CDS2
CDS2,全稱為胞嘧啶二脂酰甘油合成酶2,是一種參與脂質代謝的關鍵酶。該蛋白在細胞內質網中發揮作用,主要功能是催化磷脂酸轉化為磷脂酰肌醇,從而影響脂類代謝的方向。CDS2蛋白在多種生理過程中發揮重要作用,包括細胞生長、分化和信號轉導。研究表明,CDS2蛋白的表達水平與多種疾病的發生發展密切相關,如非酒精性脂肪性肝?。∟AFLD)、癌癥等。在藥物研發領域,CDS2蛋白已成為一個重要的靶點。目前,已有多種針對CDS2蛋白的藥物正在研發中,旨在通過調節CDS2蛋白的活性來治療相關疾病。例如,一些小分子化合物被設計用于抑制CDS2蛋白的活性,從而減少脂質積累,改善NAFLD患者的癥狀。此外,CDS2蛋白的表達水平也被用作疾病診斷和預后的生物標志物??傊?,CDS2蛋白在脂質代謝和疾病發生發展中發揮著重要作用,為相關疾病的治療和診斷提供了新的思路和靶點。
熱銷產品
CDS2 Antibody (CSB-PA005123LA01HU)
驗證數據
Western Blot
Positive WB detected in: HepG2 whole cell lysate, Hela whole cell lysate, MCF-7 whole cell lysate
All lanes: CDS2 antibody at 6µg/ml
Secondary
Goat polyclonal to rabbit IgG at 1/50000 dilution
Predicted band size: 52, 30 kDa
Observed band size: 52 kDa
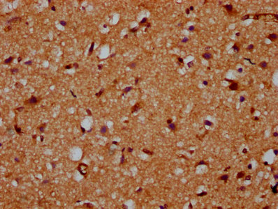
IHC image of CSB-PA005123LA01HU diluted at 1:200 and staining in paraffin-embedded human brain tissue performed on a Leica BondTM system. After dewaxing and hydration, antigen retrieval was mediated by high pressure in a citrate buffer (pH 6.0). Section was blocked with 10% normal goat serum 30min at RT. Then primary antibody (1% BSA) was incubated at 4°C overnight. The primary is detected by a biotinylated secondary antibody and visualized using an HRP conjugated SP system.
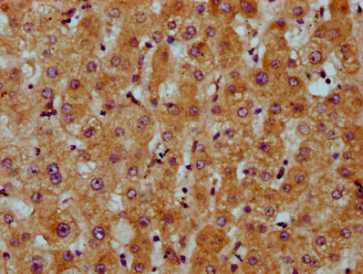
IHC image of CSB-PA005123LA01HU diluted at 1:200 and staining in paraffin-embedded human liver tissue performed on a Leica BondTM system. After dewaxing and hydration, antigen retrieval was mediated by high pressure in a citrate buffer (pH 6.0). Section was blocked with 10% normal goat serum 30min at RT. Then primary antibody (1% BSA) was incubated at 4°C overnight. The primary is detected by a biotinylated secondary antibody and visualized using an HRP conjugated SP system.
CDS2 Antibodies
CDS2 for Homo sapiens (Human)
| 產品貨號 | 產品名稱 | 種屬反應性 | 應用類型 |
|---|---|---|---|
| CSB-PA005123GA01HU | CDS2 Antibody | Human,Mouse,Rat | ELISA,WB |
| CSB-PA005123LA01HU | CDS2 Antibody | Human | ELISA, WB, IHC |
| CSB-PA005123LB01HU | CDS2 Antibody, HRP conjugated | Human | ELISA |
| CSB-PA005123LC01HU | CDS2 Antibody, FITC conjugated | Human | |
| CSB-PA005123LD01HU | CDS2 Antibody, Biotin conjugated | Human | ELISA |
CDS2 Proteins
CDS2 Proteins for Bos taurus (Bovine)
| 產品貨號 | 產品名稱 | 來源 |
|---|---|---|
| CSB-YP005123BO1 CSB-EP005123BO1 CSB-BP005123BO1 CSB-MP005123BO1 CSB-EP005123BO1-B |
Recombinant Bovine Phosphatidate cytidylyltransferase 2 (CDS2), partial | Yeast E.coli Baculovirus Mammalian cell In Vivo Biotinylation in E.coli |
| CSB-CF005123BO | Recombinant Bovine Phosphatidate cytidylyltransferase 2 (CDS2) | in vitro E.coli expression system |
CDS2 Proteins for Homo sapiens (Human)
| 產品貨號 | 產品名稱 | 來源 |
|---|---|---|
| CSB-YP005123HU1 CSB-EP005123HU1 CSB-BP005123HU1 CSB-MP005123HU1 CSB-EP005123HU1-B |
Recombinant Human Phosphatidate cytidylyltransferase 2 (CDS2), partial | Yeast E.coli Baculovirus Mammalian cell In Vivo Biotinylation in E.coli |
| CSB-CF005123HU | Recombinant Human Phosphatidate cytidylyltransferase 2 (CDS2) | in vitro E.coli expression system |
CDS2 Proteins for Rattus norvegicus (Rat)
| 產品貨號 | 產品名稱 | 來源 |
|---|---|---|
| CSB-YP845999RA1 CSB-EP845999RA1 CSB-BP845999RA1 CSB-MP845999RA1 CSB-EP845999RA1-B |
Recombinant Rat Phosphatidate cytidylyltransferase 2 (Cds2), partial | Yeast E.coli Baculovirus Mammalian cell In Vivo Biotinylation in E.coli |
| CSB-CF845999RA | Recombinant Rat Phosphatidate cytidylyltransferase 2 (Cds2) | in vitro E.coli expression system |
CDS2 Proteins for Mus musculus (Mouse)
| 產品貨號 | 產品名稱 | 來源 |
|---|---|---|
| CSB-YP860808MO1 CSB-EP860808MO1 CSB-BP860808MO1 CSB-MP860808MO1 CSB-EP860808MO1-B |
Recombinant Mouse Phosphatidate cytidylyltransferase 2 (Cds2), partial | Yeast E.coli Baculovirus Mammalian cell In Vivo Biotinylation in E.coli |
| CSB-CF860808MO | Recombinant Mouse Phosphatidate cytidylyltransferase 2 (Cds2) | in vitro E.coli expression system |






