CYP11A1
CYP11A1,即細胞色素P450家族11亞家族A1,別名P450scc、CYPXIA1、CYPXI等。它是一種由CYP11A1基因編碼的酶,屬于細胞色素P450超家族成員,在腎上腺皮質細胞中表達。CYP11A1的作用機制涉及催化膽固醇側鏈的裂解,是合成類固醇激素的第一步,將膽固醇轉化為孕烯醇酮。CYP11A1參與了腎上腺皮質激素的生物合成過程,包括皮質醇、醛固酮和性激素等。CYP11A1的活性對于維持正常的生理功能和應對壓力至關重要。此外,CYP11A1的功能異常與某些疾病有關,如腎上腺增生、腎上腺皮質癌等。
熱銷產品
驗證數據
(Tris-Glycine gel) Discontinuous SDS-PAGE (reduced) with 5% enrichment gel and 15% separation gel.
CYP11A1 Antibody (CSB-PA006389LA01HU)
驗證數據
Western blot
All lanes: CYP11A1 antibody at 2µg/ml + Rat adrenal gland tissue
Secondary
Goat polyclonal to rabbit IgG at 1/10000 dilution
Predicted band size: 61, 43 kDa
Observed band size: 61 kDa
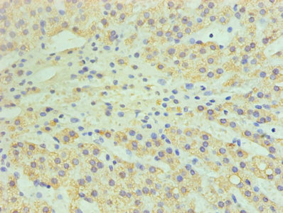
Immunohistochemistry of paraffin-embedded human adrenal gland tissue using CSB-PA006389LA01HU at dilution of 1:100
CYP11A1 Antibodies
CYP11A1 for Homo sapiens (Human)
| 產品貨號 | 產品名稱 | 種屬反應性 | 應用類型 |
|---|---|---|---|
| CSB-PA006389GA01HU | CYP11A1 Antibody | Human,Mouse,Rat | ELISA,WB |
| CSB-PA006389LA01HU | CYP11A1 Antibody | Human, Rat | ELISA, WB, IHC |
| CSB-PA914189 | CYP11A1 Antibody | Human | ELISA,WB |
| CSB-PA005154 | CYP11A1 Antibody | Human | WB, ELISA |
| CSB-PA007585 | CYP11A1 Antibody | Human | WB, ELISA |
| CSB-PA048582 | CYP11A1 Antibody | Human | ELISA,WB |
| CSB-PA898841 | CYP11A1 Antibody | Human | ELISA,IHC |
CYP11A1 Proteins
CYP11A1 Proteins for Homo sapiens (Human)
| 產品貨號 | 產品名稱 | 來源 |
|---|---|---|
| CSB-YP006389HU CSB-BP006389HU CSB-MP006389HU |
Recombinant Human Cholesterol side-chain cleavage enzyme, mitochondrial (CYP11A1) | Yeast Baculovirus Mammalian cell |
| CSB-EP006389HU | Recombinant Human Cholesterol side-chain cleavage enzyme, mitochondrial (CYP11A1) | E.coli |
| CSB-EP006389HU-B | Recombinant Human Cholesterol side-chain cleavage enzyme, mitochondrial (CYP11A1),Biotinylated | E.coli |






