CEACAM7
癌胚抗原相關細胞黏附分子7(CEACAM7)屬于CEA蛋白家族成員,也被研究人員稱為CDw67或CGM2。這類蛋白廣泛存在于腸道上皮細胞表面,通過與特定配體結合參與黏膜免疫系統的調控,尤其在維持腸道屏障完整性和微生物平衡方面發揮重要作用。其表達水平異常常與結直腸癌、潰瘍性結腸炎等消化道疾病密切相關,腫瘤組織中該蛋白的缺失往往提示更差的預后。近年來研究還發現,它在調控細胞增殖與凋亡過程中可能具有"雙刃劍"特性,既能抑制早期腫瘤生長,又在特定微環境下促進惡性進展。
針對該蛋白的治療策略主要集中在單克隆抗體和疫苗開發領域。美國生物技術公司Takeda開發的靶向抗體已進入臨床前評估階段,通過阻斷特定分子相互作用抑制腫瘤轉移。日本科研團隊則嘗試利用其作為結直腸癌特異性標志物開發診斷試劑盒。
熱銷產品
驗證數據
(Tris-Glycine gel) Discontinuous SDS-PAGE (reduced) with 5% enrichment gel and 15% separation gel.
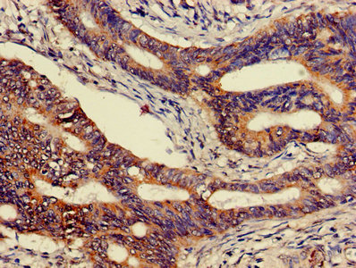
CEACAM7 Antibody (CSB-PA005167LA01HU)
驗證數據
Immunohistochemistry of paraffin-embedded human colon cancer using CSB-PA005167LA01HU at dilution of 1:100
CEACAM7 Antibodies
CEACAM7 for Homo sapiens (Human)
| 產品貨號 | 產品名稱 | 種屬反應性 | 應用類型 |
|---|---|---|---|
| CSB-PA005167LA01HU | CEACAM7 Antibody | Human | ELISA, IHC |
CEACAM7 Proteins
CEACAM7 Proteins for Homo sapiens (Human)
| 產品貨號 | 產品名稱 | 來源 |
|---|---|---|
| CSB-YP005167HU CSB-BP005167HU CSB-MP005167HU CSB-EP005167HU-B |
Recombinant Human Carcinoembryonic antigen-related cell adhesion molecule 7 (CEACAM7) | Yeast Baculovirus Mammalian cell In Vivo Biotinylation in E.coli |
| CSB-EP005167HU | Recombinant Human Carcinoembryonic antigen-related cell adhesion molecule 7 (CEACAM7) | E.coli |






