖依賴性促胰島素分泌多肽(GIP),這兩種激素都是DPP-4的靶蛋白,可被DPP-4迅速降解和失活 。DPP4在生物學上的意義主要體現在其參與調節血糖水平的過程中。DPP-4抑制劑通過抑制DPP-4的活性,減少GLP-1及GIP的降解,從而增強胰島素的分泌并降低血糖。DPP-4抑制劑具有葡萄糖依賴性的降糖作用,低血糖風險低,并且具有減輕體重、改善胰島β細胞功能等額外益處 。此外,DPP-4還可能在肥胖誘導的炎癥和胰島素抵抗中起關鍵作用,DPP-4抑制劑的使用可以減輕肥胖引起的炎癥反應和胰島素抵抗 。
熱銷產品
Recombinant Human Dipeptidyl peptidase 4 (DPP4), partial (CSB-MP007139HU1)
驗證數據
(Tris-Glycine gel) Discontinuous SDS-PAGE (reduced) with 5% enrichment gel and 15% separation gel.
The purity of DPP4 was greater than 95% as determined by SEC-HPLC
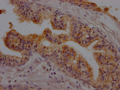
DPP4 Recombinant Monoclonal Antibody (CSB-RA927191A0HU)
驗證數據
IHC image of CSB-RA927191A0HU diluted at 1:100 and staining in paraffin-embedded human prostate cancer performed on a Leica BondTM system. After dewaxing and hydration, antigen retrieval was mediated by high pressure in a citrate buffer (pH 6.0). Section was blocked with 10% normal goat serum 30min at RT. Then primary antibody (1% BSA) was incubated at 4℃ overnight. The primary is detected by a Goat anti-rabbit IgG polymer labeled by HRP and visualized using 0.05% DAB.
DPP4 Antibodies
DPP4 for Homo sapiens (Human)
| 產品貨號 | 產品名稱 | 種屬反應性 | 應用類型 |
|---|---|---|---|
| CSB-PA007139GA01HU | DPP4 Antibody | Human,Mouse,Rat | ELISA,WB,IHC |
| CSB-PA830019 | DPP4 Antibody | Human | WB, IHC, ELISA |
| CSB-PA06229A0Rb | DPP4 Antibody | Human, Rat | ELISA, WB, IHC, IF |
| CSB-PA06229B0Rb | DPP4 Antibody, HRP conjugated | Human | ELISA |
| CSB-PA06229C0Rb | DPP4 Antibody, FITC conjugated | Human | |
| CSB-PA06229D0Rb | DPP4 Antibody, Biotin conjugated | Human | ELISA |
| CSB-RA927191A0HU | DPP4 Recombinant Monoclonal Antibody | Human | ELISA, IHC |
DPP4 Proteins
DPP4 Proteins for Bos taurus (Bovine)
| 產品貨號 | 產品名稱 | 來源 |
|---|---|---|
| CSB-YP007139BO1 CSB-EP007139BO1 CSB-BP007139BO1 CSB-MP007139BO1 CSB-EP007139BO1-B |
Recombinant Bovine Dipeptidyl peptidase 4 (DPP4), partial | Yeast E.coli Baculovirus Mammalian cell In Vivo Biotinylation in E.coli |
| CSB-CF007139BO | Recombinant Bovine Dipeptidyl peptidase 4 (DPP4) | in vitro E.coli expression system |
DPP4 Proteins for Rattus norvegicus (Rat)
| 產品貨號 | 產品名稱 | 來源 |
|---|---|---|
| CSB-YP007139RA CSB-BP007139RA CSB-MP007139RA CSB-EP007139RA-B |
Recombinant Rat Dipeptidyl peptidase 4 (Dpp4), partial | Yeast Baculovirus Mammalian cell In Vivo Biotinylation in E.coli |
| CSB-CF007139RA | Recombinant Rat Dipeptidyl peptidase 4 (Dpp4),Partial | in vitro E.coli expression system |
| CSB-EP007139RA | Recombinant Rat Dipeptidyl peptidase 4 (Dpp4), partial | E.coli |
| CSB-CF007139RA(F2) | Recombinant Rat Dipeptidyl peptidase 4 (Dpp4),Partial | in vitro E.coli expression system |
DPP4 Proteins for Sus scrofa (Pig)
| 產品貨號 | 產品名稱 | 來源 |
|---|---|---|
| CSB-YP007139PI1 CSB-EP007139PI1 CSB-BP007139PI1 CSB-MP007139PI1 CSB-EP007139PI1-B |
Recombinant Pig Dipeptidyl peptidase 4 (DPP4), partial | Yeast E.coli Baculovirus Mammalian cell In Vivo Biotinylation in E.coli |
| CSB-CF007139PI | Recombinant Pig Dipeptidyl peptidase 4 (DPP4) | in vitro E.coli expression system |
DPP4 Proteins for Homo sapiens (Human)
| 產品貨號 | 產品名稱 | 來源 |
|---|---|---|
| CSB-EP007139HU1 CSB-BP007139HU1 CSB-MP007139HU1 CSB-EP007139HU1-B |
Recombinant Human Dipeptidyl peptidase 4 (DPP4), partial | E.coli Baculovirus Mammalian cell In Vivo Biotinylation in E.coli |
| CSB-CF007139HU | Recombinant Human Dipeptidyl peptidase 4 (DPP4) | in vitro E.coli expression system |
| CSB-YP007139HU1 | Recombinant Human Dipeptidyl peptidase 4 (DPP4), partial | Yeast |
| CSB-MP007139HU1 | Recombinant Human Dipeptidyl peptidase 4 (DPP4), partial | Mammalian cell |
DPP4 Proteins for Mus musculus (Mouse)
| 產品貨號 | 產品名稱 | 來源 |
|---|---|---|
| CSB-YP007139MO CSB-EP007139MO CSB-BP007139MO CSB-MP007139MO CSB-EP007139MO-B |
Recombinant Mouse Dipeptidyl peptidase 4 (Dpp4), partial | Yeast E.coli Baculovirus Mammalian cell In Vivo Biotinylation in E.coli |
| CSB-CF007139MO | Recombinant Mouse Dipeptidyl peptidase 4 (Dpp4), partial | in vitro E.coli expression system |
DPP4 Proteins for Trichophyton equinum (Horse ringworm fungus)
| 產品貨號 | 產品名稱 | 來源 |
|---|---|---|
| CSB-YP007139TPZ CSB-EP007139TPZ CSB-BP007139TPZ CSB-MP007139TPZ CSB-EP007139TPZ-B |
Recombinant Trichophyton equinum Dipeptidyl peptidase 4 (DPP4), partial | Yeast E.coli Baculovirus Mammalian cell In Vivo Biotinylation in E.coli |
DPP4 Proteins for Trichophyton tonsurans (Scalp ringworm fungus)
| 產品貨號 | 產品名稱 | 來源 |
|---|---|---|
| CSB-YP007139TQB CSB-EP007139TQB CSB-BP007139TQB CSB-MP007139TQB CSB-EP007139TQB-B |
Recombinant Trichophyton tonsurans Dipeptidyl peptidase 4 (DPP4), partial | Yeast E.coli Baculovirus Mammalian cell In Vivo Biotinylation in E.coli |
DPP4 Proteins for Arthroderma otae (strain ATCC MYA-4605 / CBS 113480) (Microsporum canis)
| 產品貨號 | 產品名稱 | 來源 |
|---|---|---|
| CSB-YP007139DOP CSB-EP007139DOP CSB-BP007139DOP CSB-MP007139DOP CSB-EP007139DOP-B |
Recombinant Arthroderma otae Dipeptidyl peptidase 4 (DPP4), partial | Yeast E.coli Baculovirus Mammalian cell In Vivo Biotinylation in E.coli |
DPP4 Proteins for Aspergillus clavatus (strain ATCC 1007 / CBS 513.65 / DSM 816 / NCTC 3887 / NRRL 1)
| 產品貨號 | 產品名稱 | 來源 |
|---|---|---|
| CSB-YP373018AVC CSB-EP373018AVC CSB-BP373018AVC CSB-MP373018AVC CSB-EP373018AVC-B |
Recombinant Aspergillus clavatus Probable dipeptidyl peptidase 4 (dpp4), partial | Yeast E.coli Baculovirus Mammalian cell In Vivo Biotinylation in E.coli |
DPP4 Proteins for Neosartorya fischeri (strain ATCC 1020 / DSM 3700 / FGSC A1164 / NRRL 181) (Aspergillus fischerianus)
| 產品貨號 | 產品名稱 | 來源 |
|---|---|---|
| CSB-YP373094NEZ CSB-EP373094NEZ CSB-BP373094NEZ CSB-MP373094NEZ CSB-EP373094NEZ-B |
Recombinant Neosartorya fischeri Probable dipeptidyl peptidase 4 (dpp4), partial | Yeast E.coli Baculovirus Mammalian cell In Vivo Biotinylation in E.coli |
DPP4 Proteins for Aspergillus flavus (strain ATCC 200026 / FGSC A1120 / NRRL 3357 / JCM 12722 / SRRC 167)
| 產品貨號 | 產品名稱 | 來源 |
|---|---|---|
| CSB-YP493963DOX CSB-EP493963DOX CSB-BP493963DOX CSB-MP493963DOX CSB-EP493963DOX-B |
Recombinant Aspergillus flavus Probable dipeptidyl peptidase 4 (dpp4), partial | Yeast E.coli Baculovirus Mammalian cell In Vivo Biotinylation in E.coli |
DPP4 Proteins for Arthroderma benhamiae (strain ATCC MYA-4681 / CBS 112371) (Trichophyton mentagrophytes)
| 產品貨號 | 產品名稱 | 來源 |
|---|---|---|
| CSB-YP514306DOM CSB-EP514306DOM CSB-BP514306DOM CSB-MP514306DOM CSB-EP514306DOM-B |
Recombinant Arthroderma benhamiae Probable dipeptidyl peptidase 4 (DPP4), partial | Yeast E.coli Baculovirus Mammalian cell In Vivo Biotinylation in E.coli |
DPP4 Proteins for Trichophyton verrucosum (strain HKI 0517)
| 產品貨號 | 產品名稱 | 來源 |
|---|---|---|
| CSB-YP520382TQC CSB-EP520382TQC CSB-BP520382TQC CSB-MP520382TQC CSB-EP520382TQC-B |
Recombinant Trichophyton verrucosum Probable dipeptidyl peptidase 4 (DPP4), partial | Yeast E.coli Baculovirus Mammalian cell In Vivo Biotinylation in E.coli |
DPP4 Proteins for Neosartorya fumigata (strain CEA10 / CBS 144.89 / FGSC A1163) (Aspergillus fumigatus)
| 產品貨號 | 產品名稱 | 來源 |
|---|---|---|
| CSB-YP534014NGT CSB-EP534014NGT CSB-BP534014NGT CSB-MP534014NGT CSB-EP534014NGT-B |
Recombinant Neosartorya fumigata Probable dipeptidyl peptidase 4 (dpp4), partial | Yeast E.coli Baculovirus Mammalian cell In Vivo Biotinylation in E.coli |
DPP4 Proteins for Aspergillus oryzae (strain ATCC 42149 / RIB 40) (Yellow koji mold)
| 產品貨號 | 產品名稱 | 來源 |
|---|---|---|
| CSB-YP647242DPA CSB-EP647242DPA CSB-BP647242DPA CSB-MP647242DPA CSB-EP647242DPA-B |
Recombinant Aspergillus oryzae Dipeptidyl peptidase 4 (dpp4), partial | Yeast E.coli Baculovirus Mammalian cell In Vivo Biotinylation in E.coli |
DPP4 Proteins for Emericella nidulans (strain FGSC A4 / ATCC 38163 / CBS 112.46 / NRRL 194 / M139) (Aspergillus nidulans)
| 產品貨號 | 產品名稱 | 來源 |
|---|---|---|
| CSB-YP688495EKF CSB-EP688495EKF CSB-BP688495EKF CSB-MP688495EKF CSB-EP688495EKF-B |
Recombinant Emericella nidulans Probable dipeptidyl peptidase 4 (dpp4), partial | Yeast E.coli Baculovirus Mammalian cell In Vivo Biotinylation in E.coli |
DPP4 Proteins for Trichophyton rubrum (Athlete's foot fungus) (Epidermophyton rubrum)
| 產品貨號 | 產品名稱 | 來源 |
|---|---|---|
| CSB-YP689284TQA CSB-EP689284TQA CSB-BP689284TQA CSB-MP689284TQA CSB-EP689284TQA-B |
Recombinant Trichophyton rubrum Dipeptidyl peptidase 4 (DPP4), partial | Yeast E.coli Baculovirus Mammalian cell In Vivo Biotinylation in E.coli |
DPP4 Proteins for Neosartorya fumigata (strain ATCC MYA-4609 / Af293 / CBS 101355 / FGSC A1100) (Aspergillus fumigatus)
| 產品貨號 | 產品名稱 | 來源 |
|---|---|---|
| CSB-YP700398NGS CSB-EP700398NGS CSB-BP700398NGS CSB-MP700398NGS CSB-EP700398NGS-B |
Recombinant Neosartorya fumigata Probable dipeptidyl peptidase 4 (dpp4), partial | Yeast E.coli Baculovirus Mammalian cell In Vivo Biotinylation in E.coli |
DPP4 Proteins for Felis catus (Cat) (Felis silvestris catus)
| 產品貨號 | 產品名稱 | 來源 |
|---|---|---|
| CSB-YP882019CA CSB-EP882019CA CSB-BP882019CA CSB-MP882019CA CSB-EP882019CA-B |
Recombinant Cat Dipeptidyl peptidase 4 (DPP4), partial | Yeast E.coli Baculovirus Mammalian cell In Vivo Biotinylation in E.coli |
DPP4 ELISA Kit
DPP4 ELISA Kit for Homo sapiens (Human)
| 產品貨號 | 產品名稱 | 樣本類型 | 靈敏度 |
|---|---|---|---|
| CSB-E08518h | Human dipeptidyl peptidase Ⅳ,DPPⅣ ELISA Kit | serum, plasma, tissue homogenates | 0.39 ng/mL |
DPP4 ELISA Kit for Mus musculus (Mouse)
| 產品貨號 | 產品名稱 | 樣本類型 | 靈敏度 |
|---|---|---|---|
| CSB-E08520m | Mouse dipeptidyl peptldase Ⅳ,DPPⅣ ELISA Kit | serum, plasma, tissue homogenates | 0.078 ng/ml |
DPP4 ELISA Kit for Rattus norvegicus (Rat)
| 產品貨號 | 產品名稱 | 樣本類型 | 靈敏度 |
|---|---|---|---|
| CSB-E08519r | Rat dipeptidyl peptldase Ⅳ,DPPⅣ ELISA Kit | serum, plasma, tissue homogenates | 0.195 ng/mL |






