DNMT3A
DNMT3A,即DNA甲基轉移酶3α,別名TBRS、HESJAS。DNMT3A是DNA甲基轉移酶家族的一員,負責催化DNA的從頭甲基化,即在DNA序列中添加甲基基團到胞嘧啶的第五碳原子上。這一過程對基因表達調控、胚胎發育、印記以及X染色體失活等生理過程至關重要。DNMT3A的N端PWWP結構域與染色質相互作用,可結合多種轉錄抑制物,如輔抑制物RP58、致癌因子PML-RAR或異染色質蛋白HP1B,并與DNMT1相互作用,活化組蛋白去乙酰化酶HDAC1,導致組蛋白脫乙酰化及基因轉錄抑制。DNMT3A與腫瘤的產生和進展密切相關,其基因突變可能導致細胞基因組DNA異常甲基化,包括基因組DNA總體甲基化水平降低,影響基因表達和細胞功能,與急性髓系白血病等多種血液系統疾病的發生發展密切相關。
熱銷產品
Recombinant Human DNA (cytosine-5)-methyltransferase 3A (DNMT3A) (CSB-EP897314HU(F3))
驗證數據
(Tris-Glycine gel) Discontinuous SDS-PAGE (reduced) with 5% enrichment gel and 15% separation gel.
DNMT3A Antibody (CSB-PA007083LA01HU)
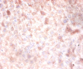
驗證數據
Immunohistochemistry of paraffin-embedded mouse liver tissue using CSB-PA007083LA01HU at dilution of 1:100
Immunofluorescent analysis of HepG2 cells using CSB-PA007083LA01HU at dilution of 1:100 and Alexa Fluor 488-congugated AffiniPure Goat Anti-Rabbit IgG(H+L)
DNMT3A Antibodies
DNMT3A for Homo sapiens (Human)
| 產品貨號 | 產品名稱 | 種屬反應性 | 應用類型 |
|---|---|---|---|
| CSB-PA007083LA01HU | DNMT3A Antibody | Human | ELISA, IHC, IF |
| CSB-PA007083GA01HU | DNMT3A Antibody | Human,Mouse,Rat | ELISA,WB |
| CSB-PA094007 | DNMT3A Antibody | Human,Mouse,Rat | ELISA,IHC |
| CSB-PA632606 | DNMT3A Antibody | Human,Mouse,Rat | ELISA,IHC |
| CSB-PA522891 | DNMT3A Antibody | Human,Mouse,Rat | ELISA,IHC |
DNMT3A Proteins
DNMT3A Proteins for Mus musculus (Mouse)
| 產品貨號 | 產品名稱 | 來源 |
|---|---|---|
| CSB-YP007083MO CSB-EP007083MO CSB-BP007083MO CSB-MP007083MO CSB-EP007083MO-B |
Recombinant Mouse DNA (cytosine-5)-methyltransferase 3A (Dnmt3a), partial | Yeast E.coli Baculovirus Mammalian cell In Vivo Biotinylation in E.coli |
DNMT3A Proteins for Rattus norvegicus (Rat)
| 產品貨號 | 產品名稱 | 來源 |
|---|---|---|
| CSB-YP633132RA CSB-EP633132RA CSB-BP633132RA CSB-MP633132RA CSB-EP633132RA-B |
Recombinant Rat DNA (cytosine-5)-methyltransferase 3A (Dnmt3a), partial | Yeast E.coli Baculovirus Mammalian cell In Vivo Biotinylation in E.coli |
DNMT3A Proteins for Gallus gallus (Chicken)
| 產品貨號 | 產品名稱 | 來源 |
|---|---|---|
| CSB-YP690180CH CSB-EP690180CH CSB-BP690180CH CSB-MP690180CH CSB-EP690180CH-B |
Recombinant Chicken DNA (cytosine-5)-methyltransferase 3A (DNMT3A), partial | Yeast E.coli Baculovirus Mammalian cell In Vivo Biotinylation in E.coli |
DNMT3A Proteins for Homo sapiens (Human)
| 產品貨號 | 產品名稱 | 來源 |
|---|---|---|
| CSB-YP897314HU CSB-BP897314HU CSB-MP897314HU CSB-EP897314HU-B |
Recombinant Human DNA (cytosine-5)-methyltransferase 3A (DNMT3A), partial | Yeast Baculovirus Mammalian cell In Vivo Biotinylation in E.coli |
| CSB-EP897314HU | Recombinant Human DNA (cytosine-5)-methyltransferase 3A (DNMT3A), partial | E.coli |
| CSB-EP897314HU(F3) | Recombinant Human DNA (cytosine-5)-methyltransferase 3A (DNMT3A) | E.coli |




