CUL5
CUL5,全稱為Cullin 5,是一種在細胞中發揮重要作用的蛋白。它也被稱為CUL-5、VACM1和VACM-1。CUL5蛋白主要參與調控細胞周期、DNA復制和信號轉導等過程。在腫瘤發生發展中,CUL5蛋白的表達異常與多種癌癥相關,如肺癌、乳腺癌和淋巴瘤等。近年來,針對CUL5蛋白的藥物研發取得了顯著進展,例如開發出能夠抑制CUL5蛋白活性或阻斷其與底物結合的小分子抑制劑,這些抑制劑在抗腫瘤治療中展現出良好的應用前景。
熱銷產品
Recombinant Human Cullin-5 (CUL5) (CSB-EP835890HU)
驗證數據
(Tris-Glycine gel) Discontinuous SDS-PAGE (reduced) with 5% enrichment gel and 15% separation gel.
CUL5 Antibody (CSB-PA835890ESR1HU)
驗證數據
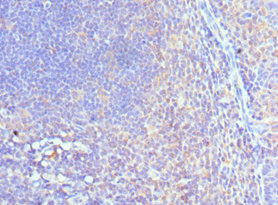
Immunohistochemistry of paraffin-embedded human tonsil tissue using CSB-PA835890ESR1HU at dilution of 1:100
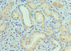
Immunohistochemistry of paraffin-embedded human kidney tissue using CSB-PA835890ESR1HU at dilution of 1:100
CUL5 Antibodies
CUL5 for Homo sapiens (Human)
| 產品貨號 | 產品名稱 | 種屬反應性 | 應用類型 |
|---|---|---|---|
| CSB-PA835890ESR1HU | CUL5 Antibody | Human | ELISA, IHC |
| CSB-PA835890ESR2HU | CUL5 Antibody | Human | ELISA, IHC |
| CSB-PA113726 | CUL5 Antibody | Human,Mouse,Rat | ELISA,IHC |
CUL5 Proteins
CUL5 Proteins for Oryctolagus cuniculus (Rabbit)
| 產品貨號 | 產品名稱 | 來源 |
|---|---|---|
| CSB-YP640905RB CSB-EP640905RB CSB-BP640905RB CSB-MP640905RB CSB-EP640905RB-B |
Recombinant Rabbit Cullin-5 (CUL5), partial | Yeast E.coli Baculovirus Mammalian cell In Vivo Biotinylation in E.coli |
CUL5 Proteins for Pongo abelii (Sumatran orangutan)
| 產品貨號 | 產品名稱 | 來源 |
|---|---|---|
| CSB-YP719223PYX CSB-EP719223PYX CSB-BP719223PYX CSB-MP719223PYX CSB-EP719223PYX-B |
Recombinant Pongo abelii Cullin-5 (CUL5), partial | Yeast E.coli Baculovirus Mammalian cell In Vivo Biotinylation in E.coli |
CUL5 Proteins for Homo sapiens (Human)
| 產品貨號 | 產品名稱 | 來源 |
|---|---|---|
| CSB-YP835890HU CSB-BP835890HU CSB-MP835890HU CSB-EP835890HU-B |
Recombinant Human Cullin-5 (CUL5) | Yeast Baculovirus Mammalian cell In Vivo Biotinylation in E.coli |
| CSB-EP835890HU | Recombinant Human Cullin-5 (CUL5) | E.coli |
CUL5 Proteins for Rattus norvegicus (Rat)
| 產品貨號 | 產品名稱 | 來源 |
|---|---|---|
| CSB-YP872849RA CSB-EP872849RA CSB-BP872849RA CSB-MP872849RA CSB-EP872849RA-B |
Recombinant Rat Cullin-5 (Cul5) | Yeast E.coli Baculovirus Mammalian cell In Vivo Biotinylation in E.coli |
CUL5 Proteins for Mus musculus (Mouse)
| 產品貨號 | 產品名稱 | 來源 |
|---|---|---|
| CSB-YP880502MO CSB-EP880502MO CSB-BP880502MO CSB-MP880502MO CSB-EP880502MO-B |
Recombinant Mouse Cullin-5 (Cul5) | Yeast E.coli Baculovirus Mammalian cell In Vivo Biotinylation in E.coli |






