CHRNB1
CHRNB1是神經系統中重要的信號傳導分子,其功能異常可能引發多種疾病。CHRNB1全稱為膽堿能受體煙堿型β1亞基,也被簡稱為nAChR β1或神經元乙酰膽堿受體β亞基。它主要分布于神經肌肉接頭處,通過與乙酰膽堿結合觸發離子通道開放,介導神經沖動向肌肉的傳遞。若該蛋白發生突變,可能導致先天性肌無力綜合征,患者表現為肌肉易疲勞、運動障礙,嚴重時可影響呼吸功能。研究還發現,CHRNB1表達異常可能與癲癇發作、自主神經功能紊亂存在關聯。目前針對該靶點的藥物開發集中于小分子調節劑,例如某些煙堿類似物已進入臨床前研究,旨在通過穩定受體構象改善神經肌肉傳導。此外,傳統藥物如膽堿酯酶抑制劑雖非直接作用于β1亞基,但可通過提升乙酰膽堿濃度間接影響其功能,這類藥物在治療重癥肌無力等疾病中仍發揮重要作用。
熱銷產品
Recombinant Human Acetylcholine receptor subunit beta (CHRNB1), partial (CSB-EP005395HU)
驗證數據
(Tris-Glycine gel) Discontinuous SDS-PAGE (reduced) with 5% enrichment gel and 15% separation gel.
CHRNB1 Antibody (CSB-PA15049A0Rb)
驗證數據
Western Blot
Positive WB detected in: Hela whole cell lysate, MCF-7 whole cell lysate, HepG2 whole cell lysate
All lanes: CHRNB1 antibody at 3µg/ml
Secondary
Goat polyclonal to rabbit IgG at 1/50000 dilution
Predicted band size: 57, 50 kDa
Observed band size: 57 kDa
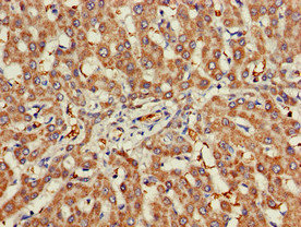
Immunohistochemistry of paraffin-embedded human liver cancer using CSB-PA15049A0Rb at dilution of 1:100
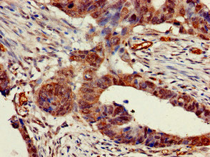
Immunohistochemistry of paraffin-embedded human colon cancer using CSB-PA15049A0Rb at dilution of 1:100
Immunofluorescent analysis of PC-3 cells using CSB-PA15049A0Rb at dilution of 1:100 and Alexa Fluor 488-congugated AffiniPure Goat Anti-Rabbit IgG(H+L)
CHRNB1 Antibodies
CHRNB1 for Homo sapiens (Human)
| 產品貨號 | 產品名稱 | 種屬反應性 | 應用類型 |
|---|---|---|---|
| CSB-PA005395GA01HU | CHRNB1 Antibody | Human,Mouse,Rat | ELISA,WB,IHC |
| CSB-PA437943 | CHRNB1 Antibody | Human | ELISA,WB |
| CSB-PA006822 | CHRNB1 Antibody | Human,Mouse,Rat | WB, ELISA |
| CSB-PA15049A0Rb | CHRNB1 Antibody | Human | ELISA, WB, IHC, IF |
CHRNB1 Proteins
CHRNB1 Proteins for Homo sapiens (Human)
| 產品貨號 | 產品名稱 | 來源 |
|---|---|---|
| CSB-BP005395HU CSB-MP005395HU CSB-EP005395HU-B |
Recombinant Human Acetylcholine receptor subunit beta (CHRNB1), partial | Baculovirus Mammalian cell In Vivo Biotinylation in E.coli |
| CSB-EP005395HU | Recombinant Human Acetylcholine receptor subunit beta (CHRNB1), partial | E.coli |
| CSB-EP005395HUb1 | Recombinant Human Acetylcholine receptor subunit beta (CHRNB1), partial | E.coli |
| CSB-YP005395HU | Recombinant Human Acetylcholine receptor subunit beta (CHRNB1), partial | Yeast |






