CNDP2
CNDP2,全名為Cytosolic non-specific dipeptidase,是一種非特異性二肽酶,也被稱為肌肽二肽酶2。它在肌肽和高肌肽的代謝中扮演重要角色。CNDP2的失調與糖尿病腎病和神經退行性疾病有關。目前,針對CNDP2的研究主要集中在開發針對其代謝途徑的藥物,以改善腎功能和治療相關疾病。此外,CNDP2在腫瘤細胞生存中也扮演著關鍵角色,因此,針對CNDP2的藥物研發可能為癌癥治療提供新的策略。
熱銷產品
Recombinant Human Cytosolic non-specific dipeptidase (CNDP2) (CSB-EP856967HU)
驗證數據
(Tris-Glycine gel) Discontinuous SDS-PAGE (reduced) with 5% enrichment gel and 15% separation gel.
CNDP2 Antibody (CSB-PA856967HA01HU)
驗證數據
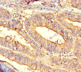
Immunohistochemistry of paraffin-embedded human endometrial cancer using CSB-PA856967HA01HU at dilution of 1:100
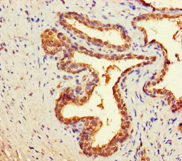
Immunohistochemistry of paraffin-embedded human prostate cancer using CSB-PA856967HA01HU at dilution of 1:100
CNDP2 Antibodies
CNDP2 for Homo sapiens (Human)
| 產品貨號 | 產品名稱 | 種屬反應性 | 應用類型 |
|---|---|---|---|
| CSB-PA856967HA01HU | CNDP2 Antibody | Human | ELISA, IHC |
| CSB-PA005640GA01HU | CNDP2 Antibody | Human,Mouse,Rat | ELISA,WB |
CNDP2 Proteins
CNDP2 Proteins for Homo sapiens (Human)
| 產品貨號 | 產品名稱 | 來源 |
|---|---|---|
| CSB-YP856967HU CSB-BP856967HU CSB-MP856967HU CSB-EP856967HU-B |
Recombinant Human Cytosolic non-specific dipeptidase (CNDP2) | Yeast Baculovirus Mammalian cell In Vivo Biotinylation in E.coli |
| CSB-EP856967HU | Recombinant Human Cytosolic non-specific dipeptidase (CNDP2) | E.coli |






