CTSL
組織蛋白酶L(CTSL)是一種在人體內發揮重要作用的蛋白酶。它的全稱是cathepsin L,常見的別名包括CTSL1和MEP。CTSL蛋白主要存在于溶酶體中,負責細胞內蛋白質的分解代謝。它能夠水解多種底物,包括膠原蛋白、彈性蛋白和α-1蛋白酶抑制劑等,這些底物與多種生理過程密切相關。例如,CTSL參與抗原加工和提呈,這對于免疫系統的正常運作至關重要;它還與細胞凋亡、細胞分化以及腫瘤的發生發展有關。研究表明,CTSL在多種疾病中發揮作用,包括癌癥、心血管疾病和神經系統疾病等。因此,CTSL成為藥物研發的重要靶點。目前,已有多種CTSL抑制劑被開發出來,用于治療癌癥、病毒感染等疾病。其中,Phelix Therapeutics公司研發的cathepsin L inhibitors是一種針對CTSL的小分子藥物,正在用于治療冠狀病毒感染。此外,還有研究表明,CTSL抑制劑在抗腫瘤、抗病毒等方面具有潛在的應用價值。
熱銷產品
Recombinant Human Procathepsin L (CTSL) (Active) (CSB-MP006193HU(A4))
驗證數據
(Tris-Glycine gel) Discontinuous SDS-PAGE (reduced) with 5% enrichment gel and 15% separation gel.
Activity
Measured by its ability to cleave the fluorogenic peptide substrate Z-LR-AMC, The specific activity is >32000 pmol/ min/μg.
CTSL Recombinant Monoclonal Antibody (CSB-RA006193MA1HU)
驗證數據
IHC image of CSB-RA006193MA1HU diluted at 1:30 and staining in paraffin-embedded human liver cancer performed on a Leica BondTM system. After dewaxing and hydration, antigen retrieval was mediated by high pressure in a citrate buffer (pH 6.0). Section was blocked with 10% normal goat serum 30min at RT. Then primary antibody (1% BSA) was incubated at 4°C overnight. The primary is detected by a Goat anti-Mouse IgG labeled by HRP and visualized using 0.05% DAB.
IHC image of CSB-RA006193MA1HU diluted at 1:30 and staining in paraffin-embedded human placenta tissue performed on a Leica BondTM system. After dewaxing and hydration, antigen retrieval was mediated by high pressure in a citrate buffer (pH 6.0). Section was blocked with 10% normal goat serum 30min at RT. Then primary antibody (1% BSA) was incubated at 4°C overnight. The primary is detected by a Goat anti-Mouse IgG labeled by HRP and visualized using 0.05% DAB.
Immunofluorescence staining of NIH/3T3 cell with CSB-RA006193MA1HU at 1:10, counter-stained with DAPI. The cells were fixed in 4% formaldehyde and blocked in 10% normal Goat Serum. The cells were then incubated with the antibody overnight at 4C. The secondary antibody was FITC-conjugated AffiniPure Goat Anti-Mouse IgG(H+L).
CTSL Antibody (CSB-PA11499A0Rb)
驗證數據
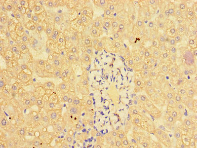
Immunohistochemistry of paraffin-embedded human liver tissue using CSB-PA11499A0Rb at dilution of 1:100
Immunofluorescent analysis of HepG2 cells using CSB-PA11499A0Rb at dilution of 1:100 and Alexa Fluor 488-congugated AffiniPure Goat Anti-Rabbit IgG(H+L)
CTSL Antibodies
CTSL for Chlorocebus aethiops
| 產品貨號 | 產品名稱 | 種屬反應性 | 應用類型 |
|---|---|---|---|
| CSB-PA006193LA01DSU | CTSL Antibody | Chlorocebus aethiops, Human | ELISA, WB |
CTSL for Homo sapiens (Human)
| 產品貨號 | 產品名稱 | 種屬反應性 | 應用類型 |
|---|---|---|---|
| CSB-PA000034 | Cleaved-CTSL (T288) Antibody | Human | WB, ELISA |
| CSB-PA004835 | CTSL Antibody | Human | WB, ELISA |
| CSB-PA996311 | CTSL Antibody | Human | ELISA,IHC |
| CSB-PA092272 | CTSL Antibody | Human,Mouse | ELISA,WB,IHC |
| CSB-PA11499A0Rb | CTSL Antibody | Human | ELISA, IHC, IF |
| CSB-RA006193MA1HU | CTSL Recombinant Monoclonal Antibody | Human | ELISA, IHC, IF |
CTSL Proteins
CTSL Proteins for Felis catus (Cat) (Felis silvestris catus)
| 產品貨號 | 產品名稱 | 來源 |
|---|---|---|
| CSB-YP006193CA CSB-EP006193CA CSB-BP006193CA CSB-MP006193CA CSB-EP006193CA-B |
Recombinant Cat Cathepsin L1 (CTSL1) | Yeast E.coli Baculovirus Mammalian cell In Vivo Biotinylation in E.coli |
CTSL Proteins for Bos taurus (Bovine)
| 產品貨號 | 產品名稱 | 來源 |
|---|---|---|
| CSB-YP006193BO CSB-EP006193BO CSB-BP006193BO CSB-MP006193BO CSB-EP006193BO-B |
Recombinant Bovine Cathepsin L1 (CTSL1) | Yeast E.coli Baculovirus Mammalian cell In Vivo Biotinylation in E.coli |
CTSL Proteins for Mus musculus (Mouse)
| 產品貨號 | 產品名稱 | 來源 |
|---|---|---|
| CSB-YP006193MO CSB-BP006193MO CSB-MP006193MO CSB-EP006193MO-B |
Recombinant Mouse Cathepsin L1 (Ctsl1), partial | Yeast Baculovirus Mammalian cell In Vivo Biotinylation in E.coli |
| CSB-EP006193MO | Recombinant Mouse Cathepsin L1 (Ctsl1), partial | E.coli |
CTSL Proteins for Rattus norvegicus (Rat)
| 產品貨號 | 產品名稱 | 來源 |
|---|---|---|
| CSB-YP006193RA CSB-EP006193RA CSB-BP006193RA CSB-MP006193RA CSB-EP006193RA-B |
Recombinant Rat Procathepsin L (Ctsl), partial | Yeast E.coli Baculovirus Mammalian cell In Vivo Biotinylation in E.coli |
CTSL Proteins for Homo sapiens (Human)
| 產品貨號 | 產品名稱 | 來源 |
|---|---|---|
| CSB-YP006193HU CSB-EP006193HU CSB-BP006193HU CSB-MP006193HU CSB-EP006193HU-B |
Recombinant Human Cathepsin L1 (CTSL1), partial | Yeast E.coli Baculovirus Mammalian cell In Vivo Biotinylation in E.coli |
| CSB-MP006193HU(A4) | Recombinant Human Procathepsin L (CTSL) (Active) | Mammalian cell |
CTSL Proteins for Gallus gallus (Chicken)
| 產品貨號 | 產品名稱 | 來源 |
|---|---|---|
| CSB-YP006193CH CSB-EP006193CH CSB-BP006193CH CSB-MP006193CH CSB-EP006193CH-B |
Recombinant Chicken Cathepsin L1 (CTSL1) | Yeast E.coli Baculovirus Mammalian cell In Vivo Biotinylation in E.coli |
CTSL Proteins for Chlorocebus aethiops (Green monkey) (Cercopithecus aethiops)
| 產品貨號 | 產品名稱 | 來源 |
|---|---|---|
| CSB-YP006193DSU CSB-BP006193DSU CSB-MP006193DSU CSB-EP006193DSU-B |
Recombinant Chlorocebus aethiops Cathepsin L1 (CTSL1) | Yeast Baculovirus Mammalian cell In Vivo Biotinylation in E.coli |
| CSB-EP006193DSU | Recombinant Chlorocebus aethiops Cathepsin L1 (CTSL1), partial | E.coli |
CTSL Proteins for Canis familiaris (Dog) (Canis lupus familiaris)
| 產品貨號 | 產品名稱 | 來源 |
|---|---|---|
| CSB-YP006193DO CSB-EP006193DO CSB-BP006193DO CSB-MP006193DO CSB-EP006193DO-B |
Recombinant Dog Cathepsin L1 (CTSL1) | Yeast E.coli Baculovirus Mammalian cell In Vivo Biotinylation in E.coli |
CTSL Proteins for Ovis aries (Sheep)
| 產品貨號 | 產品名稱 | 來源 |
|---|---|---|
| CSB-YP006193SH CSB-EP006193SH CSB-BP006193SH CSB-MP006193SH CSB-EP006193SH-B |
Recombinant Sheep Cathepsin L1 (CTSL) | Yeast E.coli Baculovirus Mammalian cell In Vivo Biotinylation in E.coli |
CTSL Proteins for Sus scrofa (Pig)
| 產品貨號 | 產品名稱 | 來源 |
|---|---|---|
| CSB-YP006193PI CSB-EP006193PI CSB-BP006193PI CSB-MP006193PI CSB-EP006193PI-B |
Recombinant Pig Cathepsin L1 (CTSL1) | Yeast E.coli Baculovirus Mammalian cell In Vivo Biotinylation in E.coli |
CTSL ELISA Kit
CTSL ELISA Kit for Homo sapiens (Human)
| 產品貨號 | 產品名稱 | 樣本類型 | 靈敏度 |
|---|---|---|---|
| CSB-E17971h | Human Cathepsin L1 (CTSL1/CTSL) ELISA kit | serum, plasma, tissue homogenates | 0.078 ng/mL |
CTSL ELISA Kit for Mus musculus (Mouse)
| 產品貨號 | 產品名稱 | 樣本類型 | 靈敏度 |
|---|---|---|---|
| CSB-EL006193MO | Mouse Cathepsin L1(CTSL1) ELISA kit | serum, plasma, tissue homogenates, cell lysates | 19.5 pg/mL |
CTSL ELISA Kit for Rattus norvegicus (Rat)
| 產品貨號 | 產品名稱 | 樣本類型 | 靈敏度 |
|---|---|---|---|
| CSB-EL006193RA | Rat Cathepsin L1(CTSL1) ELISA kit | serum, plasma, tissue homogenates, cell lysates | 1.56 pg/mL |






