CTBP1
CtBP1,全稱為C-末端結合蛋白1,是一種在細胞功能中發揮重要作用的轉錄輔抑制因子。該蛋白在基因表達調控中扮演關鍵角色,通過與多種蛋白質相互作用,如組蛋白去乙酰化酶、Smad6和轉錄抑制因子ZEB等,影響基因表達的調控網絡。CtBP1蛋白在多種生物過程中發揮作用,包括細胞增殖、分化和凋亡等。在疾病方面,CtBP1蛋白的異常表達或功能缺失與多種疾病相關,如癌癥、發育障礙等。在藥物研發領域,針對CtBP1蛋白的抑制劑被廣泛研究,以期用于癌癥治療和發育障礙的干預。例如,水楊酰肟酸、NADH二鈉鹽和托林1等化合物被用作CtBP1抑制劑,通過干擾CtBP1的功能,調節基因表達,從而影響細胞功能。CtBP1蛋白的研究有助于深入理解細胞功能的調控網絡,為疾病治療提供新的思路和方法。
熱銷產品
CTBP1 Recombinant Monoclonal Antibody (CSB-RA546965A0HU)
驗證數據
Western Blot
Positive WB detected in: SH-SY5Y whole cell lysate(30μg), Hela whole cell lysate(30μg), Jurkat whole cell lysate(30μg), NIH/3T3 whole cell lysate(30μg), Mouse brain tissue lysate(30μg)
All lanes: CtBP1 antibody at 1:1000
Secondary
Goat polyclonal to rabbit IgG at 1/40000 dilution
Predicted band size: 48 kDa
Observed band size: 48 kDa
Exposure time:2min
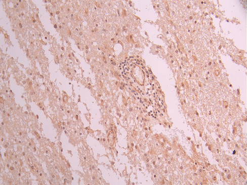
IHC image of CSB-RA546965A0HU diluted at 1:100 and staining in paraffin-embedded human glioma cancer performed on a Leica BondTM system. After dewaxing and hydration, antigen retrieval was mediated by high pressure in a citrate buffer (pH 6.0). Section was blocked with 10% normal goat serum 30min at RT. Then primary antibody (1% BSA) was incubated at 4°C overnight. The primary is detected by a Goat anti-rabbit polymer IgG labeled by HRP and visualized using 0.05% DAB.
Immunofluorescence staining of HepG2 cell with CSB-RA546965A0HU at 1:50, counter-stained with DAPI. The cells were fixed in 4% formaldehyde, permeabilized using 0.2% Triton X-100 and blocked in 10% normal Goat Serum. The cells were then incubated with the antibody overnight at 4°C. The secondary antibody was Alexa Fluor 488-congugated AffiniPure Goat Anti-Rabbit IgG(H+L).
Overlay Peak curve showing HepG2 cells stained with CSB-RA546965A0HU (red line) at 1:100. The cells were fixed in 4% formaldehyde and permeated by 0.2% TritonX-100 for 10min. Then 10% normal goat serum to block non-specific protein-protein interactions followed by the antibody (1ug/1*106cells) for 45min at 4℃. The secondary antibody used was FITC-conjugated goat anti-rabbit IgG (H+L) at 1/200 dilution for 35min at 4℃.Control antibody (green line) was Rabbit IgG (1ug/1*106cells) used under the same conditions. Acquisition of >10,000 events was performed.
CTBP1 Antibody (CSB-PA618772ESR1HU)
驗證數據
Western blot
All lanes: CTBP1 antibody at 6µg/ml + A549 whole cell lysate
Secondary
Goat polyclonal to rabbit IgG at 1/10000 dilution
Predicted band size: 48, 47 kDa
Observed band size: 48 kDa
CTBP1 Antibodies
CTBP1 for Homo sapiens (Human)
| 產品貨號 | 產品名稱 | 種屬反應性 | 應用類型 |
|---|---|---|---|
| CSB-PA006135GA01HU | CTBP1 Antibody | Human,Mouse,Rat | ELISA,WB,IHC |
| CSB-PA618772ESR1HU | CTBP1 Antibody | Human | ELISA, WB |
| CSB-PA442098 | Phospho-CTBP1 (Ser422) Antibody | Human,Mouse,Rat | ELISA,WB,IHC |
| CSB-PA278105 | CTBP1 (Ab-422) Antibody | Human,Mouse | ELISA,WB,IHC |
| CSB-PA007410 | Phospho-CTBP1 (S422) Antibody | Human,Mouse,Rat | WB, IHC, ELISA |
| CSB-PA007413 | CTBP1 Antibody | Human,Mouse,Rat | WB, IHC, ELISA |
| CSB-PA170398 | CTBP1 Antibody | Human,Mouse,Rat | ELISA,WB,IHC |
| CSB-PA783700 | CTBP1 Antibody | Human,Mouse,Rat | ELISA,WB,IHC |
| CSB-PA572404 | CTBP1 Antibody | Human,Mouse,Rat | ELISA,WB,IHC |
| CSB-PA243683 | CTBP1 Antibody | Human,Mouse,Rat | ELISA,WB,IHC |
| CSB-RA546965A0HU | CTBP1 Recombinant Monoclonal Antibody | Human, Mouse | ELISA, WB, IHC, IF, FC |
CTBP1 Proteins
CTBP1 Proteins for Mus musculus (Mouse)
| 產品貨號 | 產品名稱 | 來源 |
|---|---|---|
| CSB-YP006135MO CSB-EP006135MO CSB-BP006135MO CSB-MP006135MO CSB-EP006135MO-B |
Recombinant Mouse C-terminal-binding protein 1 (Ctbp1) | Yeast E.coli Baculovirus Mammalian cell In Vivo Biotinylation in E.coli |
CTBP1 Proteins for Homo sapiens (Human)
| 產品貨號 | 產品名稱 | 來源 |
|---|---|---|
| CSB-YP618772HU CSB-EP618772HU CSB-BP618772HU CSB-MP618772HU CSB-EP618772HU-B |
Recombinant Human C-terminal-binding protein 1 (CTBP1) | Yeast E.coli Baculovirus Mammalian cell In Vivo Biotinylation in E.coli |
CTBP1 Proteins for Xenopus laevis (African clawed frog)
| 產品貨號 | 產品名稱 | 來源 |
|---|---|---|
| CSB-YP897047XBE CSB-EP897047XBE CSB-BP897047XBE CSB-MP897047XBE CSB-EP897047XBE-B |
Recombinant Xenopus laevis C-terminal-binding protein 1 (ctbp1) | Yeast E.coli Baculovirus Mammalian cell In Vivo Biotinylation in E.coli |






