CD8A
CD8A,全稱 CD8 alpha 鏈,是一種表達于細胞毒性 T 細胞表面的糖蛋白。它常見別名包括 p32、Leu2、CD8α、T 細胞抗原 Leu2、T 細胞共受體、T-淋巴細胞分化抗原 T8/Leu-2、T8 T 細胞抗原、T8/Leu-2 T-淋巴細胞分化抗原。CD8A 蛋白通過與靶細胞上主要組織相容性復合物 I 類分子結合,增強 T 細胞活化和細胞毒性,在免疫反應中發揮關鍵作用。它還參與免疫調節和耐受。CD8A 蛋白與細胞表面的 CD8B 形成二硫鍵連接的異二聚體,并在各種細胞類型(包括 NK 細胞和外周血 T 淋巴細胞)中形成同二聚體。CD8A 蛋白與 MHC I 類 HLA-A/B2M 二聚體和 LCK 的相互作用,以及它與 HLA-G 的直接相互作用,凸顯了 CD8A 蛋白在免疫調節中多種功能的復雜分子關聯網絡。CD8A 蛋白相關疾病包括 Cd8 缺乏癥、家族性 Cd8 缺乏癥、皰疹性帶狀瘡疹、淋巴間質性肺炎、脂病等。CD8A 蛋白在藥物研發方面,可用于開發免疫療法和疫苗。
熱銷產品
驗證數據
(Tris-Glycine gel) Discontinuous SDS-PAGE (reduced) with 5% enrichment gel and 15% separation gel.
Activity
Measured by its binding ability in a functional ELISA. Immobilized Human CD8A at 5 μg/ml can bind Anti-CD8A recombinant antibody (CSB-RA004966MA3HU). The EC50 is 11.49-20.78 ng/mL.
Recombinant Human T-cell surface glycoprotein CD8 alpha chain (CD8A), partial (CSB-YP004966HU)
驗證數據
(Tris-Glycine gel) Discontinuous SDS-PAGE (reduced) with 5% enrichment gel and 15% separation gel.
Based on the SEQUEST from database of Yeast host and target protein, the LC-MS/MS Analysis result of CSB-YP004966HU could indicate that this peptide derived from Yeast-expressed Homo sapiens (Human) CD8A.
Based on the SEQUEST from database of Yeast host and target protein, the LC-MS/MS Analysis result of CSB-YP004966HU could indicate that this peptide derived from Yeast-expressed Homo sapiens (Human) CD8A.
CD8A Recombinant Monoclonal Antibody (CSB-RA934881A0HU)
驗證數據
Western Blot
Positive WB detected in: MCF-7 whole cell lysate, THP-1 whole cell lysate, PC-3 whole cell lysate, 293 whole cell lysate, HepG2 whole cell lysate, A549 whole cell lysate
All lanes: CD8A antibody at 1:2000
Secondary
Goat polyclonal to rabbit IgG at 1/50000 dilution
Predicted band size: 26, 22, 31 kDa
Observed band size: 31 kDa
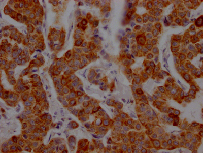
IHC image of CSB-RA934881A0HU diluted at 1:100 and staining in paraffin-embedded human breast cancer performed on a Leica BondTM system. After dewaxing and hydration, antigen retrieval was mediated by high pressure in a citrate buffer (pH 6.0). Section was blocked with 10% normal goat serum 30min at RT. Then primary antibody (1% BSA) was incubated at 4℃ overnight. The primary is detected by a Goat anti-rabbit IgG polymer labeled by HRP and visualized using 0.05% DAB.
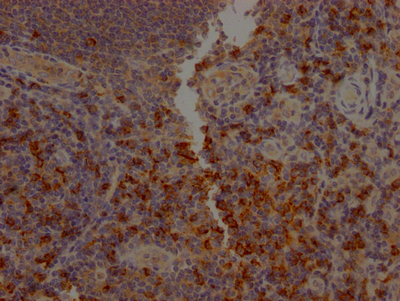
IHC image of CSB-RA934881A0HU diluted at 1:100 and staining in paraffin-embedded human tonsil tissue performed on a Leica BondTM system. After dewaxing and hydration, antigen retrieval was mediated by high pressure in a citrate buffer (pH 6.0). Section was blocked with 10% normal goat serum 30min at RT. Then primary antibody (1% BSA) was incubated at 4℃ overnight. The primary is detected by a Goat anti-rabbit IgG polymer labeled by HRP and visualized using 0.05% DAB.
Immunoprecipitating CD8A in HepG2 whole cell lysate
Lane 1: Rabbit control IgG instead of CSB-RA934881A0HU in HepG2 whole cell lysate.
For western blotting,a HRP-conjugated Protein G antibody was used as the secondary antibody (1/2000)
Lane 2:CSB-RA934881A0HU(3μg)+ HepG2 whole cell lysate(500μg)
Lane 3: HepG2 whole cell lysate (10μg)
Human Cluster of differentiation 8,CD8 ELISA Kit (CSB-E12707h)
驗證數據
貨號:CSB-E12707h
規格:96T/48T
靈敏度:15.6 U/mL
檢測范圍:62.5 U/mL-4000 U/mL
These standard curves are provided for demonstration only. A standard curve should be generated for each set of samples assayed.
CD8A Antibodies
CD8A for Homo sapiens (Human)
| 產品貨號 | 產品名稱 | 種屬反應性 | 應用類型 |
|---|---|---|---|
| CSB-PA004966LA01HU | CD8A Antibody | Human | ELISA, IHC |
| CSB-PA004966LC01HU | CD8A Antibody, FITC conjugated | Human | |
| CSB-PA004966LD01HU | CD8A Antibody, Biotin conjugated | Human | ELISA |
| CSB-RA934881A0HU | CD8A Recombinant Monoclonal Antibody | Human | ELISA, WB, IHC, IP |
CD8A Proteins
CD8A Proteins for Bos taurus (Bovine)
| 產品貨號 | 產品名稱 | 來源 |
|---|---|---|
| CSB-YP004966BO | Recombinant Bovine T-cell surface glycoprotein CD8 alpha chain (CD8A), partial | Yeast |
| CSB-EP004966BO | Recombinant Bovine T-cell surface glycoprotein CD8 alpha chain (CD8A), partial | E.coli |
| CSB-BP004966BO CSB-MP004966BO CSB-EP004966BO-B |
Recombinant Bovine T-cell surface glycoprotein CD8 alpha chain (CD8A), partial | Baculovirus Mammalian cell In Vivo Biotinylation in E.coli |
CD8A Proteins for Canis familiaris (Dog) (Canis lupus familiaris)
| 產品貨號 | 產品名稱 | 來源 |
|---|---|---|
| CSB-YP004966DO1 CSB-BP004966DO1 CSB-MP004966DO1 CSB-EP004966DO1-B |
Recombinant Dog T-cell surface glycoprotein CD8 alpha chain (CD8A), partial | Yeast Baculovirus Mammalian cell In Vivo Biotinylation in E.coli |
| CSB-CF004966DO | Recombinant Dog T-cell surface glycoprotein CD8 alpha chain (CD8A) | in vitro E.coli expression system |
CD8A Proteins for Felis catus (Cat) (Felis silvestris catus)
| 產品貨號 | 產品名稱 | 來源 |
|---|---|---|
| CSB-YP004966CA1 CSB-EP004966CA1 CSB-BP004966CA1 CSB-MP004966CA1 CSB-EP004966CA1-B |
Recombinant Cat T-cell surface glycoprotein CD8 alpha chain (CD8A), partial | Yeast E.coli Baculovirus Mammalian cell In Vivo Biotinylation in E.coli |
| CSB-CF004966CA | Recombinant Cat T-cell surface glycoprotein CD8 alpha chain (CD8A) | in vitro E.coli expression system |
CD8A Proteins for Mus musculus (Mouse)
| 產品貨號 | 產品名稱 | 來源 |
|---|---|---|
| CSB-YP004966MO1 CSB-EP004966MO1 CSB-BP004966MO1 CSB-MP004966MO1 CSB-EP004966MO1-B |
Recombinant Mouse T-cell surface glycoprotein CD8 alpha chain (Cd8a), partial | Yeast E.coli Baculovirus Mammalian cell In Vivo Biotinylation in E.coli |
| CSB-CF004966MO | Recombinant Mouse T-cell surface glycoprotein CD8 alpha chain (Cd8a) | in vitro E.coli expression system |
CD8A Proteins for Homo sapiens (Human)
| 產品貨號 | 產品名稱 | 來源 |
|---|---|---|
| CSB-YP004966HU | Recombinant Human T-cell surface glycoprotein CD8 alpha chain (CD8A), partial | Yeast |
| CSB-EP004966HU | Recombinant Human T-cell surface glycoprotein CD8 alpha chain (CD8A), partial | E.coli |
| CSB-MP004966HU | Recombinant Human T-cell surface glycoprotein CD8 alpha chain (CD8A), partial | Mammalian cell |
| CSB-BP004966HU CSB-EP004966HU-B |
Recombinant Human T-cell surface glycoprotein CD8 alpha chain (CD8A), partial | Baculovirus In Vivo Biotinylation in E.coli |
| CSB-YP004966HUf3 | Recombinant Human T-cell surface glycoprotein CD8 alpha chain(CD8A), partial | Yeast |
| CSB-MP004966HUd7 | Recombinant Human T-cell surface glycoprotein CD8 alpha chain (CD8A), partial (Active) | Mammalian cell |
CD8A Proteins for Rattus norvegicus (Rat)
| 產品貨號 | 產品名稱 | 來源 |
|---|---|---|
| CSB-YP004966RA1 CSB-EP004966RA1 CSB-BP004966RA1 CSB-MP004966RA1 CSB-EP004966RA1-B |
Recombinant Rat T-cell surface glycoprotein CD8 alpha chain (Cd8a), partial | Yeast E.coli Baculovirus Mammalian cell In Vivo Biotinylation in E.coli |
| CSB-CF004966RA | Recombinant Rat T-cell surface glycoprotein CD8 alpha chain (Cd8a) | in vitro E.coli expression system |
CD8A Proteins for Pongo pygmaeus (Bornean orangutan)
| 產品貨號 | 產品名稱 | 來源 |
|---|---|---|
| CSB-YP004966EXP1 CSB-EP004966EXP1 CSB-BP004966EXP1 CSB-MP004966EXP1 CSB-EP004966EXP1-B |
Recombinant Pongo pygmaeus T-cell surface glycoprotein CD8 alpha chain (CD8A), partial | Yeast E.coli Baculovirus Mammalian cell In Vivo Biotinylation in E.coli |
| CSB-CF004966EXP | Recombinant Pongo pygmaeus T-cell surface glycoprotein CD8 alpha chain (CD8A) | in vitro E.coli expression system |
CD8A ELISA Kit
CD8A ELISA Kit for Homo sapiens (Human)
| 產品貨號 | 產品名稱 | 樣本類型 | 靈敏度 |
|---|---|---|---|
| CSB-E12707h | Human Cluster of differentiation 8,CD8 ELISA Kit | serum, plasma, cell culture supernates, tissue homogenates | 15.6 U/mL |






