CDK2
CDK2,即細胞周期蛋白依賴性激酶2,別名CDC28、CDC2A、MPF。它是一種在細胞周期調控中發揮關鍵作用的絲氨酸/蘇氨酸蛋白激酶,由CDK2基因編碼。CDK2的作用機制主要是通過與周期蛋白(cyclin)結合形成復合體,周期性地激活或抑制,進而磷酸化多種底物蛋白,推動細胞周期從G1期過渡到S期,參與DNA復制和細胞分裂。CDK2對維持細胞周期的正常運行至關重要,其異常表達或功能失調與腫瘤等多種疾病的發生發展密切相關,是醫學研究和藥物開發中的重要靶點。
熱銷產品
Recombinant Human Cyclin-dependent kinase 2 (CDK2) (CSB-EP005061HU)
驗證數據
(Tris-Glycine gel) Discontinuous SDS-PAGE (reduced) with 5% enrichment gel and 15% separation gel.
CDK2 Recombinant Monoclonal Antibody (CSB-RA961467A0HU)
驗證數據
Western Blot
Positive WB detected in: K562 whole cell lysate, HEK293 whole cell lysate, NIH/3T3 whole cell lysate, Hela whole cell lysate, HL-60 whole cell lysate, A549 whole cell lysate
All lanes: CDK2 antibody at 1:1000
Secondary
Goat polyclonal to rabbit IgG at 1/50000 dilution
Predicted band size: 34, 31 kDa
Observed band size: 34 kDa
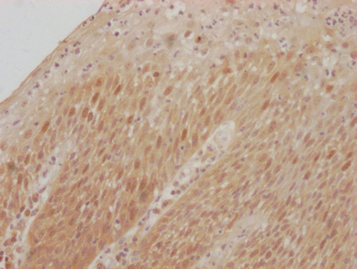
IHC image of CSB-RA961467A0HU diluted at 1:100 and staining in paraffin-embedded human tonsil tissue performed on a Leica BondTM system. After dewaxing and hydration, antigen retrieval was mediated by high pressure in a citrate buffer (pH 6.0). Section was blocked with 10% normal goat serum 30min at RT. Then primary antibody (1% BSA) was incubated at 4℃ overnight. The primary is detected by a Goat anti-rabbit IgG polymer labeled by HRP and visualized using 0.05% DAB.
CDK2 Antibodies
CDK2 for Homo sapiens (Human)
| 產品貨號 | 產品名稱 | 種屬反應性 | 應用類型 |
|---|---|---|---|
| CSB-PA005061GA01HU | CDK2 Antibody | Human,Mouse,Rat | ELISA,WB,IF |
| CSB-PA912055 | Phospho-CDK2 (Thr160) Antibody | Human,Mouse,Rat | ELISA,WB,IHC |
| CSB-PA906045 | CDK2 (Ab-160) Antibody | Human,Mouse,Rat | ELISA,WB |
| CSB-PA228346 | Phospho-CDK2 (Thr14) Antibody | Human,Mouse,Rat | ELISA,WB |
| CSB-PA000498 | Phospho-CDK2 (T160) Antibody | Human,Mouse,Rat | WB, IHC, ELISA |
| CSB-PA000682 | Phospho-CDK2 (T160) Antibody | Human,Mouse,Rat | WB, IHC, ELISA |
| CSB-PA001533 | CDK2 Antibody | Human,Mouse,Rat | WB, IHC, IF, ELISA |
| CSB-PA001534 | CDK2 Antibody | Human,Mouse,Rat | WB, ELISA |
| CSB-PA001535 | CDK2 Antibody | Human,Mouse,Rat | WB, IHC, ELISA |
| CSB-PA267352 | CDK2 Antibody | Human,Mouse,Rat | ELISA,WB,IHC |
| CSB-PA125315 | CDK2 Antibody | Human,Mouse,Rat | ELISA,WB,IHC |
| CSB-PA005061LA01HU | CDK2 Antibody | Human | ELISA, WB, IHC, IF, IP |
| CSB-PA005061LC01HU | CDK2 Antibody, FITC conjugated | Human | |
| CSB-RA005061A15phHU | Phospho-CDK2 (Y15) Recombinant Monoclonal Antibody | Human | ELISA, WB, IHC, IP |
| CSB-RA961467A0HU | CDK2 Recombinant Monoclonal Antibody | Human, Mouse | ELISA, WB, IHC |
CDK2 Proteins
CDK2 Proteins for Mus musculus (Mouse)
| 產品貨號 | 產品名稱 | 來源 |
|---|---|---|
| CSB-YP005061MO CSB-EP005061MO CSB-BP005061MO CSB-MP005061MO CSB-EP005061MO-B |
Recombinant Mouse Cyclin-dependent kinase 2 (Cdk2) | Yeast E.coli Baculovirus Mammalian cell In Vivo Biotinylation in E.coli |
CDK2 Proteins for Homo sapiens (Human)
| 產品貨號 | 產品名稱 | 來源 |
|---|---|---|
| CSB-YP005061HU CSB-BP005061HU CSB-MP005061HU CSB-EP005061HU-B |
Recombinant Human Cyclin-dependent kinase 2 (CDK2) | Yeast Baculovirus Mammalian cell In Vivo Biotinylation in E.coli |
| CSB-EP005061HU | Recombinant Human Cyclin-dependent kinase 2 (CDK2) | E.coli |
CDK2 Proteins for Cricetulus griseus (Chinese hamster) (Cricetulus barabensis griseus)
| 產品貨號 | 產品名稱 | 來源 |
|---|---|---|
| CSB-YP005061DXU CSB-EP005061DXU CSB-BP005061DXU CSB-MP005061DXU CSB-EP005061DXU-B |
Recombinant Cricetulus griseus Cyclin-dependent kinase 2 (CDK2) | Yeast E.coli Baculovirus Mammalian cell In Vivo Biotinylation in E.coli |
CDK2 Proteins for Carassius auratus (Goldfish)
| 產品貨號 | 產品名稱 | 來源 |
|---|---|---|
| CSB-YP005061DQG CSB-EP005061DQG CSB-BP005061DQG CSB-MP005061DQG CSB-EP005061DQG-B |
Recombinant Carassius auratus Cyclin-dependent kinase 2 (cdk2) | Yeast E.coli Baculovirus Mammalian cell In Vivo Biotinylation in E.coli |
CDK2 Proteins for Xenopus laevis (African clawed frog)
| 產品貨號 | 產品名稱 | 來源 |
|---|---|---|
| CSB-YP005061XBE CSB-EP005061XBE CSB-BP005061XBE CSB-MP005061XBE CSB-EP005061XBE-B |
Recombinant Xenopus laevis Cyclin-dependent kinase 2 (cdk2) | Yeast E.coli Baculovirus Mammalian cell In Vivo Biotinylation in E.coli |
CDK2 Proteins for Mesocricetus auratus (Golden hamster)
| 產品貨號 | 產品名稱 | 來源 |
|---|---|---|
| CSB-YP005061MRG CSB-EP005061MRG CSB-BP005061MRG CSB-MP005061MRG CSB-EP005061MRG-B |
Recombinant Mesocricetus auratus Cyclin-dependent kinase 2 (CDK2) | Yeast E.coli Baculovirus Mammalian cell In Vivo Biotinylation in E.coli |
CDK2 Proteins for Drosophila melanogaster (Fruit fly)
| 產品貨號 | 產品名稱 | 來源 |
|---|---|---|
| CSB-YP326416DLU CSB-EP326416DLU CSB-BP326416DLU CSB-MP326416DLU CSB-EP326416DLU-B |
Recombinant Drosophila melanogaster Cell division control protein 2 cognate (cdc2c) | Yeast E.coli Baculovirus Mammalian cell In Vivo Biotinylation in E.coli |
CDK2 Proteins for Bos taurus (Bovine)
| 產品貨號 | 產品名稱 | 來源 |
|---|---|---|
| CSB-YP005061BO CSB-EP005061BO CSB-BP005061BO CSB-MP005061BO CSB-EP005061BO-B |
Recombinant Bovine Cyclin-dependent kinase 2 (CDK2) | Yeast E.coli Baculovirus Mammalian cell In Vivo Biotinylation in E.coli |
CDK2 Proteins for Rattus norvegicus (Rat)
| 產品貨號 | 產品名稱 | 來源 |
|---|---|---|
| CSB-YP005061RA CSB-EP005061RA CSB-BP005061RA CSB-MP005061RA CSB-EP005061RA-B |
Recombinant Rat Cyclin-dependent kinase 2 (Cdk2) | Yeast E.coli Baculovirus Mammalian cell In Vivo Biotinylation in E.coli |






