CTNNB1
CTNNB1,別名Armadillo、NEDSDV、MRD19、EVR7等。CTNNB1基因位于3號染色體上,編碼的蛋白質β-連環蛋白是細胞黏附復合物的重要成分,在上皮細胞中形成粘附連接并介導多種組織的細胞間粘附。CTNNB1在Wnt信號通路中扮演關鍵角色,控制細胞生長和分化。在沒有Wnt信號時,β-連環蛋白被磷酸化后泛素化,并被蛋白酶體降解。Wnt信號存在時,β-連環蛋白積累并在細胞核內與TCF/LEF家族轉錄因子結合,激活下游基因表達。CTNNB1的突變或異常激活與多種腫瘤的發生發展有關,包括結直腸癌、卵巢癌、肝細胞癌等,是腫瘤治療的重要靶點。
熱銷產品
CTNNB1 Recombinant Monoclonal Antibody (CSB-RA155605A0HU)
驗證數據
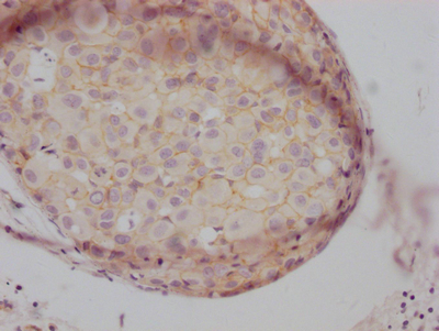
IHC image of CSB-RA155605A0HU diluted at 1:100 and staining in paraffin-embedded human breast cancer performed on a Leica BondTM system. After dewaxing and hydration, antigen retrieval was mediated by high pressure in a citrate buffer (pH 6.0). Section was blocked with 10% normal goat serum 30min at RT. Then primary antibody (1% BSA) was incubated at 4℃ overnight. The primary is detected by a Goat anti-rabbit IgG polymer labeled by HRP and visualized using 0.05% DAB.
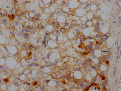
IHC image of CSB-RA155605A0HU diluted at 1:100 and staining in paraffin-embedded human liver cancer performed on a Leica BondTM system. After dewaxing and hydration, antigen retrieval was mediated by high pressure in a citrate buffer (pH 6.0). Section was blocked with 10% normal goat serum 30min at RT. Then primary antibody (1% BSA) was incubated at 4℃ overnight. The primary is detected by a Goat anti-rabbit IgG polymer labeled by HRP and visualized using 0.05% DAB.
CTNNB1 Antibodies
CTNNB1 for Homo sapiens (Human)
| 產品貨號 | 產品名稱 | 種屬反應性 | 應用類型 |
|---|---|---|---|
| CSB-PA00174A0Rb | CTNNB1 Antibody | Human | ELISA, WB, IHC, IF, IP |
| CSB-PA00174B0Rb | CTNNB1 Antibody, HRP conjugated | Human | ELISA |
| CSB-PA006169GA01HU | CTNNB1 Antibody | Human,Mouse,Rat,Zebrafish | ELISA,WB,IHC |
| CSB-PA271248 | Phospho-CTNNB1 (Thr41/Ser45) Antibody | Human,Mouse,Rat | ELISA,WB |
| CSB-PA978882 | Phospho-CTNNB1 (Ser33) Antibody | Human,Mouse,Rat | ELISA,WB,IHC,IF |
| CSB-PA596316 | Phospho-CTNNB1 (Ser37) Antibody | Human,Mouse,Rat | ELISA,WB,IHC |
| CSB-PA084843 | CTNNB1 (Ab-41/45) Antibody | Human,Mouse,Rat | ELISA,WB |
| CSB-PA271206 | CTNNB1 (Ab-33) Antibody | Human,Mouse,Rat | ELISA,WB,IHC,IF |
| CSB-PA118626 | CTNNB1 (Ab-37) Antibody | Human,Mouse,Rat | ELISA,WB,IHC,IF |
| CSB-PA134662 | CTNNB1 (Ab-654) Antibody | Human,Mouse,Rat | ELISA,WB |
| CSB-PA931695 | CTNNB1 Antibody | Human,Mouse,Rat | ELISA,WB |
| CSB-PA150703 | Phospho-CTNNB1 (Tyr333) Antibody | Human | ELISA,WB,IHC |
| CSB-PA029484 | Phospho-CTNNB1 (Tyr489) Antibody | Human,Mouse,Rat | ELISA,WB |
| CSB-PA915531 | CTNNB1 Antibody | Human,Mouse,Rat | ELISA,WB,IHC |
| CSB-PA064130 | Phospho-CTNNB1 (Tyr670) Antibody | Human,Mouse,Rat | ELISA,WB |
| CSB-PA000489 | Phospho-CTNNB1 (S37) Antibody | Human,Mouse,Rat | WB, IHC, IF, ELISA |
| CSB-PA000490 | Phospho-CTNNB1 (T41/S45) Antibody | Human,Mouse,Rat | WB, ELISA |
| CSB-PA000756 | Phospho-CTNNB1 (S552) Antibody | Human,Mouse,Rat | WB, ELISA |
| CSB-PA001269 | CTNNB1 Antibody | Human,Mouse,Rat | WB, IHC, IF, ELISA |
| CSB-PA001271 | CTNNB1 Antibody | Human,Mouse,Rat | WB, ELISA |
| CSB-PA001272 | CTNNB1 Antibody | Human,Mouse,Rat,Monkey | WB, IHC, IF, ELISA |
| CSB-PA001283 | CTNNB1 Antibody | Human,Mouse,Rat | WB, ELISA |
| CSB-PA001291 | CTNNB1 Antibody | Human,Mouse,Rat | WB, IHC, ELISA |
| CSB-PA001292 | CTNNB1 Antibody | Human,Mouse,Rat | WB, IHC, IF, ELISA |
| CSB-PA007419 | Phospho-CTNNB1 (S33) Antibody | Human,Mouse,Rat | IHC, IF, ELISA |
| CSB-PA007420 | Phospho-CTNNB1 (Y654) Antibody | Human,Mouse,Rat | WB, IHC, ELISA |
| CSB-PA007422 | Phospho-CTNNB1 (Y489) Antibody | Human,Mouse,Rat,Monkey | WB, IHC, ELISA |
| CSB-PA007423 | CTNNB1 Antibody | Human,Mouse,Rat | WB, ELISA |
| CSB-PA080139 | CTNNB1 Antibody | Mouse,Rat | WB |
| CSB-RA006169A33phHU | Phospho-CTNNB1 (S33/S37) Recombinant Monoclonal Antibody | Human | ELISA, IF |
| CSB-MA907551 | CTNNB1 Monoclonal Antibody | Human | ELISA, IHC |
| CSB-RA155605A0HU | CTNNB1 Recombinant Monoclonal Antibody | Human | ELISA, IHC |
| CSB-RA006169MA1HU | CTNNB1 Recombinant Monoclonal Antibody | Human | ELISA, IHC, IF, FC |
CTNNB1 for H, M, R
| 產品貨號 | 產品名稱 | 種屬反應性 | 應用類型 |
|---|---|---|---|
| CSB-MA000223 | CTNNB1 Monoclonal Antibody | Human,Mouse,Rat | ELISA,WB,IHC |
CTNNB1 for Human, Mouse, Rat
| 產品貨號 | 產品名稱 | 種屬反應性 | 應用類型 |
|---|---|---|---|
| CSB-MA080197 | CTNNB1 Monoclonal Antibody | Human,Mouse,Rat | ELISA,WB,IHC |
CTNNB1 Proteins
CTNNB1 Proteins for Homo sapiens (Human)
| 產品貨號 | 產品名稱 | 來源 |
|---|---|---|
| CSB-YP006169HU | Recombinant Human Catenin beta-1 (CTNNB1) | Yeast |
| CSB-EP006169HU | Recombinant Human Catenin beta-1 (CTNNB1) | E.coli |
| CSB-BP006169HU CSB-MP006169HU CSB-EP006169HU-B |
Recombinant Human Catenin beta-1 (CTNNB1) | Baculovirus Mammalian cell In Vivo Biotinylation in E.coli |
| CSB-EP006169HUa0 | Recombinant Human Catenin beta-1 (CTNNB1) | E.coli |
CTNNB1 Proteins for Xenopus laevis (African clawed frog)
| 產品貨號 | 產品名稱 | 來源 |
|---|---|---|
| CSB-YP335181XBE CSB-EP335181XBE CSB-BP335181XBE CSB-MP335181XBE CSB-EP335181XBE-B |
Recombinant Xenopus laevis Catenin beta (ctnnb1), partial | Yeast E.coli Baculovirus Mammalian cell In Vivo Biotinylation in E.coli |
CTNNB1 Proteins for Bos taurus (Bovine)
| 產品貨號 | 產品名稱 | 來源 |
|---|---|---|
| CSB-YP610827BO CSB-EP610827BO CSB-BP610827BO CSB-MP610827BO CSB-EP610827BO-B |
Recombinant Bovine Catenin beta-1 (CTNNB1), partial | Yeast E.coli Baculovirus Mammalian cell In Vivo Biotinylation in E.coli |
CTNNB1 Proteins for Rattus norvegicus (Rat)
| 產品貨號 | 產品名稱 | 來源 |
|---|---|---|
| CSB-YP892984RA CSB-EP892984RA CSB-BP892984RA CSB-MP892984RA CSB-EP892984RA-B |
Recombinant Rat Catenin beta-1 (Ctnnb1) | Yeast E.coli Baculovirus Mammalian cell In Vivo Biotinylation in E.coli |
CTNNB1 ELISA Kit
CTNNB1 ELISA Kit for Homo sapiens (Human)
| 產品貨號 | 產品名稱 | 樣本類型 | 靈敏度 |
|---|---|---|---|
| CSB-E08963h | Human Catenin beta-1 (CTNNB1/CTNNB/OK/SW-cl.35/PRO2286) ELISA kit | serum, plasma, cell culture supernates, tissue homogenates, cell lysates | 3.9 pg/mL |
CTNNB1 ELISA Kit for Mus musculus (Mouse)
| 產品貨號 | 產品名稱 | 樣本類型 | 靈敏度 |
|---|---|---|---|
| CSB-E11307m | Mouse β-catenin,β-cat ELISA Kit | serum, plasma, tissue homogenates, cell lysates | 0.039 ng/mL |






