CTSS
CTSS,即組織蛋白酶S,別名CathepsinS、Cats、CatS。CTSS由人類CTSS基因編碼,該基因位于1號染色體的1q21.3區域。CTSS是一種溶酶體半胱氨酸蛋白酶,屬于肽酶C1家族,參與將抗原蛋白降解為肽以呈遞到MHCII類分子上。CTSS還具有彈性蛋白酶活性,在細胞外可以重塑細胞外基質的成分。CTSS與多種炎癥和自身免疫性疾病的病理學有關,并且由于其彈性蛋白酶活性,在某些肺部疾病中起著重要作用。CTSS的異常表達和調節與包括肺部疾病在內的多種疾病的發病機制有關,例如肺纖維化,CTSS過表達導致多種病理過程,包括肺纖維化,CTSS分泌增加和細胞外基質重塑加速。
熱銷產品
Recombinant Human Cathepsin S (CTSS) (CSB-EP006204HU)
驗證數據
(Tris-Glycine gel) Discontinuous SDS-PAGE (reduced) with 5% enrichment gel and 15% separation gel.
CTSS Recombinant Monoclonal Antibody (CSB-RA788455A0HU)
驗證數據
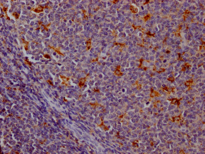
IHC image of CSB-RA788455A0HU diluted at 1:100 and staining in paraffin-embedded human tonsil tissue performed on a Leica BondTM system. After dewaxing and hydration, antigen retrieval was mediated by high pressure in a citrate buffer (pH 6.0). Section was blocked with 10% normal goat serum 30min at RT. Then primary antibody (1% BSA) was incubated at 4℃ overnight. The primary is detected by a Goat anti-rabbit IgG polymer labeled by HRP and visualized using 0.05% DAB.
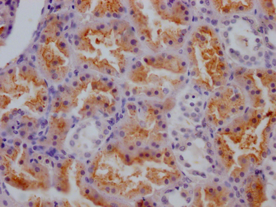
IHC image of CSB-RA788455A0HU diluted at 1:100 and staining in paraffin-embedded human kidney tissue performed on a Leica BondTM system. After dewaxing and hydration, antigen retrieval was mediated by high pressure in a citrate buffer (pH 6.0). Section was blocked with 10% normal goat serum 30min at RT. Then primary antibody (1% BSA) was incubated at 4℃ overnight. The primary is detected by a Goat anti-rabbit IgG polymer labeled by HRP and visualized using 0.05% DAB.
Human Cathepsin S (CTSS) ELISA Kit (CSB-E13722h)
驗證數據
貨號:CSB-E13722h
規格:96T/48T
靈敏度:15.6 pg/mL
檢測范圍:62.5 pg/mL- 4000 pg/mL
These standard curves are provided for demonstration only. A standard curve should be generated for each set of samples assayed.
CTSS Antibodies
CTSS for Homo sapiens (Human)
| 產品貨號 | 產品名稱 | 種屬反應性 | 應用類型 |
|---|---|---|---|
| CSB-PA10729A0Rb | CTSS Antibody | Human | ELISA, WB, IHC |
| CSB-RA788455A0HU | CTSS Recombinant Monoclonal Antibody | Human | ELISA, IHC |
CTSS for Mus musculus (Mouse)
| 產品貨號 | 產品名稱 | 種屬反應性 | 應用類型 |
|---|---|---|---|
| CSB-PA006204LA01MO | Ctss Antibody | Mouse | ELISA |
| CSB-PA006204LB01MO | Ctss Antibody, HRP conjugated | Mouse | ELISA |
CTSS Proteins
CTSS Proteins for Rattus norvegicus (Rat)
| 產品貨號 | 產品名稱 | 來源 |
|---|---|---|
| CSB-YP006204RA CSB-EP006204RA CSB-BP006204RA CSB-MP006204RA CSB-EP006204RA-B |
Recombinant Rat Cathepsin S (Ctss) | Yeast E.coli Baculovirus Mammalian cell In Vivo Biotinylation in E.coli |
CTSS Proteins for Homo sapiens (Human)
| 產品貨號 | 產品名稱 | 來源 |
|---|---|---|
| CSB-YP006204HU CSB-BP006204HU CSB-MP006204HU CSB-EP006204HU-B |
Recombinant Human Cathepsin S (CTSS) | Yeast Baculovirus Mammalian cell In Vivo Biotinylation in E.coli |
| CSB-EP006204HU | Recombinant Human Cathepsin S (CTSS) | E.coli |
CTSS Proteins for Bos taurus (Bovine)
| 產品貨號 | 產品名稱 | 來源 |
|---|---|---|
| CSB-YP006204BO CSB-EP006204BO CSB-BP006204BO CSB-MP006204BO CSB-EP006204BO-B |
Recombinant Bovine Cathepsin S (CTSS) | Yeast E.coli Baculovirus Mammalian cell In Vivo Biotinylation in E.coli |
CTSS Proteins for Mus musculus (Mouse)
| 產品貨號 | 產品名稱 | 來源 |
|---|---|---|
| CSB-YP006204MO CSB-BP006204MO CSB-MP006204MO CSB-EP006204MO-B |
Recombinant Mouse Cathepsin S (Ctss) | Yeast Baculovirus Mammalian cell In Vivo Biotinylation in E.coli |
| CSB-EP006204MO | Recombinant Mouse Cathepsin S (Ctss) | E.coli |
CTSS Proteins for Canis familiaris (Dog) (Canis lupus familiaris)
| 產品貨號 | 產品名稱 | 來源 |
|---|---|---|
| CSB-YP006204DO CSB-EP006204DO CSB-BP006204DO CSB-MP006204DO CSB-EP006204DO-B |
Recombinant Dog Cathepsin S (CTSS) | Yeast E.coli Baculovirus Mammalian cell In Vivo Biotinylation in E.coli |
CTSS Proteins for Saimiri boliviensis boliviensis (Bolivian squirrel monkey)
| 產品貨號 | 產品名稱 | 來源 |
|---|---|---|
| CSB-YP006204SWC CSB-BP006204SWC CSB-MP006204SWC CSB-EP006204SWC-B |
Recombinant Saimiri boliviensis boliviensis Cathepsin S (CTSS) | Yeast Baculovirus Mammalian cell In Vivo Biotinylation in E.coli |
CTSS ELISA Kit
CTSS ELISA Kit for Homo sapiens (Human)
| 產品貨號 | 產品名稱 | 樣本類型 | 靈敏度 |
|---|---|---|---|
| CSB-E13722h | Human Cathepsin S (CTSS) ELISA Kit | serum, plasma, tissue homogenates | 15.6 pg/mL |
CTSS ELISA Kit for Mus musculus (Mouse)
| 產品貨號 | 產品名稱 | 樣本類型 | 靈敏度 |
|---|---|---|---|
| CSB-EL006204MO | Mouse Cathepsin S(CTSS) ELISA kit | serum, plasma, tissue homogenates, cell lysates | 7.8 pg/mL |
CTSS ELISA Kit for Rattus norvegicus (Rat)
| 產品貨號 | 產品名稱 | 樣本類型 | 靈敏度 |
|---|---|---|---|
| CSB-EL006204RA | Rat Cathepsin S(CTSS) ELISA kit | serum, plasma, tissue homogenates, cell lysates | 3.9 pg/mL |






