CDCP1
CDCP1,CUB結構域包含蛋白1,別名CD318、UNQ2486、PRO5773,由人類CDCP1基因編碼。CDCP1是一種I型跨膜糖蛋白,主要位于細胞表面,并參與多個腫瘤發生和轉移的關鍵信號通路,包括SRC/PKCd、PI3K/AKT、WNT和RAS/ERK軸、氧化戊糖磷酸途徑和脂肪酸氧化等,對癌細胞生存、生長、轉移以及治療的耐藥性有重要意義。CDCP1的作用機制涉及與多種癌癥相關蛋白的相互作用,并在腫瘤標志物和潛在的治療靶點中發揮作用。CDCP1在多種惡性腫瘤中過表達,包括呼吸腫瘤、消化系統癌癥、血液學惡性腫瘤和泌尿生殖系統癌癥,與腫瘤的預后和藥物抗性相關,被認為是一個有前景的治療靶點和新的診斷生物標志物。
熱銷產品
Recombinant Human CUB domain-containing protein 1 (CDCP1), partial (Active) (CSB-MP884474HU)
驗證數據
(Tris-Glycine gel) Discontinuous SDS-PAGE (reduced) with 5% enrichment gel and 15% separation gel.
Activity
Measured by its binding ability in a functional ELISA. Immobilized Human CDCP1 at 2μg/mL can bind Anti-CDCP1 recombinant antibody (CSB-RA884474MA1HU),the EC50 is 0.2943-0.4429 ng/mL.
Recombinant Mouse CUB domain-containing protein 1 (Cdcp1), partial (Active) (CSB-MP719456MO)
驗證數據
(Tris-Glycine gel) Discontinuous SDS-PAGE (reduced) with 5% enrichment gel and 15% separation gel.
Activity
Measured by its binding ability in a functional ELISA. Immobilized Mouse Cdcp1 at 2 μg/mL can bind Anti-CDCP1 recombinant antibody (CSB-RA884474MA1HU), the EC50 is 0.6397-0.8369 ng/mL.
驗證數據
(Tris-Glycine gel) Discontinuous SDS-PAGE (reduced) with 5% enrichment gel and 15% separation gel.
Activity
Measured by its binding ability in a functional ELISA. Immobilized Macaca fascicularis CDCP1 at 2μg/mL can bind Anti-CDCP1 recombinant antibody (CSB-RA884474MA1HU),the EC50 is 1.861-2.330 ng/mL.
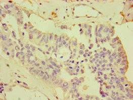
CDCP1 Antibody (CSB-PA884474ESR2HU)
驗證數據
Immunohistochemistry of paraffin-embedded human endometrial cancer using CSB-PA884474ESR2HU at dilution of 1:100
CDCP1 Antibodies
CDCP1 for Homo sapiens (Human)
| 產品貨號 | 產品名稱 | 種屬反應性 | 應用類型 |
|---|---|---|---|
| CSB-PA442968 | CDCP1 Antibody | Human | ELISA,WB |
| CSB-PA884474ESR2HU | CDCP1 Antibody | Human | ELISA, IHC |
| CSB-PA001521 | CDCP1 Antibody | Human,Mouse | WB, ELISA |
| CSB-PA005337 | CDCP1 Antibody | Human,Mouse,Rat | WB, ELISA |
| CSB-PA050067 | Phospho-CDCP1 (Y707) Antibody | Human,Mouse | WB, ELISA |
| CSB-PA050068 | CDCP1 Antibody | Human,Mouse | WB, IF, ELISA |
| CSB-PA251431 | CDCP1 Antibody | Human | ELISA,WB,IHC |
| CSB-PA952668 | CDCP1 Antibody | Human | ELISA,WB,IHC |
| CSB-RA884474MA1HU | CDCP1 Recombinant Monoclonal Antibody | Human, Mouse, Macaca fascicularis | ELISA |
CDCP1 Proteins
CDCP1 Proteins for Mus musculus (Mouse)
| 產品貨號 | 產品名稱 | 來源 |
|---|---|---|
| CSB-YP719456MO CSB-EP719456MO CSB-BP719456MO CSB-EP719456MO-B |
Recombinant Mouse CUB domain-containing protein 1 (Cdcp1), partial | Yeast E.coli Baculovirus In Vivo Biotinylation in E.coli |
| CSB-MP719456MO | Recombinant Mouse CUB domain-containing protein 1 (Cdcp1), partial (Active) | Mammalian cell |
CDCP1 Proteins for Homo sapiens (Human)
| 產品貨號 | 產品名稱 | 來源 |
|---|---|---|
| CSB-YP884474HU CSB-EP884474HU CSB-BP884474HU CSB-EP884474HU-B |
Recombinant Human CUB domain-containing protein 1 (CDCP1), partial | Yeast E.coli Baculovirus In Vivo Biotinylation in E.coli |
| CSB-MP884474HU | Recombinant Human CUB domain-containing protein 1 (CDCP1), partial (Active) | Mammalian cell |






