DDR2
DDR2,全稱為雙倍數據速率同步動態隨機存取存儲器蛋白,是一種調節組織重塑不可或缺的酪氨酸激酶,可作為纖維膠原的細胞表面受體,控制細胞分化、細胞外基質重塑、細胞遷移和增殖。DDR2蛋白在正常骨骼發育中起著至關重要的作用。DDR2蛋白的表達與多種腫瘤細胞表面相關,如肺癌、前列腺癌、肝癌、乳腺癌等,因此成為腫瘤治療中的研究熱點。目前,針對DDR2蛋白的藥物研發取得了一定的進展,例如靶向DDR2的多肽類藥物,其能夠特異性地識別和結合DDR2蛋白,從而抑制腫瘤細胞的生長和轉移。此外,也有一些DDR2蛋白抑制劑被開發出來,用于治療腫瘤和其他疾病。
熱銷產品
DDR2 Recombinant Monoclonal Antibody (CSB-RA289302A0HU)
驗證數據
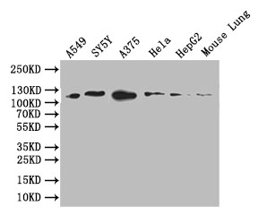
Western Blot
Positive WB detected in: A549 whole cell lysate, SY5Y whole cell lysate, A375 whole cell lysate, HEPG2 whole cell lysate, Mouse Lung tissue lysate
All lanes: DDR2 antibody at 1:1000
Secondary
Goat polyclonal to rabbit IgG at 1/50000 dilution
Predicted band size: 96 kDa
Observed band size: 110 kDa
DDR2 Antibodies
DDR2 for Homo sapiens (Human)
| 產品貨號 | 產品名稱 | 種屬反應性 | 應用類型 |
|---|---|---|---|
| CSB-PA223476 | DDR2 Antibody | Human,Mouse | ELISA,IHC |
| CSB-PA554127 | DDR2 Antibody | Human,Mouse | ELISA,IHC |
| CSB-PA365384 | DDR2 Antibody | Human,Mouse | IHC,ELISA |
| CSB-PA620985LA01HU | DDR2 Antibody | Human, Mouse | ELISA, WB, IHC, IF |
| CSB-RA289302A0HU | DDR2 Recombinant Monoclonal Antibody | Human, Mouse | ELISA, WB |
DDR2 Proteins
DDR2 Proteins for Homo sapiens (Human)
| 產品貨號 | 產品名稱 | 來源 |
|---|---|---|
| CSB-YP620985HU CSB-EP620985HU CSB-BP620985HU CSB-MP620985HU CSB-EP620985HU-B |
Recombinant Human Discoidin domain-containing receptor 2 (DDR2), partial | Yeast E.coli Baculovirus Mammalian cell In Vivo Biotinylation in E.coli |






